症例種別
体腔液(0~2件表示/全3件中)
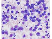
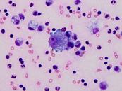
第34回日本臨床細胞学会九州連合会学会(長崎)スライドカンファレンス症例5
種別:体腔液
出題:琉球大学医学部附属病院 松本 裕文 先生
| 年齢 | 77歳 | 性別 | 男性 |
|---|---|---|---|
| 採取部位 | 胸水 | 採取方法 | 穿刺吸引法 |
| 検体処理法 |
臨床所見
既往歴:気管支喘息
現病歴:1カ月持続する咳嗽,息切れを主訴に精査目的で来院.右下肺野の透過性低下,両側胸水貯留,縦隔から鎖骨上窩にかけてリンパ節腫大を認めた。
| 正解 | 3.悪性リンパ腫 |
|---|
▼選択肢及び投票結果
| 1.腺癌 | 35件 | (36.1%) | |
|---|---|---|---|
| 2.悪性中皮腫 | 11件 | (11.3%) | |
| 3.悪性リンパ腫 | 45件 | (46.4%) | |
| 4.反応性中皮細胞 | 6件 | (6.2%) | |
| 5.扁平上皮癌 | 0件 | (0.0%) | |
| 投票総数 | 97件 | (100%) |
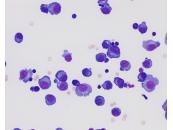
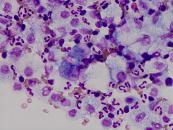
第36回日本臨床細胞学会九州連合会学会(大分)スライドカンファレンス症例4
種別:体腔液
出題:宮崎県立宮崎病院 病理診断科 丸塚 浩助
| 年齢 | 50代後半 | 性別 | 女性 |
|---|---|---|---|
| 採取部位 | 腹水 | 採取方法 | 穿刺 |
| 検体処理法 | 塗抹及びLBC |
臨床所見
<既往歴>
特記なし
<現病歴>
2ヶ月前頃より腹部膨満・下腿浮腫を自覚し、当院産婦人科に紹介受診。MRIにて著明な腹水と骨盤腔内を占める腫瘤が認められ、癌性腹水を伴う卵巣癌との臨床診断で腹水穿刺細胞診が行われた。
化学療法後開腹手術を行ったが、びまん性腹膜播種を認め、腫瘍切除のみ行われた。腫瘍はS状結腸腸間膜に存在し、卵巣・子宮は正常外観であった。
| 正解 | 5.炎症性筋線維芽細胞肉腫 |
|---|
▼選択肢及び投票結果
| 1.卵巣漿液性腺癌 | 5件 | (7.8%) | |
|---|---|---|---|
| 2.腹膜中皮腫 | 3件 | (4.7%) | |
| 3.消化管間質腫瘍 | 1件 | (1.6%) | |
| 4.未分化大細胞リンパ腫 | 42件 | (65.6%) | |
| 5.炎症性筋線維芽細胞肉腫 | 13件 | (20.3%) | |
| 投票総数 | 64件 | (100%) |

















