症例種別
泌尿器(0~2件表示/全8件中)
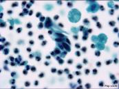
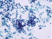
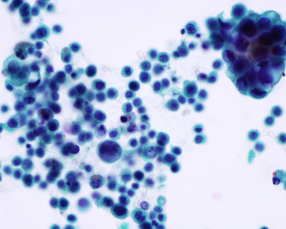
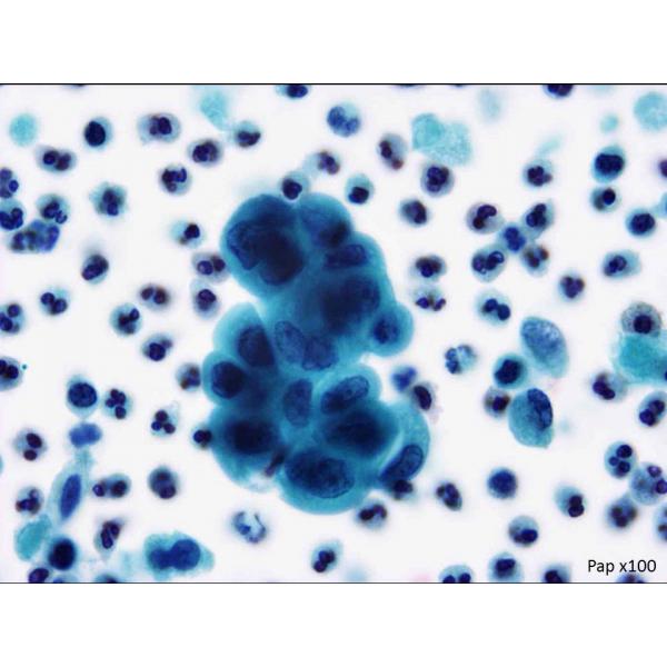
第31回日本臨床細胞学会九州連合会学会スライドカンファレンス症例 3
種別:泌尿器
出題:製鉄記念八幡病院 病理診断科 下釜 達朗 先生
| 年齢 | 60歳代 | 性別 | 男性 |
|---|---|---|---|
| 採取部位 | 尿 | 採取方法 | 自然尿 |
| 検体処理法 | LBC, SurePath |
臨床所見
既往歴:
アルコール依存症
現病歴:
アルコール依存症で精査中に左水腎症を指摘された。その際に、自然尿細胞診が提出された。
| 正解 | 2.低異型度乳頭状尿路上皮癌 |
|---|
▼選択肢及び投票結果
| 1.結石(反応性異型尿路上皮細胞) | 62件 | (44.9%) | |
|---|---|---|---|
| 2.低異型度乳頭状尿路上皮癌 | 51件 | (37.0%) | |
| 3.高異型度乳頭状尿路上皮癌 | 15件 | (10.9%) | |
| 4.腺癌 | 2件 | (1.4%) | |
| 5.扁平上皮癌 | 8件 | (5.8%) | |
| 投票総数 | 138件 | (100%) |
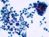
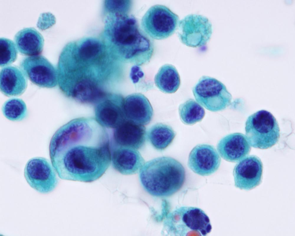
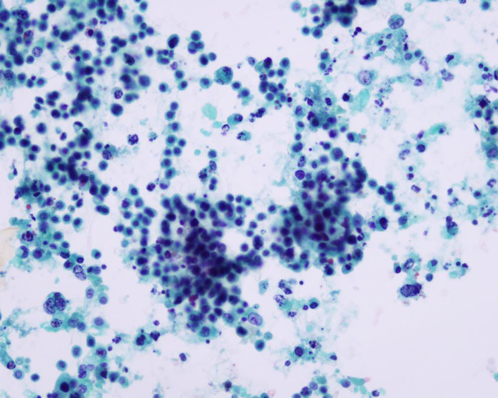
第33回日本臨床細胞学会九州連合会学会(沖縄)スライドカンファレンス症例 3
種別:泌尿器
出題:大分大学医学部 診断病理学講座 西田 陽登 先生
| 年齢 | 60代 | 性別 | 男性 |
|---|---|---|---|
| 採取部位 | 尿 | 採取方法 | 自然尿 |
| 検体処理法 |
臨床所見
既往歴:胆嚢摘出術後
現病歴:前医にて尿潜血と膀胱壁肥厚を指摘され紹介受診となった。膀胱鏡検査にて、左側壁から頂部にかけて広基性腫瘤が認められた。
| 正解 | 2.尿路上皮癌(リンパ腫様型/形質細胞様型) |
|---|
▼選択肢及び投票結果
| 1.尿路上皮癌(high-grade) | 26件 | (18.7%) | |
|---|---|---|---|
| 2.尿路上皮癌(リンパ腫様型/形質細胞様型) | 105件 | (75.5%) | |
| 3.尿膜管癌 | 5件 | (3.6%) | |
| 4.小細胞癌 | 0件 | (0.0%) | |
| 5.悪性リンパ腫 | 3件 | (2.2%) | |
| 投票総数 | 139件 | (100%) |













