症例種別
呼吸器(0~2件表示/全10件中)
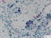
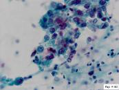
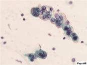
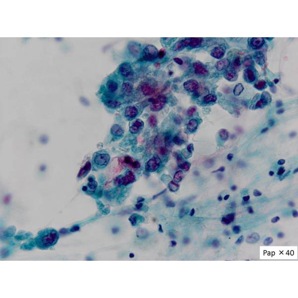
第31回日本臨床細胞学会九州連合会学会スライドカンファレンス症例 2
種別:呼吸器
出題:長崎大学病院 病理診断科 木下 直江 先生
| 年齢 | 70歳代 | 性別 | 男性 |
|---|---|---|---|
| 採取部位 | 肺 | 採取方法 | 肺胞洗浄液 |
| 検体処理法 |
臨床所見
既往歴:
造船業に従事し40年以上のアスベスト暴露歴あり。
20歳から40歳まで20本/日の喫煙歴あり。
5ヶ月前より労作時呼吸困難と湿性咳嗽あり。1ヶ月前にX線検査で右胸水貯留あり。CT検査で右中葉の結節影あり。
現病歴:
前医で上記所見を認め精査目的で当院内科へ紹介入院となった。
| 正解 | 3.上皮型中皮腫 |
|---|
▼選択肢及び投票結果
| 1.腺癌 | 42件 | (30.4%) | |
|---|---|---|---|
| 2.大細胞癌 | 8件 | (5.8%) | |
| 3.上皮型中皮腫 | 33件 | (23.9%) | |
| 4.反応性肺胞上皮 | 53件 | (38.4%) | |
| 5.悪性黒色腫 | 2件 | (1.4%) | |
| 投票総数 | 138件 | (100%) |
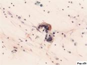
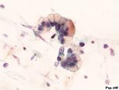
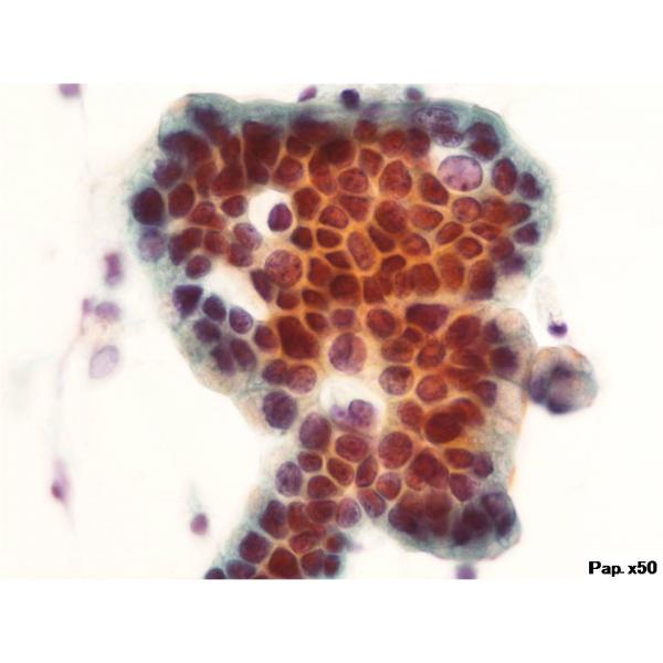
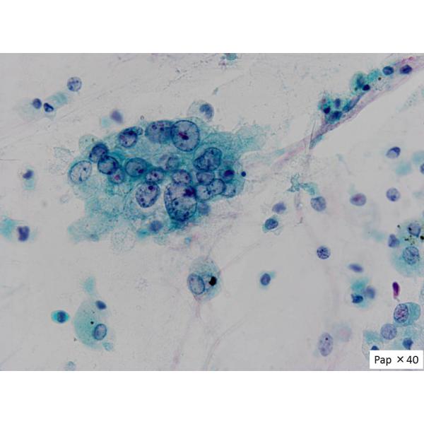
第32回日本臨床細胞学会九州連合会学会病理細胞診断セミナー(スライドカンファレンス)症例 2
種別:呼吸器
出題:鹿児島市立病院病理診断科 末吉 和宣 先生
| 年齢 | 83歳 | 性別 | 女性 |
|---|---|---|---|
| 採取部位 | 左肺下葉 | 採取方法 | 気管支擦過 |
| 検体処理法 |
臨床所見
3ヶ月前に右上腕骨の強い疼痛を訴え、2ヶ月前には腰背部痛を訴え、来院。
画像的に右上腕骨、第5腰椎の転移性骨腫瘍を疑い、また胸部CTにて左肺下葉(S8)を中心にして腫瘍陰影認めた。
標本は、同部位からの気管支擦過細胞標本である。
| 正解 | 2.浸潤性粘液癌 |
|---|
▼選択肢及び投票結果
| 1.杯細胞増生 | 5件 | (11.1%) | |
|---|---|---|---|
| 2.浸潤性粘液癌 | 32件 | (71.1%) | |
| 3.大腸癌転移 | 5件 | (11.1%) | |
| 4.乳頭腫 | 0件 | (0.0%) | |
| 5.粘表皮癌 | 3件 | (6.7%) | |
| 投票総数 | 45件 | (100%) |
















