症例種別
甲状腺(0~2件表示/全5件中)
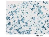
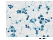
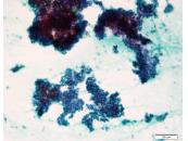
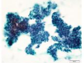
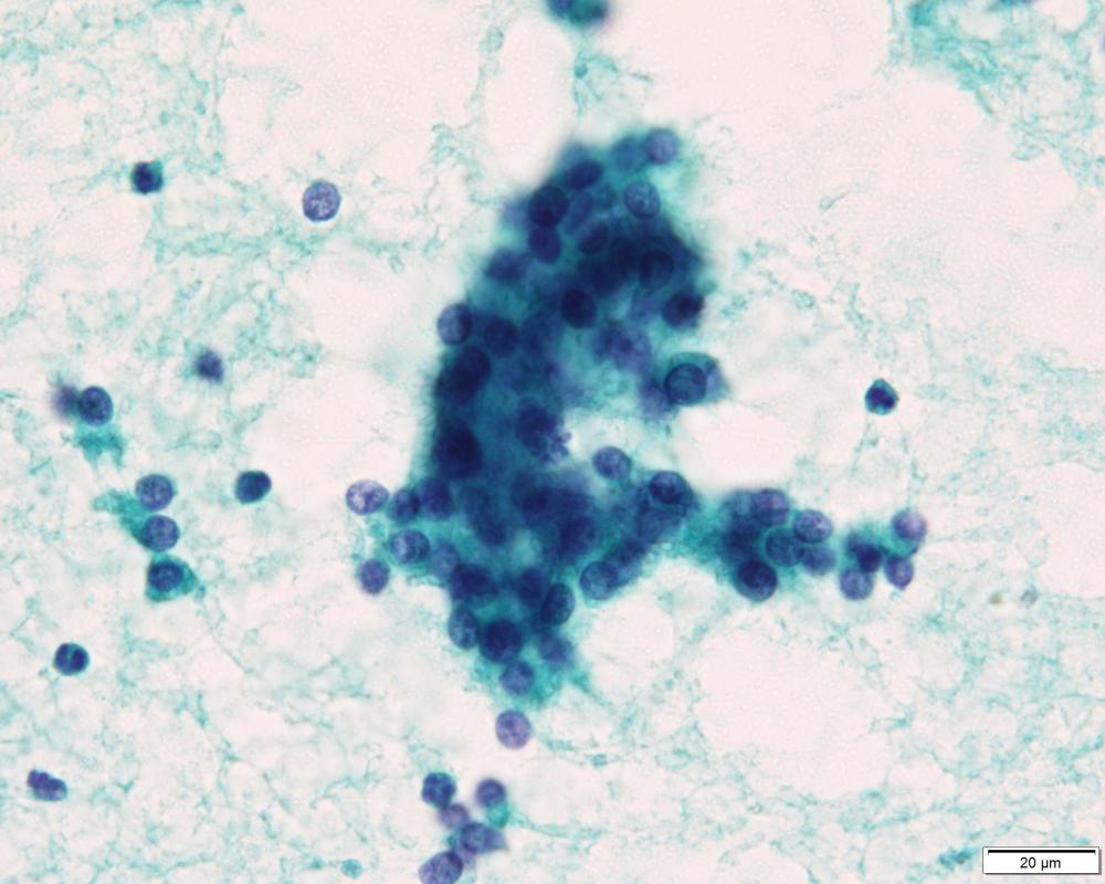
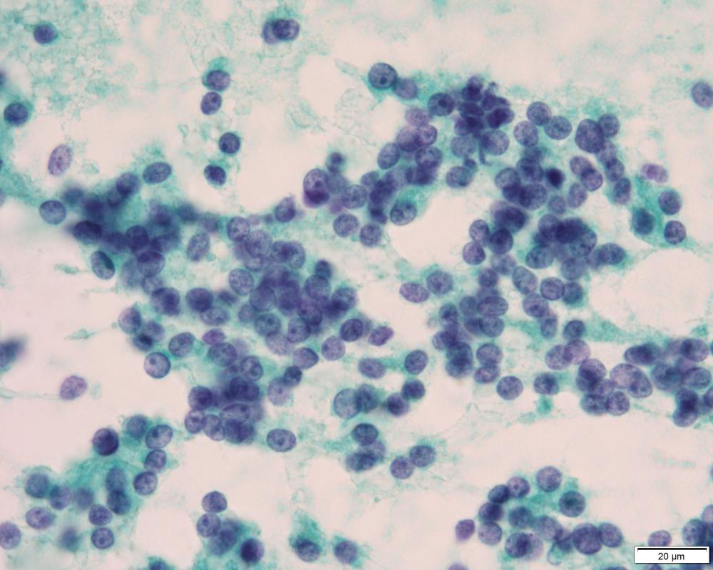
第32回日本臨床細胞学会九州連合会学会病理細胞診断セミナー(スライドカンファレンス)症例 4
種別:甲状腺
出題:独立行政法人国立病院機構長崎医療センター病理診断科 伊東 正博 先生
| 年齢 | 70歳代 | 性別 | 男性 |
|---|---|---|---|
| 採取部位 | 甲状腺 | 採取方法 | 穿刺吸引細胞診 |
| 検体処理法 |
臨床所見
現病歴:右肺下葉に約3㎝径の結節影あり、肺癌が疑われTBLBが施行された。術前検査で甲状腺右葉に約1㎝径の結節と頚部リンパ節に腫大が発見され、FNAが施行された。
右肺下葉と甲状腺右葉の切除術が二期的に施行された。
| 正解 | 3.髄様癌 |
|---|
▼選択肢及び投票結果
| 1.濾胞性腫瘍 | 5件 | (11.1%) | |
|---|---|---|---|
| 2.乳頭癌 | 1件 | (2.2%) | |
| 3.髄様癌 | 33件 | (73.3%) | |
| 4.未分化癌 | 5件 | (11.1%) | |
| 5.悪性リンパ腫 | 1件 | (2.2%) | |
| 投票総数 | 45件 | (100%) |
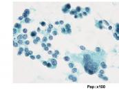
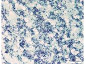
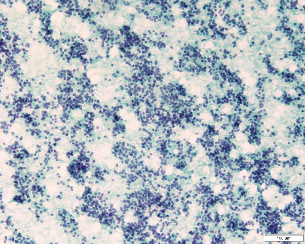
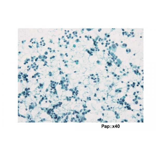
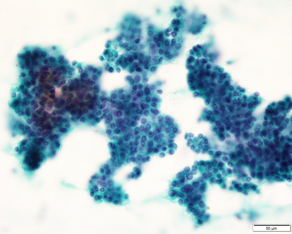
第34回日本臨床細胞学会九州連合会学会(長崎)スライドカンファレンス症例4
種別:甲状腺
出題:野口病院 丸田 淳子 先生
| 年齢 | 89歳 | 性別 | 女性 |
|---|---|---|---|
| 採取部位 | 甲状腺右葉腫瘤 | 採取方法 | 穿刺吸引 |
| 検体処理法 | 従来法 |
臨床所見
既往歴:甲状腺機能亢進症(46才,放射線療法後)
現病歴:頚部違和感を自覚,症状改善がないため、当院受診
| 正解 | 4.低分化癌 |
|---|
▼選択肢及び投票結果
| 1.乳頭癌 | 11件 | (11.3%) | |
|---|---|---|---|
| 2.濾胞性腫瘍 | 40件 | (41.2%) | |
| 3.髄様癌 | 22件 | (22.7%) | |
| 4.低分化癌 | 21件 | (21.6%) | |
| 5.悪性リンパ腫 | 3件 | (3.1%) | |
| 投票総数 | 97件 | (100%) |
















