第37回日本臨床細胞学会九州連合会学会(佐賀)スライドカンファレンス
投票受付期間:2022/06/27~2022/07/22
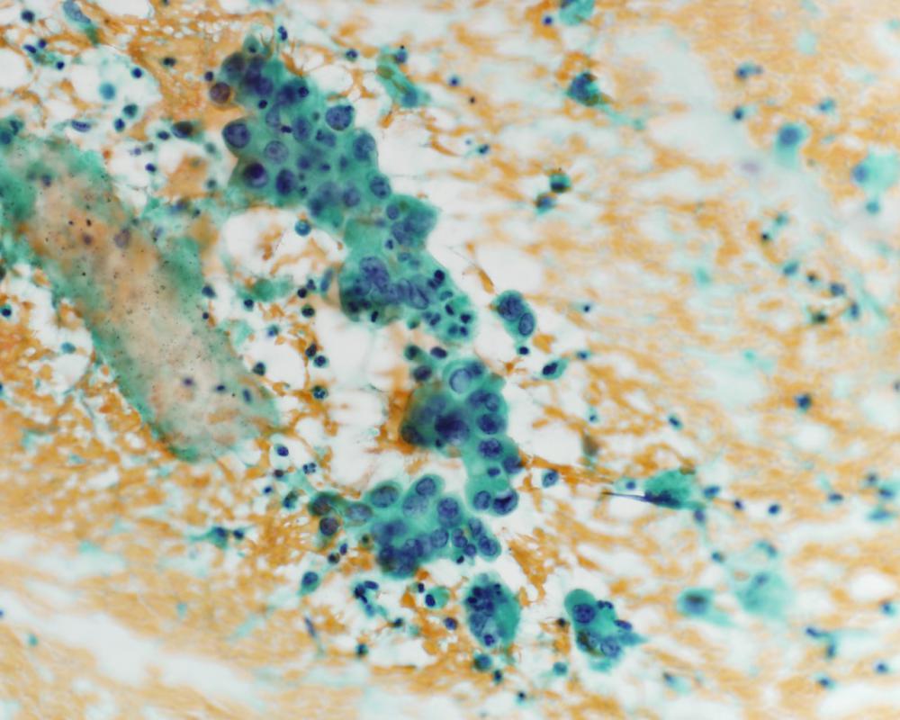
第37回日本臨床細胞学会九州連合会学会(佐賀)スライドカンファレンス症例1
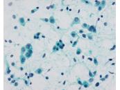
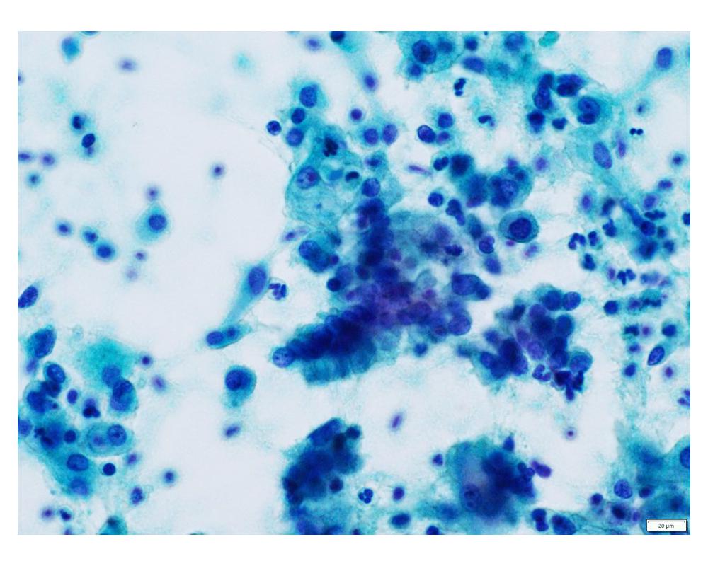
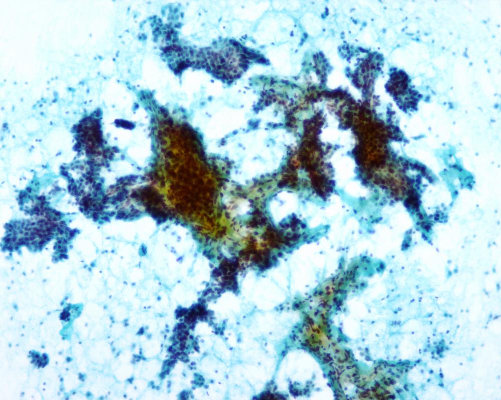
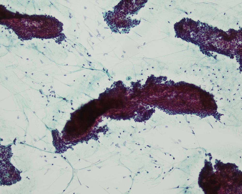
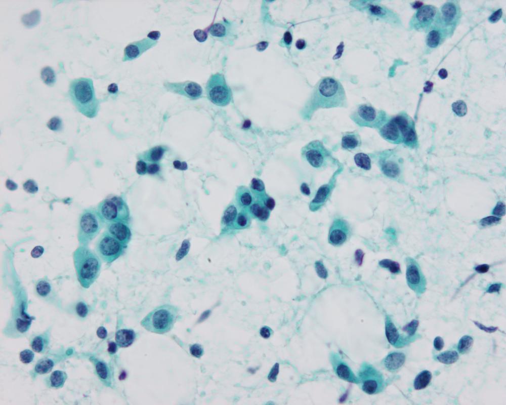
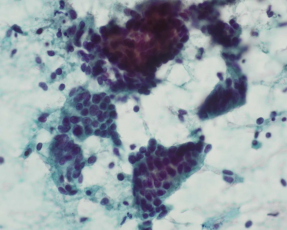
種別:呼吸器
出題:○古賀 裕1、山本 将義2、藤本 翔大2.1国立病院機構 九州がんセンター 病理診断科、2国立病院機構 九州がんセンター 臨床検査科
| 年齢 | 60歳代 | 性別 | 男性 |
|---|---|---|---|
| 採取部位 | 肺腫瘍 | 採取方法 | 捺印 |
| 検体処理法 |
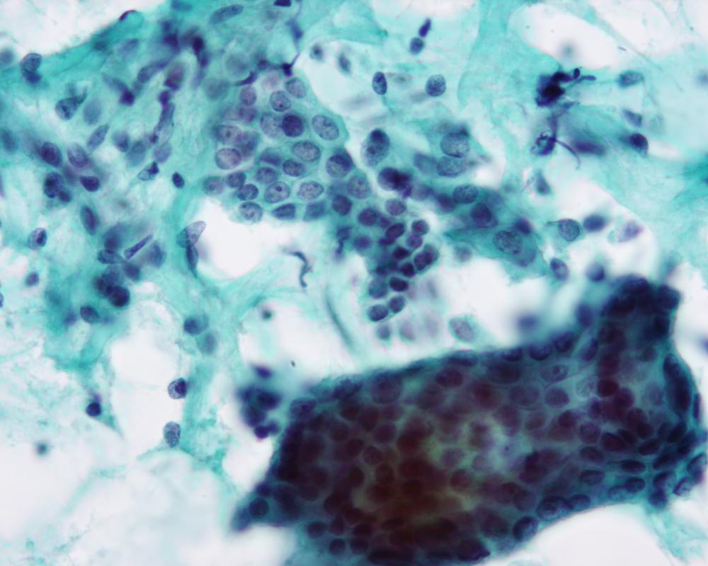
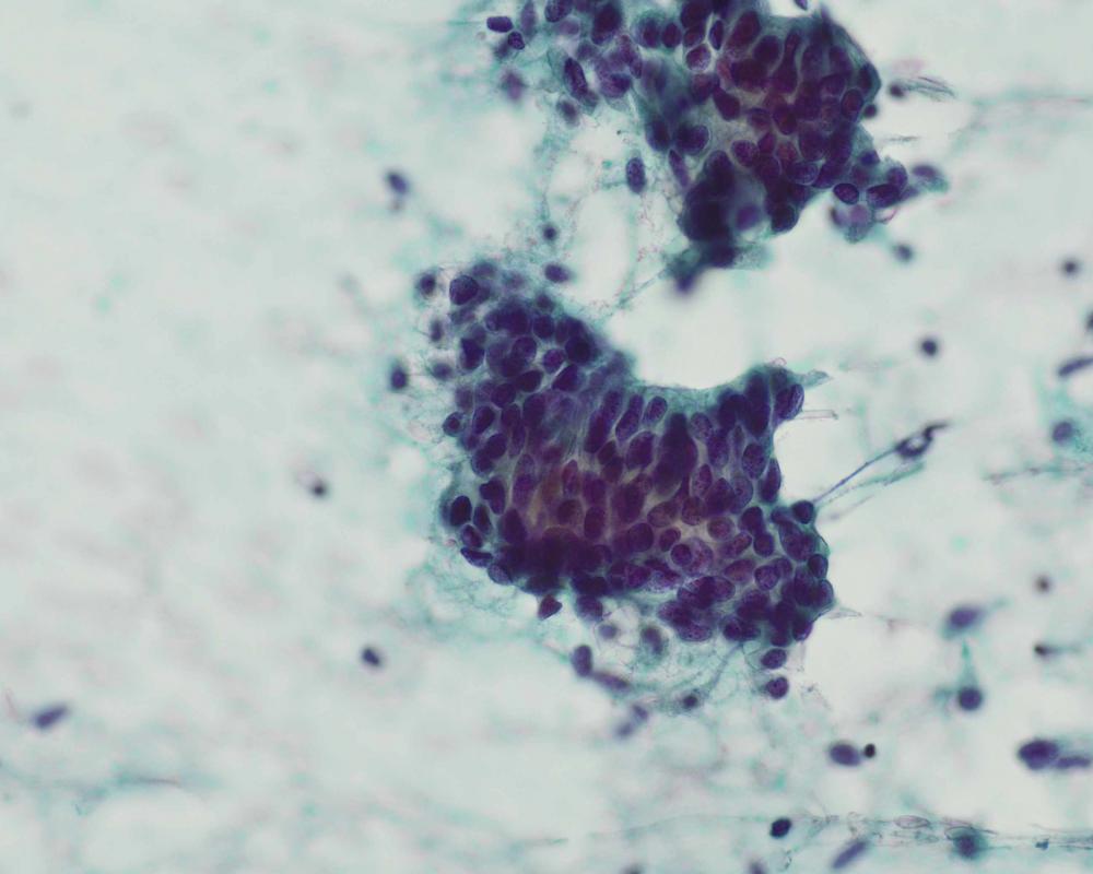
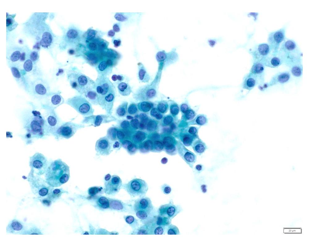
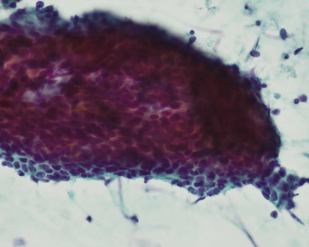
臨床所見
既往歴:59歳 前立腺癌に対してホルモン治療、放射線治療、59歳高血圧、63歳糖尿病で内服加療中
現病歴:前立腺癌の経過観察のCTにて右肺結節を指摘された。PSA含めて腫瘍マーカーは正常であった。本標本は術中迅速組織診断用に提出された肺腫瘍の捺印細胞診検体である。
| 正解 | 5.転移性肺腫瘍(前立腺癌) |
|---|
▼選択肢及び投票結果
| 1.類基底細胞型扁平上皮癌 | 9件 | (11.2%) | |
|---|---|---|---|
| 2.大細胞神経内分泌癌 | 5件 | (6.2%) | |
| 3.腸型腺癌 | 42件 | (52.5%) | |
| 4.転移性肺腫瘍(大腸癌) | 14件 | (17.5%) | |
| 5.転移性肺腫瘍(前立腺癌) | 10件 | (12.5%) | |
| 投票総数 | 80件 | (100%) |
第37回日本臨床細胞学会九州連合会学会(佐賀)スライドカンファレンス症例2
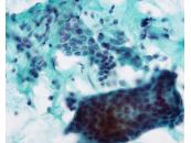
種別:甲状腺
出題:○黒濱 大和 長崎大学病院病理診断科・病理部
| 年齢 | 70代 | 性別 | 女性 |
|---|---|---|---|
| 採取部位 | 甲状腺 | 採取方法 | 穿刺吸引 |
| 検体処理法 | 従来法 |
臨床所見
既往歴:甲状腺左葉良性腫瘍切除(詳細不明,35歳時)
現病歴:1週間前より頸部腫脹を自覚。頸部に軽度圧痛のある弾性硬,可動性不良の8.5x5.0cmの腫瘤を認め,画像上甲状腺右葉に石灰化を伴う腫瘍を認めた。同部より細胞診が施行された。
| 正解 | 2.乳頭癌+未分化癌 |
|---|
▼選択肢及び投票結果
| 1.乳頭癌 | 21件 | (26.2%) | |
|---|---|---|---|
| 2.乳頭癌+未分化癌 | 8件 | (10.0%) | |
| 3.低分化癌 | 9件 | (11.2%) | |
| 4.円柱細胞癌 | 35件 | (43.8%) | |
| 5.卵巣癌転移 | 7件 | (8.8%) | |
| 投票総数 | 80件 | (100%) |
第37回日本臨床細胞学会九州連合会学会(佐賀)スライドカンファレンス症例3
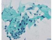
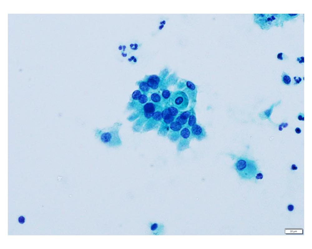
種別:乳腺
出題:○山口 倫、阿部 英二.久留米大学医学部附属医療センター 病理診断科・臨床検査室
| 年齢 | 61歳 | 性別 | 女性 |
|---|---|---|---|
| 採取部位 | 右乳房C領域 | 採取方法 | FNA |
| 検体処理法 | 合わせ法 |
臨床所見
臨床診断:乳癌疑い
臨床経過:約2ヶ月前から、右乳房のしこりを自覚し来院。
触診上、右乳房C領域で、乳頭から約3cmの場所に、径1.5cm大の
硬い腫瘤を触知する。
| 正解 | 1.腺筋上皮腫 |
|---|
▼選択肢及び投票結果
| 1.腺筋上皮腫 | 29件 | (36.2%) | |
|---|---|---|---|
| 2.乳管内乳頭腫 | 6件 | (7.5%) | |
| 3.線維腺腫 | 7件 | (8.8%) | |
| 4.浸潤性乳管癌 | 15件 | (18.8%) | |
| 5.基質産生癌 | 23件 | (28.7%) | |
| 投票総数 | 80件 | (100%) |
第37回日本臨床細胞学会九州連合会学会(佐賀)スライドカンファレンス症例4
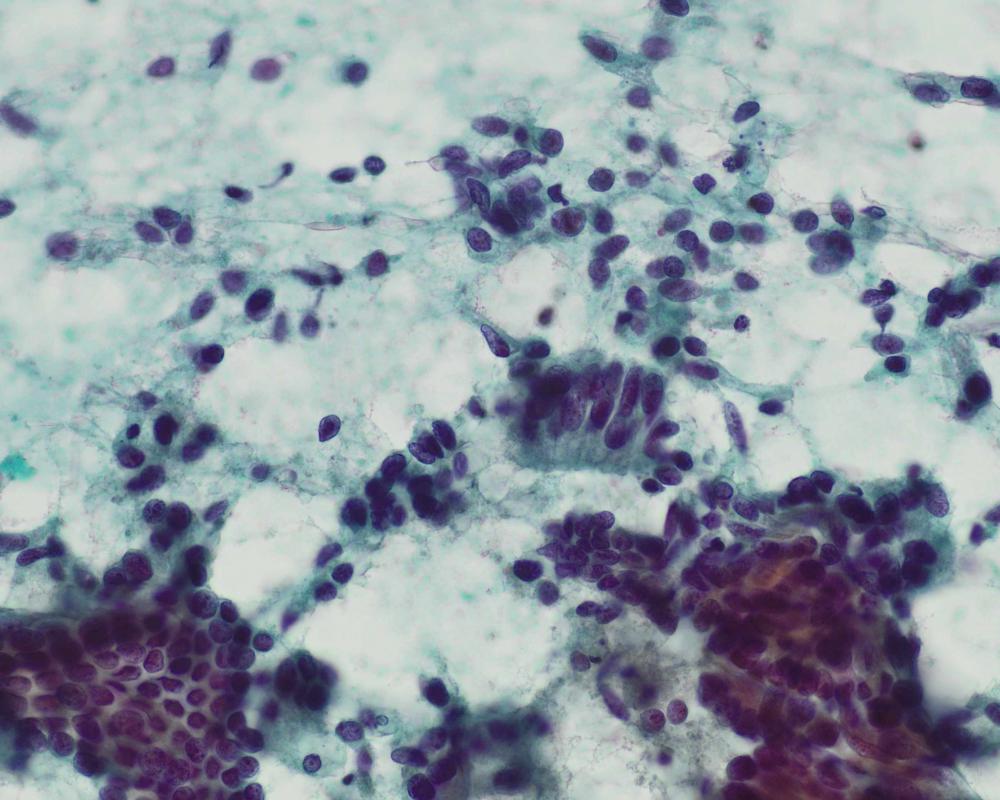
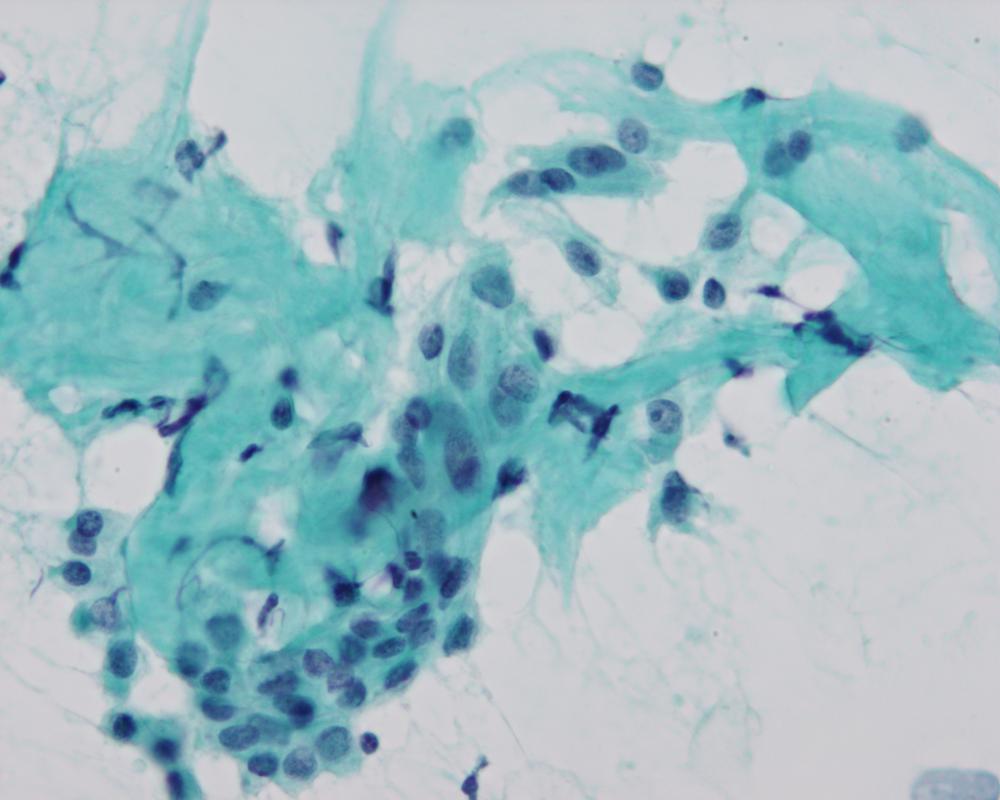
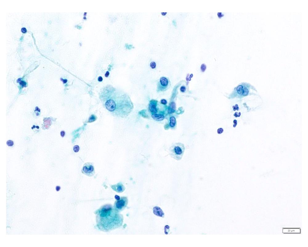
種別:泌尿器
出題:○松山 篤二 福岡和白病院病理診断科
| 年齢 | 68歳 | 性別 | 男性 |
|---|---|---|---|
| 採取部位 | 尿 | 採取方法 | 自然尿 |
| 検体処理法 | 従来法 |
臨床所見
既往歴:大腸癌
現病歴:S状結腸癌ならびに肺転移にて化学療法中。2週間前から排尿困難、残尿感があり、泌尿器科に紹介された。直腸診で前立腺は超胡桃大、全体に固く表面やや不整であった。精査のため、まず尿細胞診が行われた。
(画像2、5~8は同一の倍率です)
| 正解 | 1.大腸癌 |
|---|
▼選択肢及び投票結果
| 1.大腸癌 | 3件 | (3.8%) | |
|---|---|---|---|
| 2.前立腺癌 | 44件 | (55.0%) | |
| 3.高異型度尿路上皮癌 | 17件 | (21.2%) | |
| 4.低異型度尿路上皮癌 | 8件 | (10.0%) | |
| 5.反応性尿路上皮 | 8件 | (10.0%) | |
| 投票総数 | 80件 | (100%) |
第37回日本臨床細胞学会九州連合会学会(佐賀)スライドカンファレンス症例5
種別:婦人科
出題:○大石 善丈 飯塚病院病理科
| 年齢 | 75歳 | 性別 | 女性 |
|---|---|---|---|
| 採取部位 | 子宮内膜 | 採取方法 | 擦過法 |
| 検体処理法 | 直接塗抹法 |
臨床所見
既往歴:10カ月前に右肺下葉腺癌にて右中下葉切除術。術後病理診断は乳頭型腺癌、pT2aN2M0 StageIIIA.
現病歴:肺癌の経過観察中、腫瘍マーカーのCEAが上昇したためPETを施行され、子宮体部に異常集積が認められた。子宮体癌が疑われ、内膜細胞診が提出された。
| 正解 | 4.肺腺癌の子宮転移 |
|---|
▼選択肢及び投票結果
| 1.類内膜癌 | 15件 | (18.8%) | |
|---|---|---|---|
| 2.漿液性腺癌 | 10件 | (12.5%) | |
| 3.子宮内膜異型増殖症 | 0件 | (0.0%) | |
| 4.肺腺癌の子宮転移 | 30件 | (37.5%) | |
| 5.中腎管様腺癌 | 25件 | (31.2%) | |
| 投票総数 | 80件 | (100%) |





































