第38回日本臨床細胞学会九州連合会学会(熊本)スライドカンファレンス
投票受付期間:2023/05/24~2023/07/21
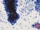
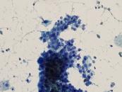
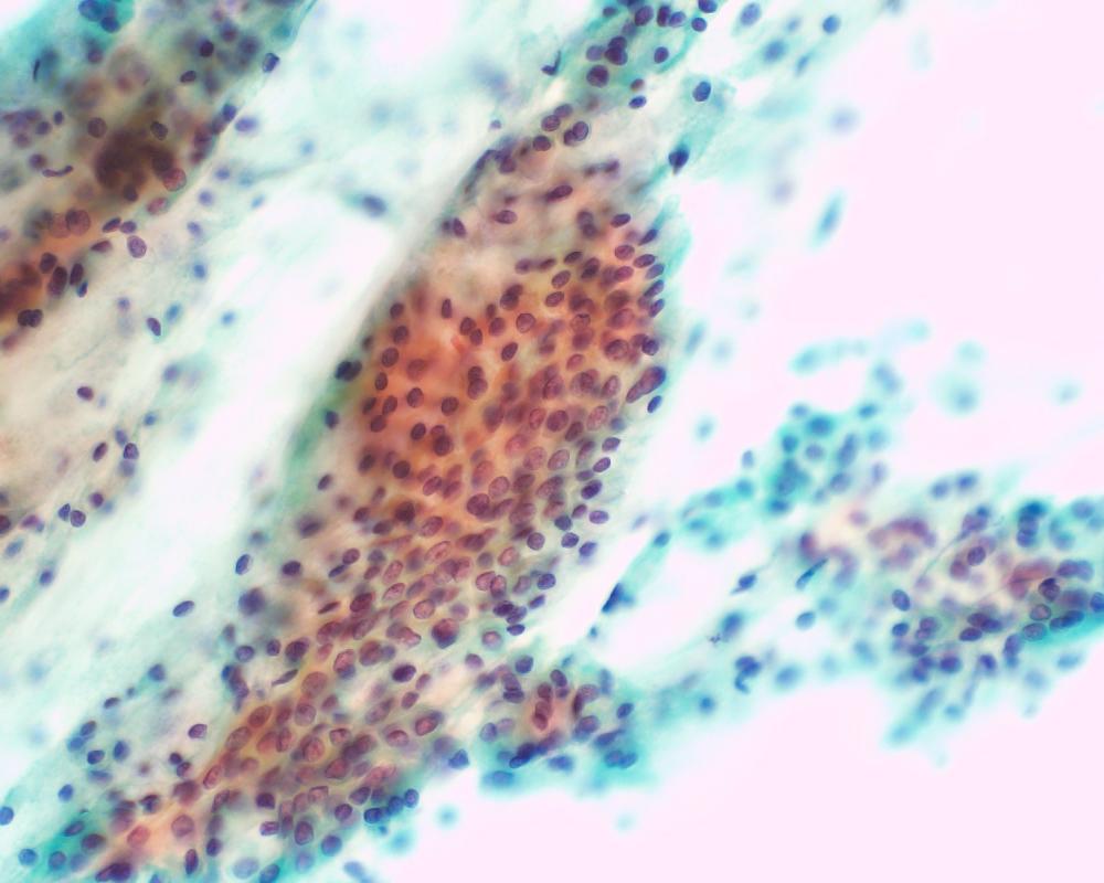
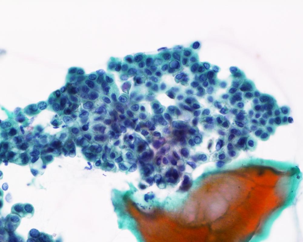
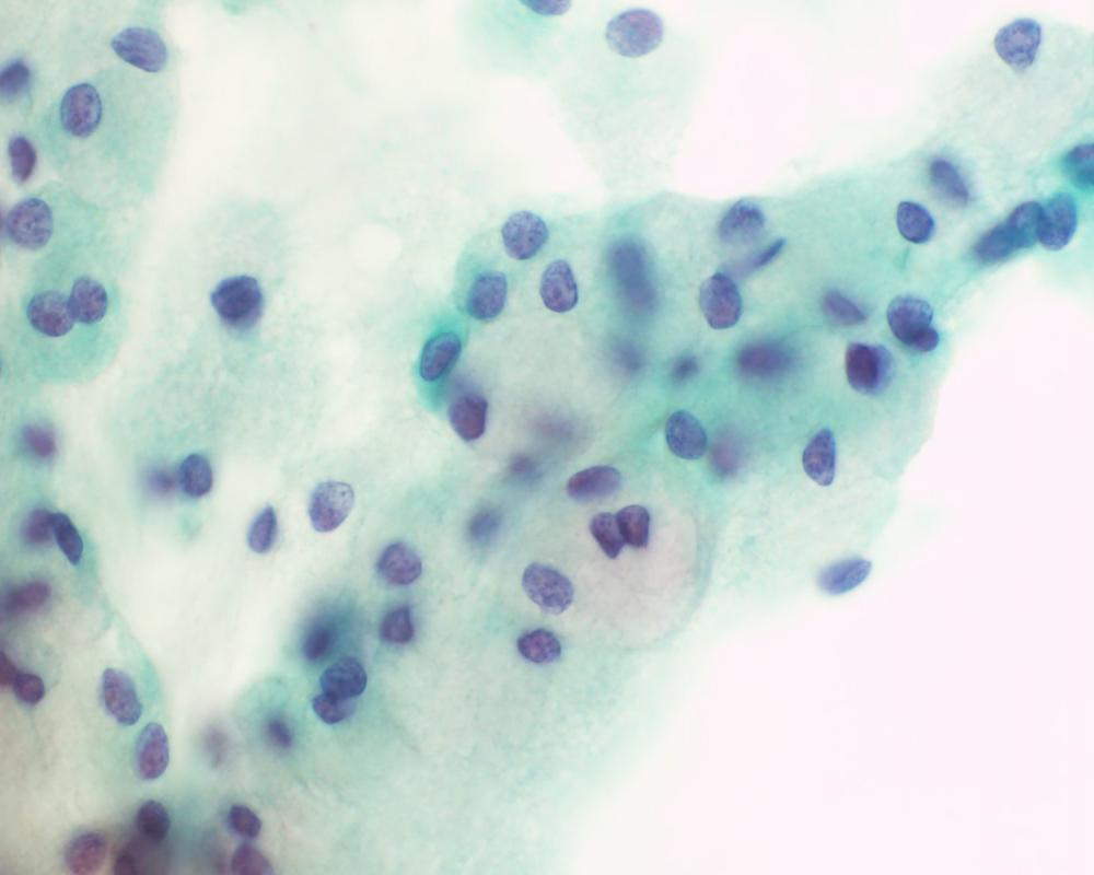
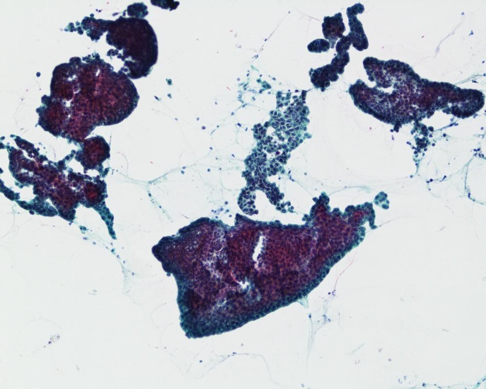
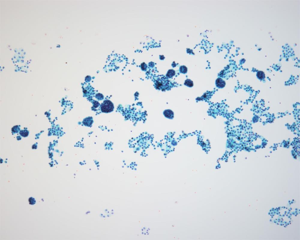
第38回日本臨床細胞学会九州連合会学会(熊本)スライドカンファレンス症例1
種別:婦人科
出題:仲田 典弘 中頭病院病理診断科
| 年齢 | 70代 | 性別 | 女性 |
|---|---|---|---|
| 採取部位 | 右卵巣 | 採取方法 | 捺印 |
| 検体処理法 | 従来法 |
臨床所見
既往歴:右乳癌(7年前)、右卵管妊娠(40年前)。
現病歴:半年前から腹部膨満感あり受診。造影CTで嚢胞性卵巣腫瘍が疑われ手術となった。
| 正解 | 5.ブレンナー腫瘍 |
|---|
▼選択肢及び投票結果
| 1.奇形腫 | 10件 | (9.6%) | |
|---|---|---|---|
| 2.明細胞癌 | 34件 | (32.7%) | |
| 3.類内膜癌 | 7件 | (6.7%) | |
| 4.顆粒膜細胞腫 | 12件 | (11.5%) | |
| 5.ブレンナー腫瘍 | 41件 | (39.4%) | |
| 投票総数 | 104件 | (100%) |
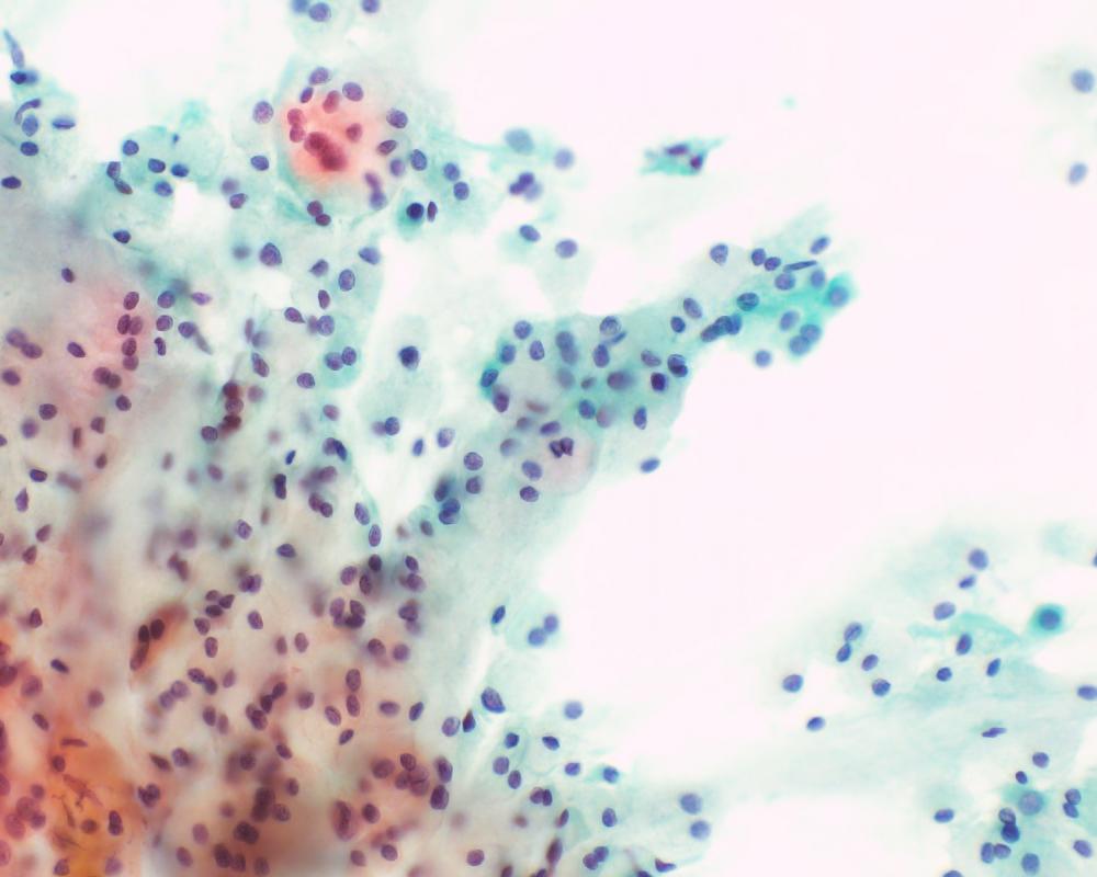
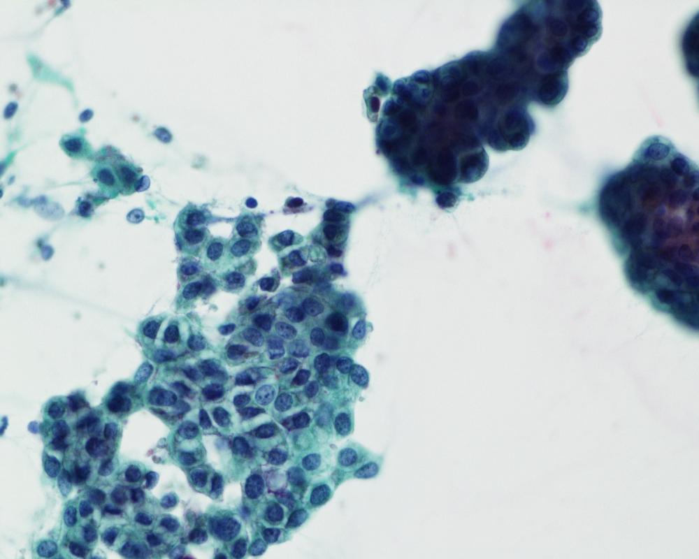
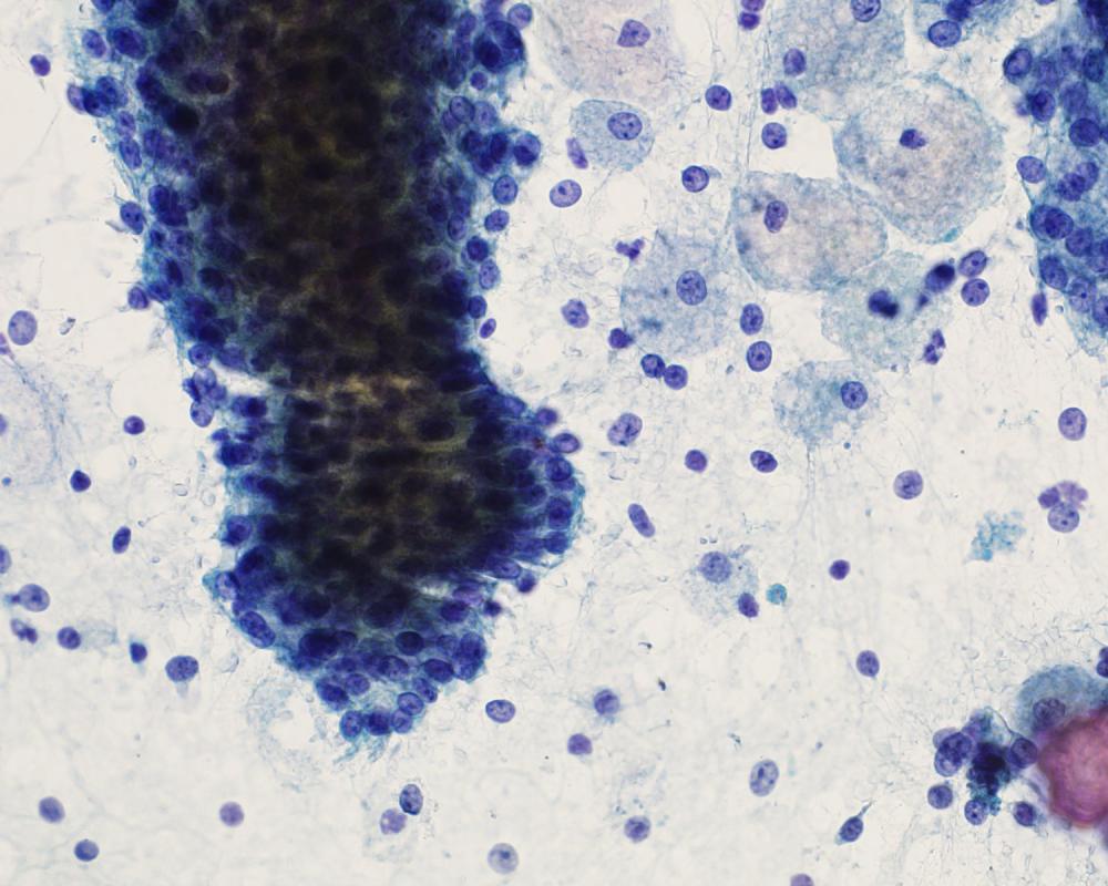
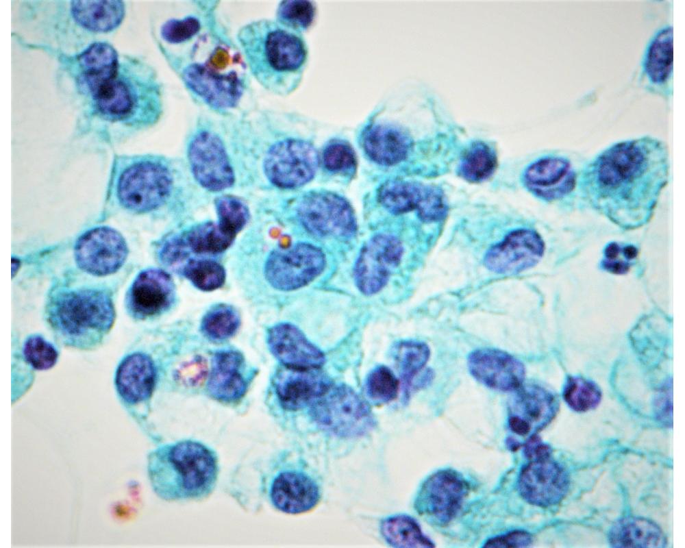
第38回日本臨床細胞学会九州連合会学会(熊本)スライドカンファレンス症例2
種別:呼吸器
出題:白澤 晃樹 鹿児島市立病院病理診断科・病理診断技術科
| 年齢 | 60代 | 性別 | 男性 |
|---|---|---|---|
| 採取部位 | 左肺腫瘍 | 採取方法 | 腫瘍部穿刺(呼吸器外科切除検体から採取) |
| 検体処理法 |
臨床所見
現病歴:検診時の胸部異常陰影で当院呼吸器内科を紹介受診。
胸部造影CTで左肺下葉に最大径22 mmの腫瘤影。
腫瘍マーカー:CEA : 6.1、SCC : 0.80、NSE : 13.3。
| 正解 | 2.粘液腺腺腫 |
|---|
▼選択肢及び投票結果
| 1.過誤腫 | 3件 | (2.9%) | |
|---|---|---|---|
| 2.粘液腺腺腫 | 20件 | (19.2%) | |
| 3.粘表皮癌(低異型度) | 63件 | (60.6%) | |
| 4.腺扁平上皮癌 | 0件 | (0.0%) | |
| 5.浸潤性粘液腺癌 | 18件 | (17.3%) | |
| 投票総数 | 104件 | (100%) |
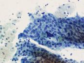
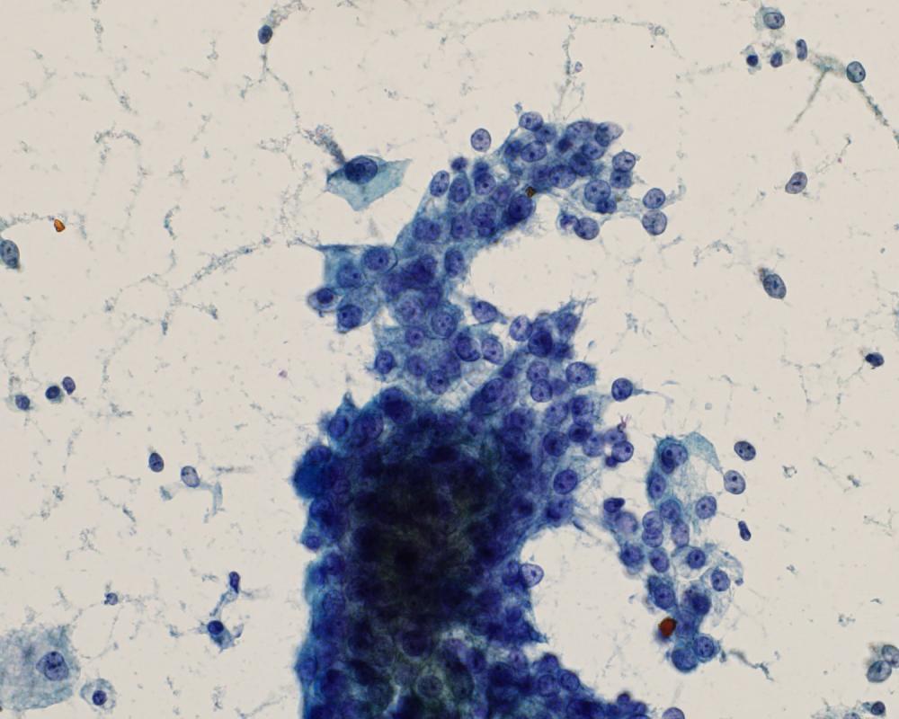
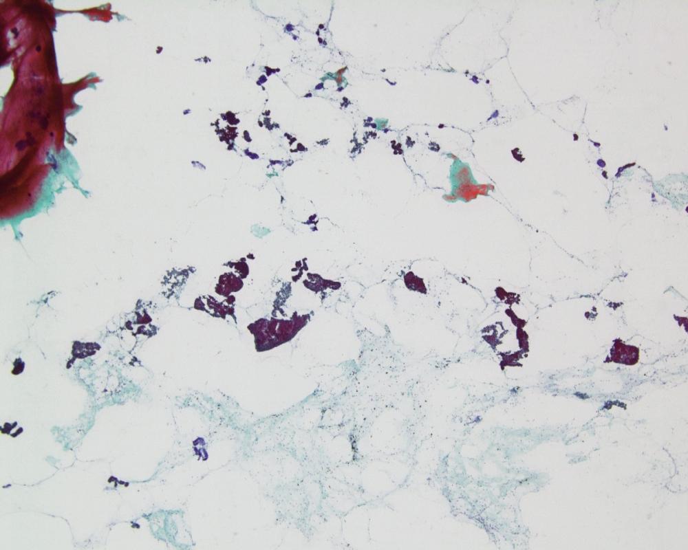
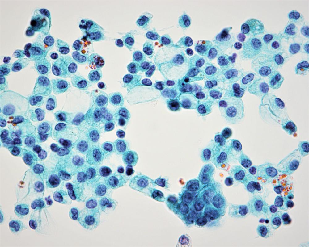
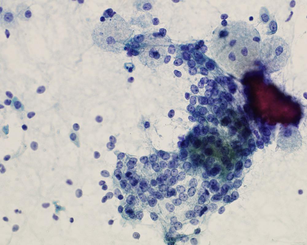
第38回日本臨床細胞学会九州連合会学会(熊本)スライドカンファレンス症例3
種別:消化器・口腔
出題:甲斐 敬太 佐賀大学医学部附属病院病理部
| 年齢 | 60代 | 性別 | 男性 |
|---|---|---|---|
| 採取部位 | 胆汁 | 採取方法 | 経皮経肝胆道ドレナージ |
| 検体処理法 |
臨床所見
既往歴:潰瘍性大腸炎治療中。
現病歴:難治性の十二指腸潰瘍を合併し、通過障害をきたしていた。閉塞性黄疸が出現し、精査で原発性硬化性
胆管炎が疑われた。減黄目的に経皮経肝胆道ドレナージが行われ、胆汁が提出された。なお、狭窄部の
胆管と十二指腸潰瘍部から生検が行われたが、悪性所見は指摘できなかった。
| 正解 | 5.腺癌 |
|---|
▼選択肢及び投票結果
| 1.急性胆管炎 (反応性異型) | 1件 | (1.0%) | |
|---|---|---|---|
| 2.原発性硬化性胆管炎 (反応性異型) | 25件 | (24.0%) | |
| 3.Low-grade BilIN | 31件 | (29.8%) | |
| 4.Low-grade IPNB | 19件 | (18.3%) | |
| 5.腺癌 | 28件 | (26.9%) | |
| 投票総数 | 104件 | (100%) |
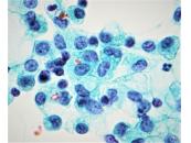
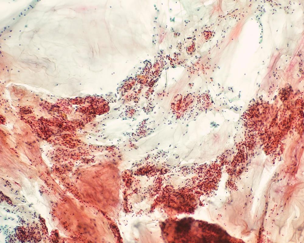
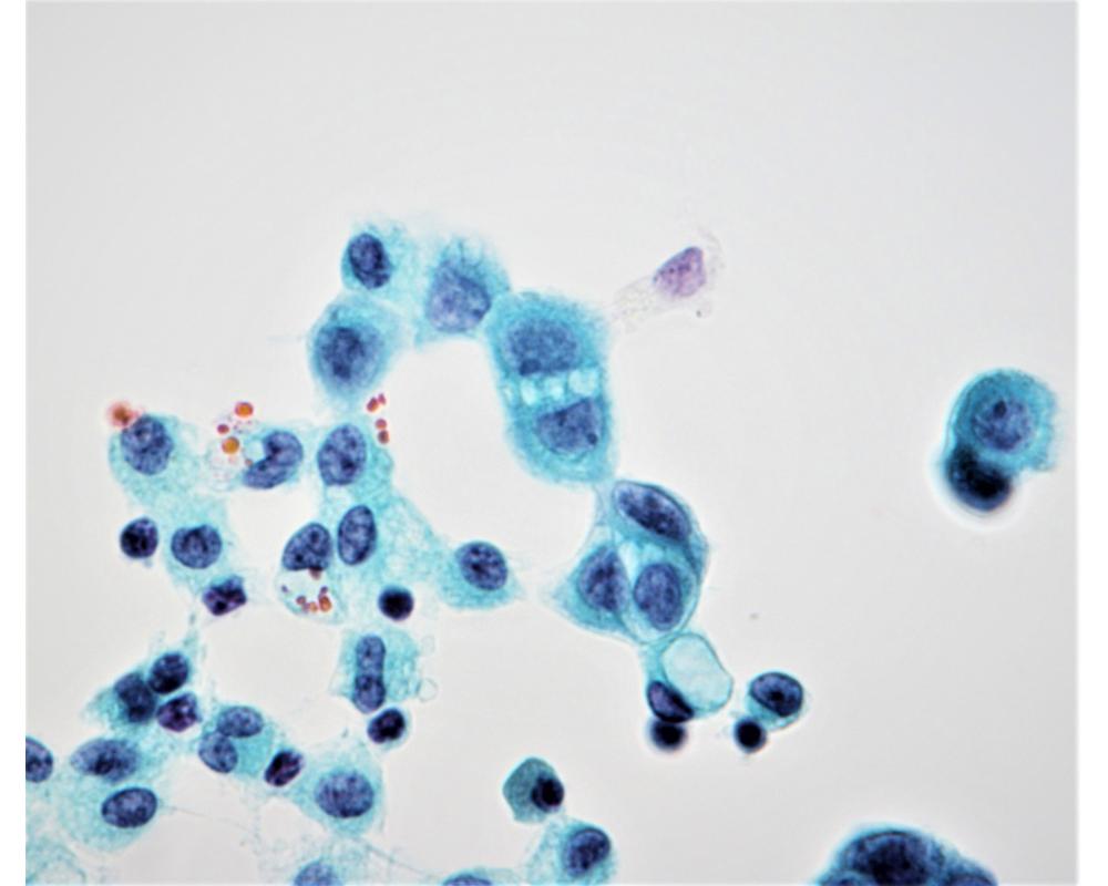
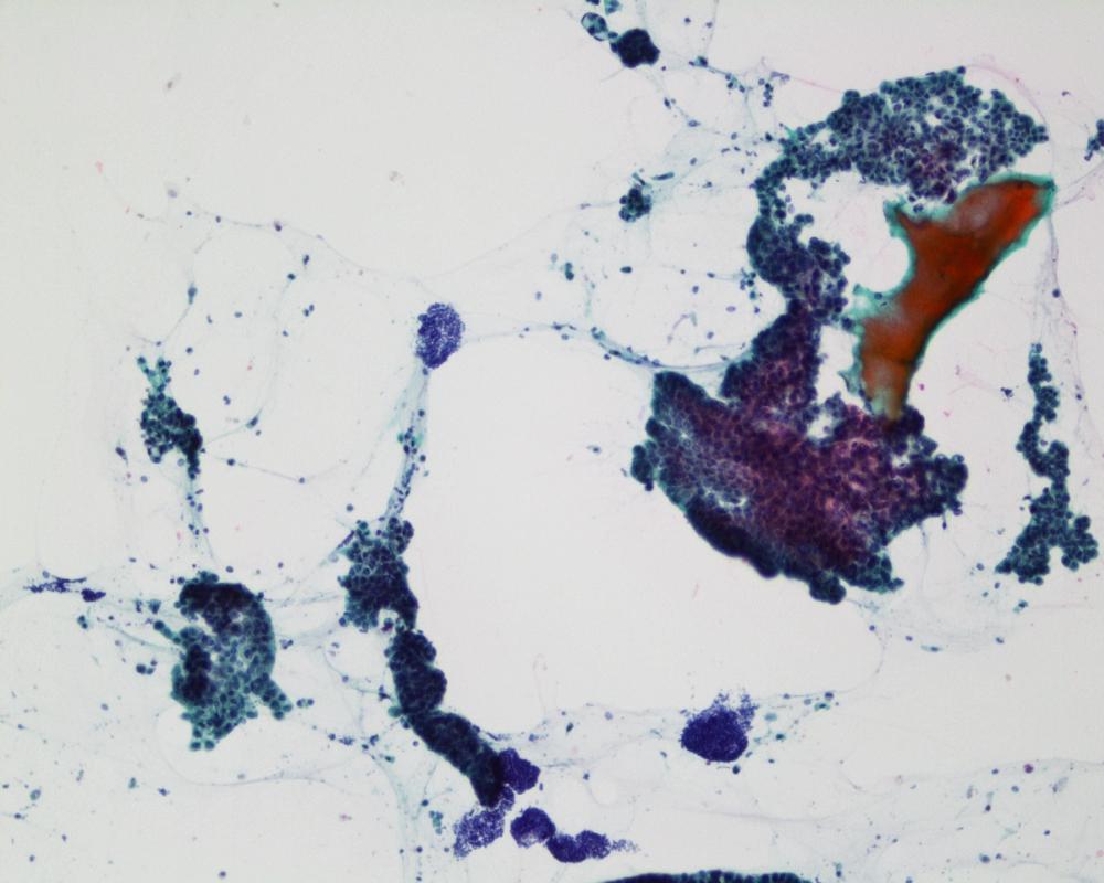
第38回日本臨床細胞学会九州連合会学会(熊本)スライドカンファレンス症例4
種別:泌尿器
出題:石原 明 潤和会記念病院病理診断科
| 年齢 | 70代 | 性別 | 男性 |
|---|---|---|---|
| 採取部位 | 尿 | 採取方法 | 自然尿 |
| 検体処理法 | LBC法(サイトリッチレッド、BD SurePath) |
臨床所見
既往歴:高血圧、心房細動、左鼠径ヘルニア手術。
現病歴:10ヶ月前 肉眼的血尿(主訴)、4ヶ月前 近医受診し、PSA値24.5、膀胱鏡にて前立腺部尿道の乳頭状
腫瘍指摘、当院紹介受診。
画像診断では左外鼠径・内外腸骨・総腸骨各リンパ節腫大。
臨床診断:前立腺癌・転移あり、尿道部尿路上皮癌。
| 正解 | 4. 前立腺導管型腺癌 |
|---|
▼選択肢及び投票結果
| 1.扁平上皮癌 | 0件 | (0.0%) | |
|---|---|---|---|
| 2. 尿路上皮癌 HGUC | 17件 | (16.3%) | |
| 3. 神経内分泌癌 | 0件 | (0.0%) | |
| 4. 前立腺導管型腺癌 | 84件 | (80.8%) | |
| 5. 前立腺尿道ポリープ | 3件 | (2.9%) | |
| 投票総数 | 104件 | (100%) |
第38回日本臨床細胞学会九州連合会学会(熊本)スライドカンファレンス症例5
種別:体腔液
出題:和田 純平 大分県立病院臨床検査科病理部
| 年齢 | 50代 | 性別 | 女性 |
|---|---|---|---|
| 採取部位 | 胸水 | 採取方法 | 穿刺 |
| 検体処理法 |
臨床所見
既往歴:10年以上前に、腹部腫瘍の手術歴がある。
現病歴:X-10年に、胸水貯留の精査過程で腫瘍が認められ、現在まで化学療法を継続中である。直近の、胸水穿
刺吸引検体より作製された標本を提示する。
| 正解 | 5.高分化乳頭状中皮腫 |
|---|
▼選択肢及び投票結果
| 1.反応性中皮過形成 | 25件 | (24.0%) | |
|---|---|---|---|
| 2.腺癌 | 18件 | (17.3%) | |
| 3.扁平上皮癌 | 0件 | (0.0%) | |
| 4.上皮型悪性中皮腫 | 30件 | (28.8%) | |
| 5.高分化乳頭状中皮腫 | 31件 | (29.8%) | |
| 投票総数 | 104件 | (100%) |





































