第36回日本臨床細胞学会九州連合会学会(大分)スライドカンファレンス
投票受付期間:2021/06/28~2021/10/01
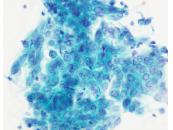
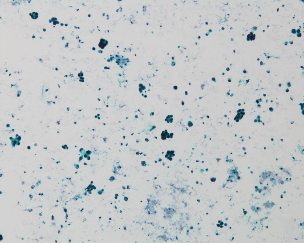
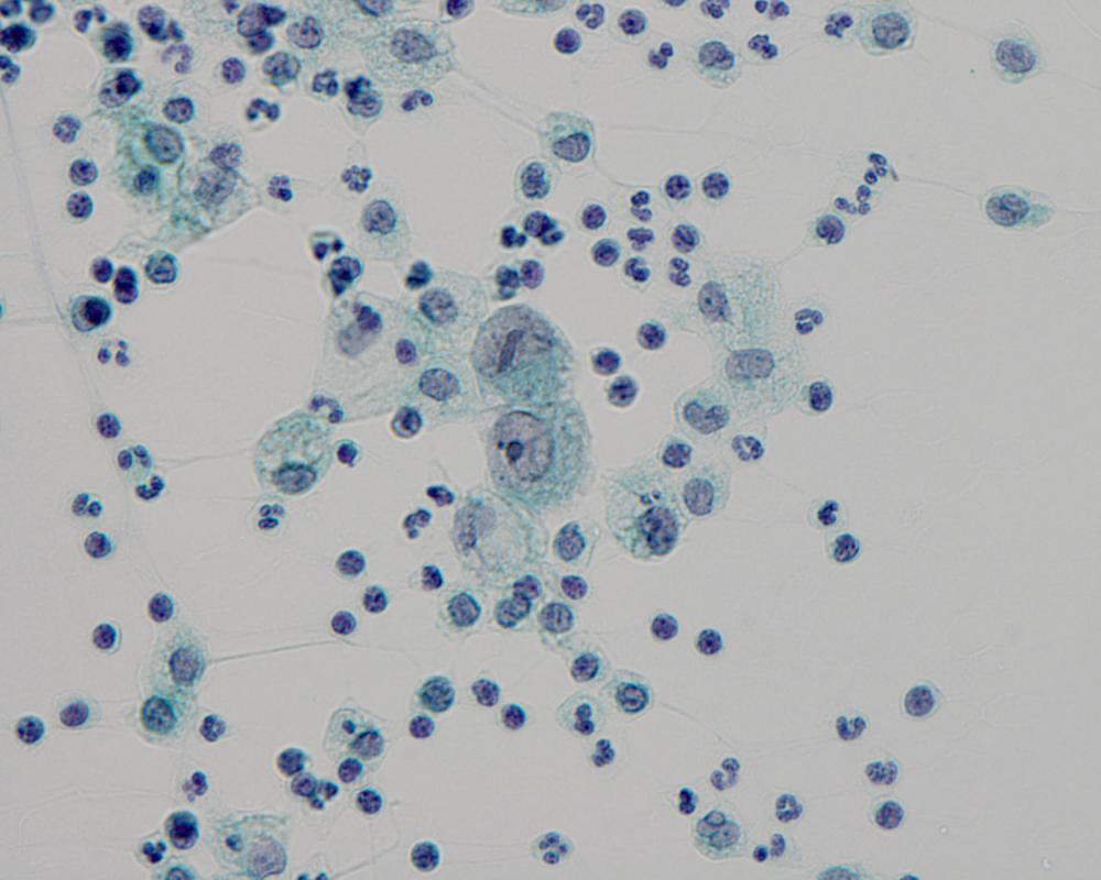
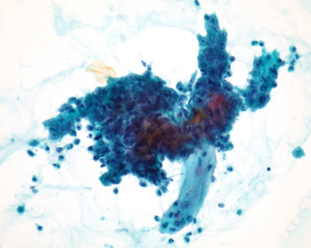
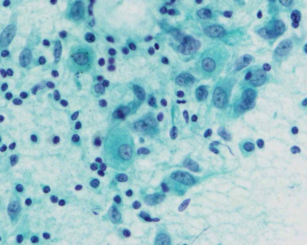
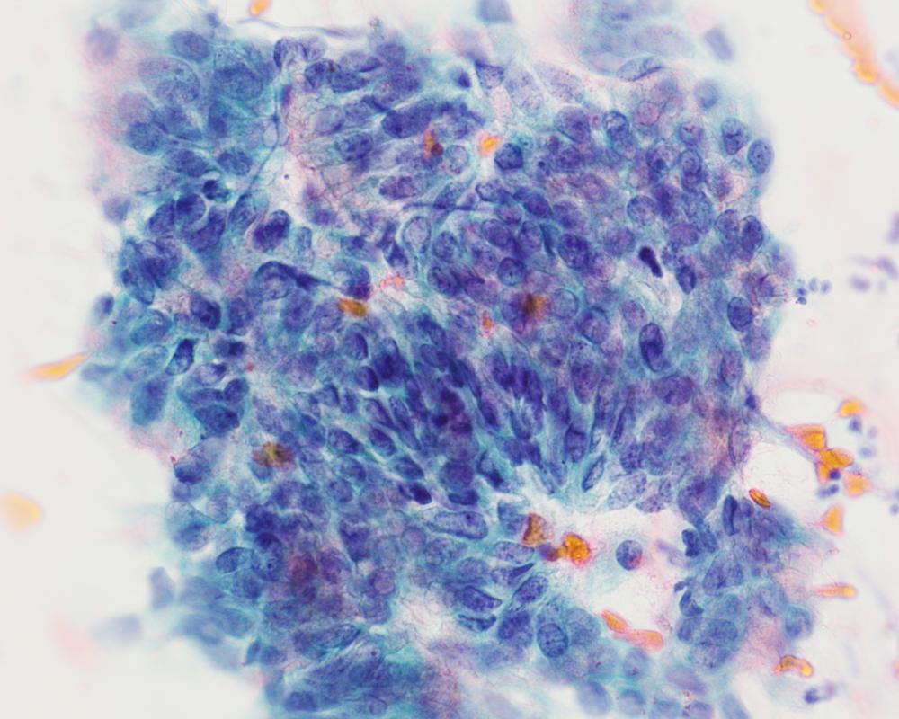
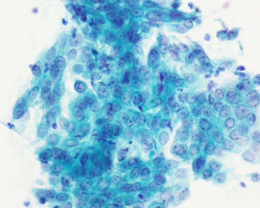
第36回日本臨床細胞学会九州連合会学会(大分)スライドカンファレンス症例1
種別:婦人科
出題:熊本大学病院 病理部・病理診断科 塩田 拓也
| 年齢 | 40代 | 性別 | 女性 |
|---|---|---|---|
| 採取部位 | 子宮頸部 | 採取方法 | 擦過 |
| 検体処理法 | 従来法 |
臨床所見
既往歴:薬剤アレルギー(Stevens Johnson症候群疑い)、尾てい骨骨折、高血圧症
現病歴:筋腫分娩が疑われ、診断・治療目的で当院紹介受診となった。
| 正解 | 5.腺扁平上皮癌 |
|---|
▼選択肢及び投票結果
| 1.高度扁平上皮内病変(HSIL) | 0件 | (0.0%) | |
|---|---|---|---|
| 2.上皮内腺癌(AIS) | 5件 | (7.8%) | |
| 3.重層性粘液産生上皮内病変(SMILE) | 50件 | (78.1%) | |
| 4.腺癌 | 5件 | (7.8%) | |
| 5.腺扁平上皮癌 | 4件 | (6.2%) | |
| 投票総数 | 64件 | (100%) |
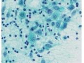
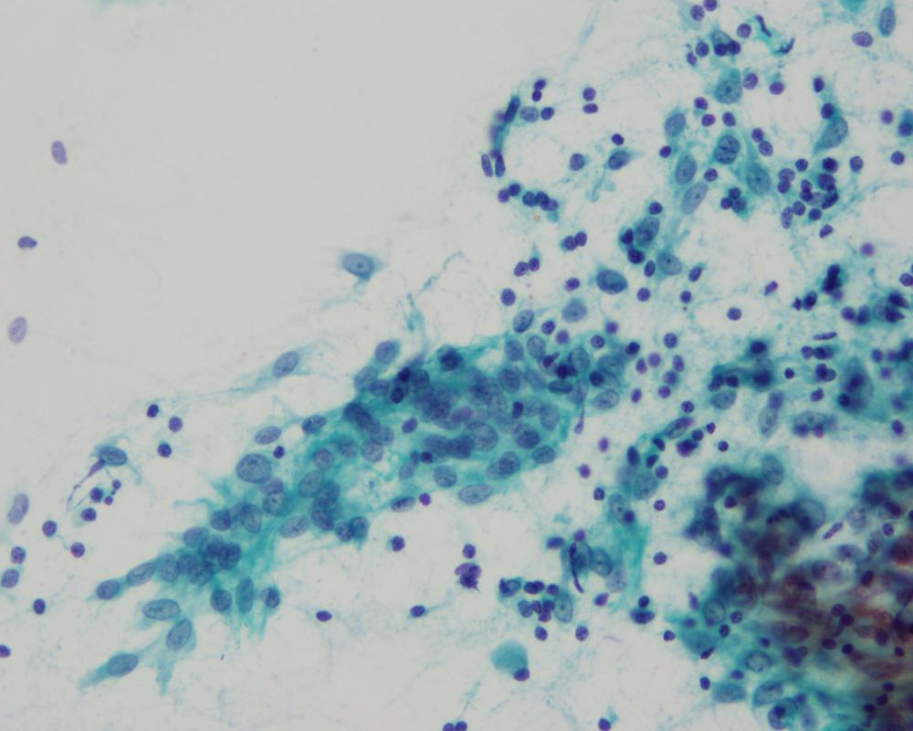
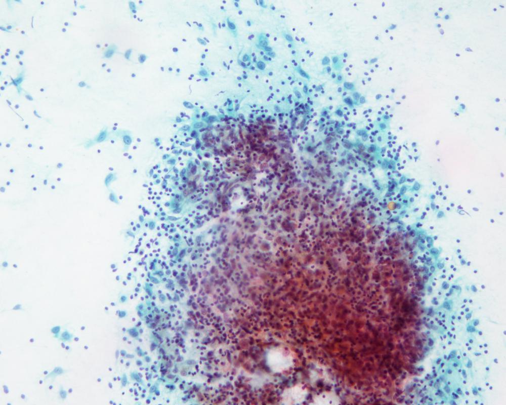
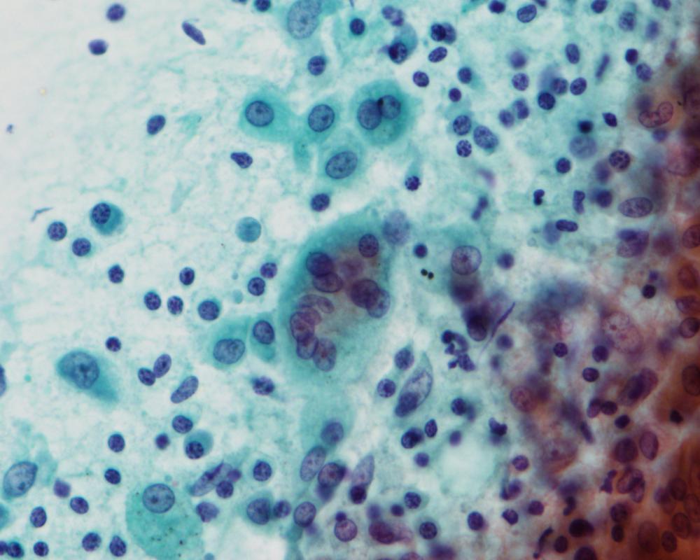
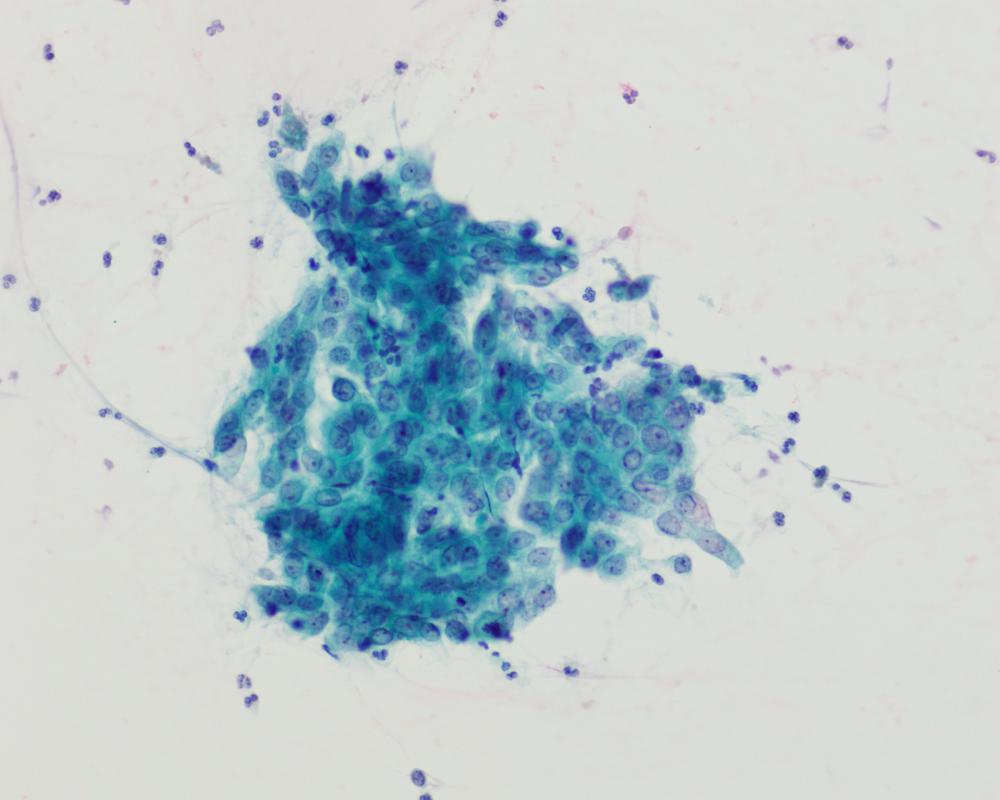
第36回日本臨床細胞学会九州連合会学会(大分)スライドカンファレンス症例2
種別:呼吸器
出題:長崎大学大学院医歯薬学総合研究科 病理学 林 洋子
| 年齢 | 60代 | 性別 | 男性 |
|---|---|---|---|
| 採取部位 | 肺 | 採取方法 | 術中穿刺 |
| 検体処理法 | 直接塗抹 |
臨床所見
【既往歴】 2年前に肺腺癌にて左上葉切除術後
【現病歴】 術後経過観察目的の胸部CTにて右肺下葉S9に、径15mm大の結節を認めた。1年前のCTでは径6mm大であり、増大傾向が認められた。画像的に、転移よりは他の原発性肺腫瘍が疑われた。
| 正解 | 5.炎症性線維芽細胞性腫瘍 |
|---|
▼選択肢及び投票結果
| 1.腺癌 | 1件 | (1.6%) | |
|---|---|---|---|
| 2.扁平上皮癌 | 1件 | (1.6%) | |
| 3.肉腫様癌 | 10件 | (15.6%) | |
| 4.カルチノイド | 0件 | (0.0%) | |
| 5.炎症性線維芽細胞性腫瘍 | 52件 | (81.2%) | |
| 投票総数 | 64件 | (100%) |
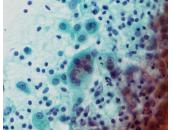
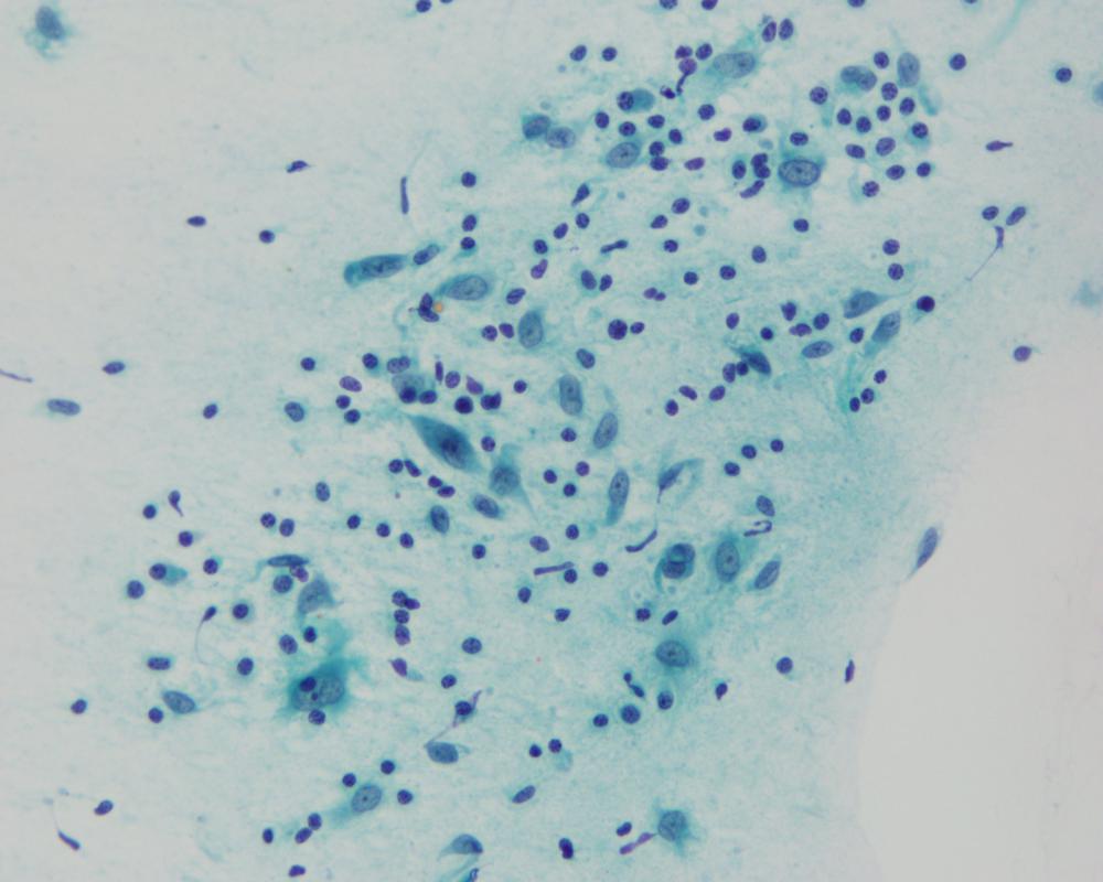
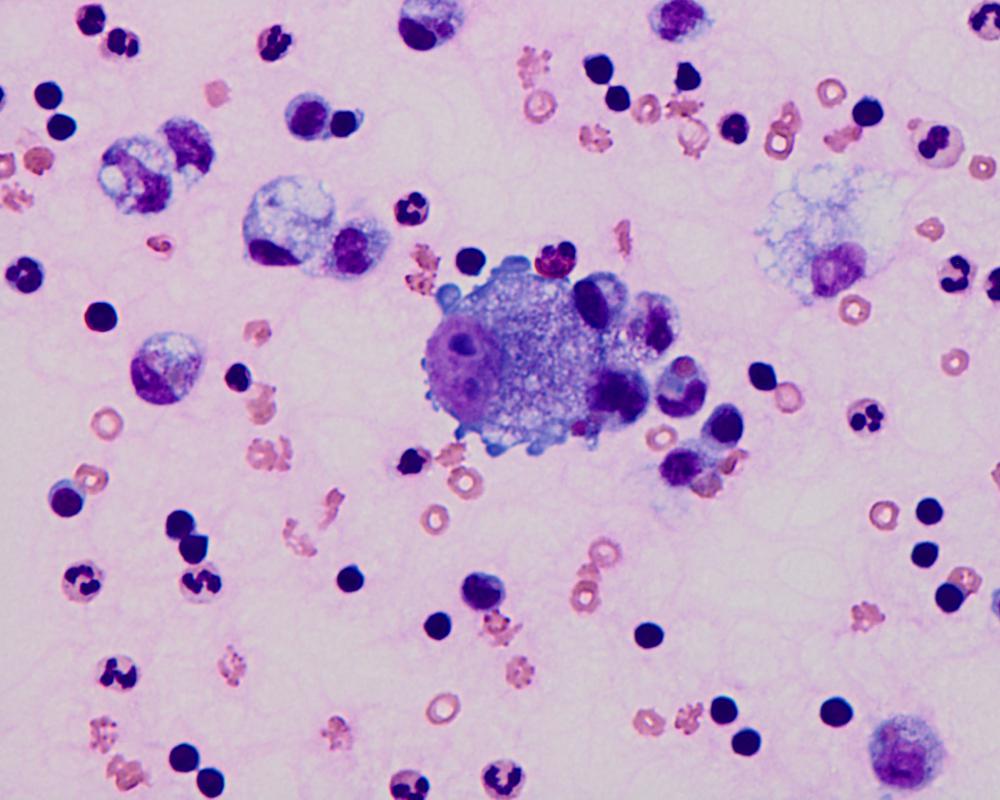
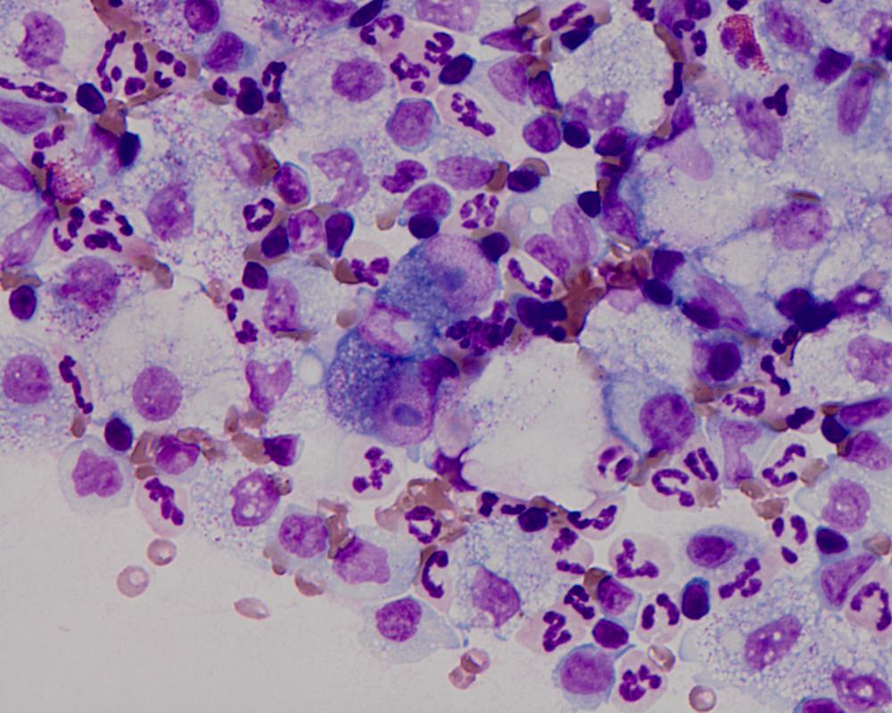
第36回日本臨床細胞学会九州連合会学会(大分)スライドカンファレンス症例3
種別:泌尿器
出題:鹿児島予防医学研究所 病理部 平木 翼
| 年齢 | 90歳代 | 性別 | 男性 |
|---|---|---|---|
| 採取部位 | 尿 | 採取方法 | 自然尿 |
| 検体処理法 | LBC 法 (サイトリッチレッド、BD) |
臨床所見
既往歴:高血圧症、高脂血症、高尿酸血症
現病歴:半年前から続く肉眼的血尿を主訴に、当院泌尿器科を受診された。超音波検査では膀胱頂部後壁、右側壁、左側壁、内尿道口内部に最大径 4 cmの多発性腫瘍を認めた。
| 正解 | 2.腺上皮への分化を伴う高異型度尿路上皮癌 |
|---|
▼選択肢及び投票結果
| 1.膀胱原発腺癌 | 30件 | (46.9%) | |
|---|---|---|---|
| 2.腺上皮への分化を伴う高異型度尿路上皮癌 | 21件 | (32.8%) | |
| 3.神経内分泌癌 | 0件 | (0.0%) | |
| 4.胃癌の転移 | 2件 | (3.1%) | |
| 5.前立腺癌の直接浸潤 | 11件 | (17.2%) | |
| 投票総数 | 64件 | (100%) |
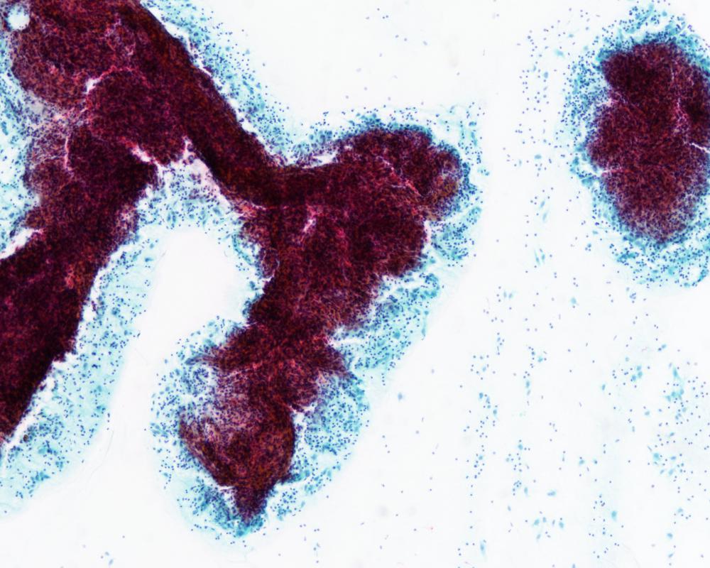
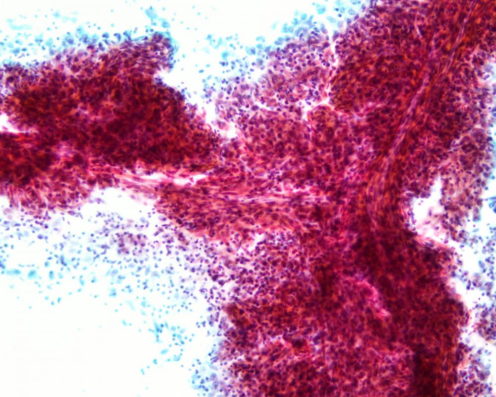
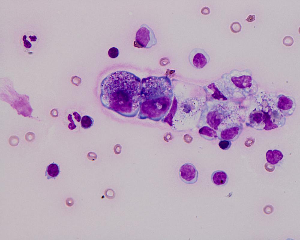
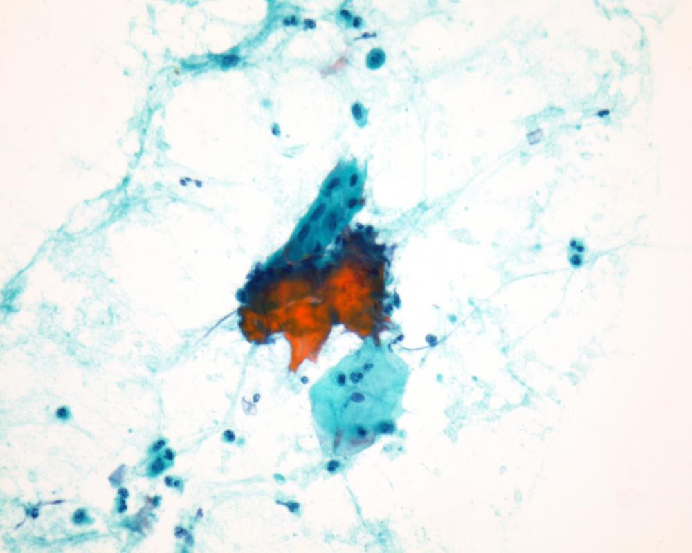
第36回日本臨床細胞学会九州連合会学会(大分)スライドカンファレンス症例4
種別:体腔液
出題:宮崎県立宮崎病院 病理診断科 丸塚 浩助
| 年齢 | 50代後半 | 性別 | 女性 |
|---|---|---|---|
| 採取部位 | 腹水 | 採取方法 | 穿刺 |
| 検体処理法 | 塗抹及びLBC |
臨床所見
<既往歴>
特記なし
<現病歴>
2ヶ月前頃より腹部膨満・下腿浮腫を自覚し、当院産婦人科に紹介受診。MRIにて著明な腹水と骨盤腔内を占める腫瘤が認められ、癌性腹水を伴う卵巣癌との臨床診断で腹水穿刺細胞診が行われた。
化学療法後開腹手術を行ったが、びまん性腹膜播種を認め、腫瘍切除のみ行われた。腫瘍はS状結腸腸間膜に存在し、卵巣・子宮は正常外観であった。
| 正解 | 5.炎症性筋線維芽細胞肉腫 |
|---|
▼選択肢及び投票結果
| 1.卵巣漿液性腺癌 | 5件 | (7.8%) | |
|---|---|---|---|
| 2.腹膜中皮腫 | 3件 | (4.7%) | |
| 3.消化管間質腫瘍 | 1件 | (1.6%) | |
| 4.未分化大細胞リンパ腫 | 42件 | (65.6%) | |
| 5.炎症性筋線維芽細胞肉腫 | 13件 | (20.3%) | |
| 投票総数 | 64件 | (100%) |
第36回日本臨床細胞学会九州連合会学会(大分)スライドカンファレンス症例5
種別:消化器・口腔
出題:九州歯科大学 健康増進学講座 口腔病態病理学分野 矢田 直美
| 年齢 | 70歳代 | 性別 | 男性 |
|---|---|---|---|
| 採取部位 | 口底部 | 採取方法 | 歯間ブラシ擦過 |
| 検体処理法 | 従来法,LBC法 (ThinPrep) |
臨床所見
既往歴:前立腺癌(10年前),高血圧症,逆流性食道炎
現病歴:かかりつけ内科医に口底部腫瘤を指摘され受診となった。初診時,舌下小丘すぐ横に10×10mmの軽度硬結を触れる腫瘤を認めたため,擦過細胞診が行われた。
| 正解 | 3.類基底扁平上皮癌 |
|---|
▼選択肢及び投票結果
| 1.上皮内癌 | 1件 | (1.6%) | |
|---|---|---|---|
| 2.高分化型扁平上皮癌 | 7件 | (10.9%) | |
| 3.類基底扁平上皮癌 | 36件 | (56.2%) | |
| 4.粘表皮癌 | 14件 | (21.9%) | |
| 5.腺癌 (前立腺癌の転移) | 6件 | (9.4%) | |
| 投票総数 | 64件 | (100%) |








































