第39回日本臨床細胞学会九州連合会学会(鹿児島)スライドカンファレンス
投票受付期間:2024/05/21~2024/07/12
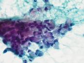
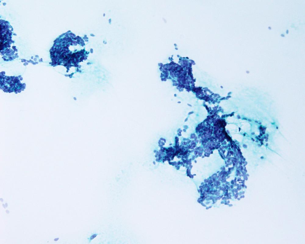
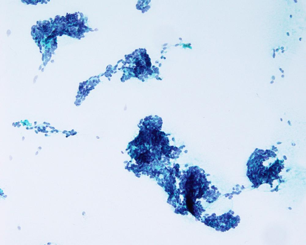
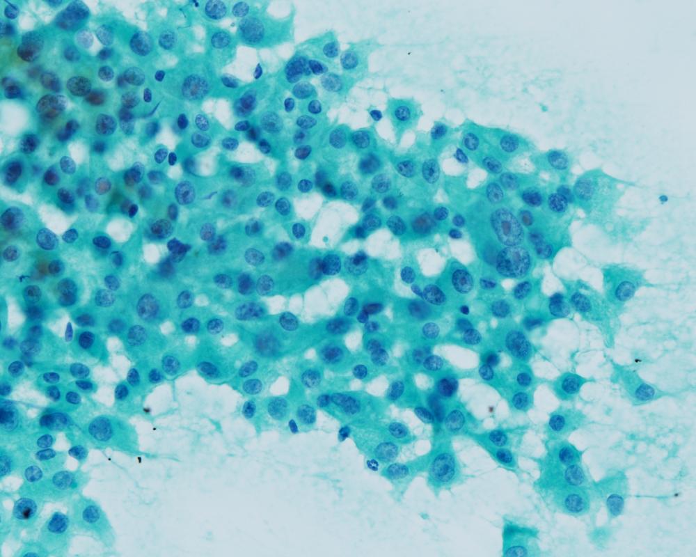
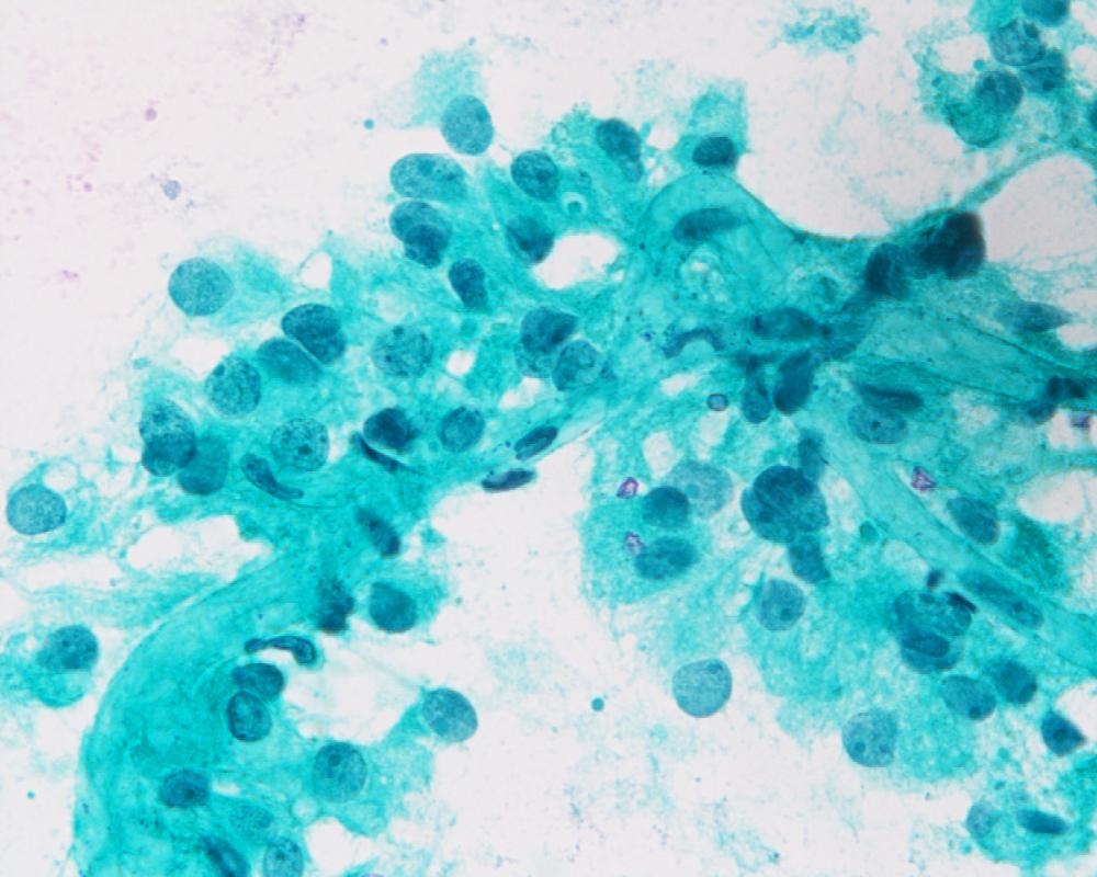
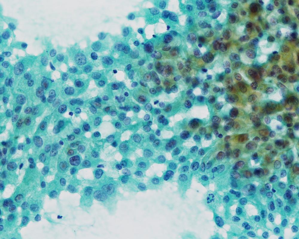
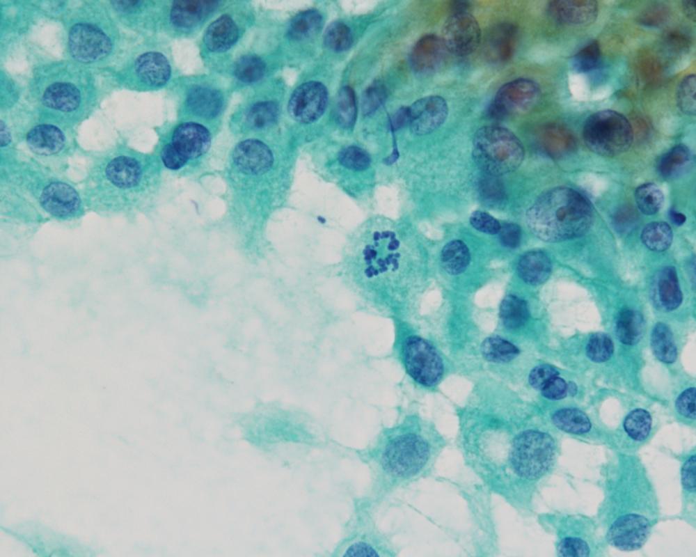
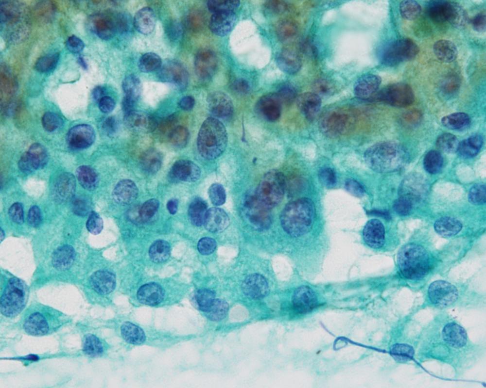
第39回日本臨床細胞学会九州連合会学会(鹿児島)スライドカンファレンス症例1
種別:婦人科
出題:安里 嗣晴 熊本赤十字病院病理診断科
| 年齢 | 80歳 | 性別 | 女性 |
|---|---|---|---|
| 採取部位 | 膣壁 | 採取方法 | 擦過 |
| 検体処理法 | 液状化細胞診(surepath), パパニコロウ染色 |
臨床所見
既往歴:3年前に左尿管の低異型度乳頭状尿路上皮癌で左腎尿管全摘
現病歴:尿管癌フォローのMRIで子宮腫瘍疑われ当院紹介受診した。子宮内膜擦過細胞診、子宮頸部生検では明らかな異常なし。易出血性の膣腫瘤が確認され擦過細胞診を施行された。
| 正解 | 4.尿路上皮癌 |
|---|
▼選択肢及び投票結果
| 1.軽度異形成(LSIL) | 0件 | (0.0%) | |
|---|---|---|---|
| 2.高度異形成(HSIL) | 1件 | (0.9%) | |
| 3.扁平上皮癌 | 8件 | (7.5%) | |
| 4.尿路上皮癌 | 90件 | (84.9%) | |
| 5.未熟化生 | 7件 | (6.6%) | |
| 投票総数 | 106件 | (100%) |
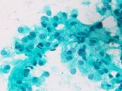
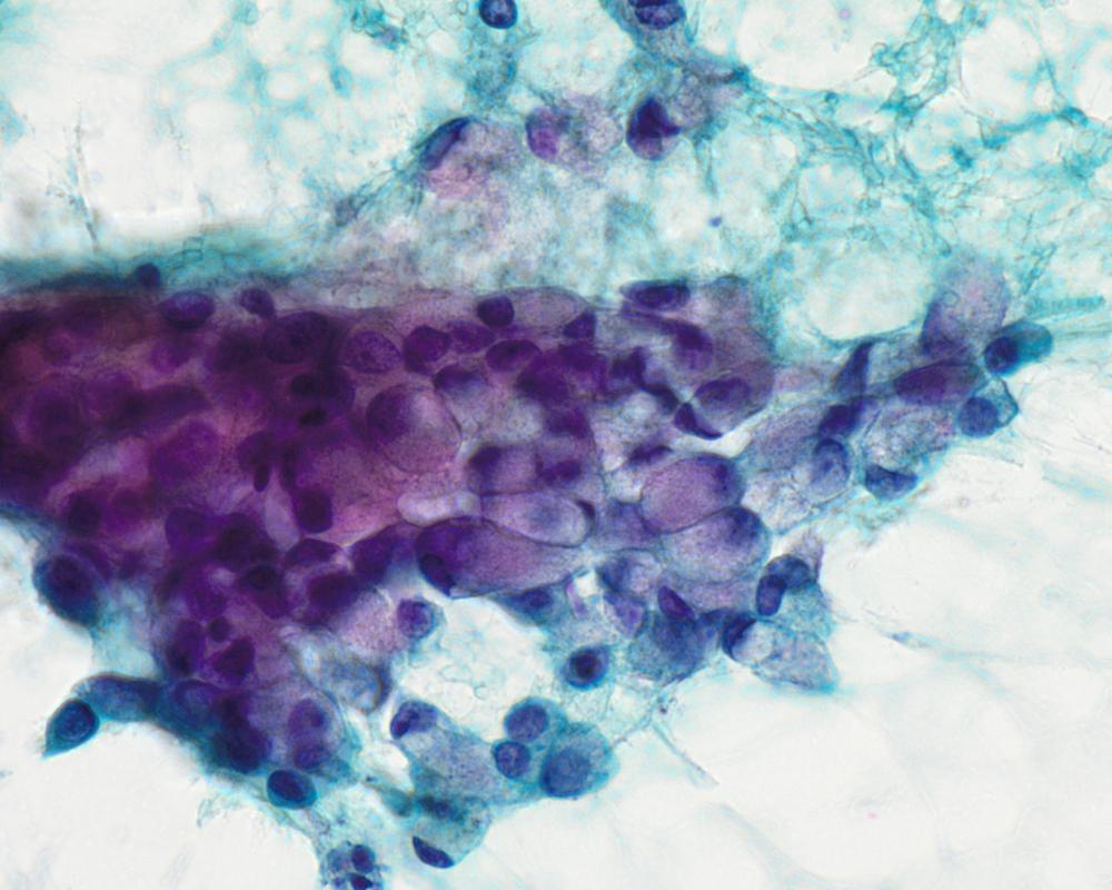
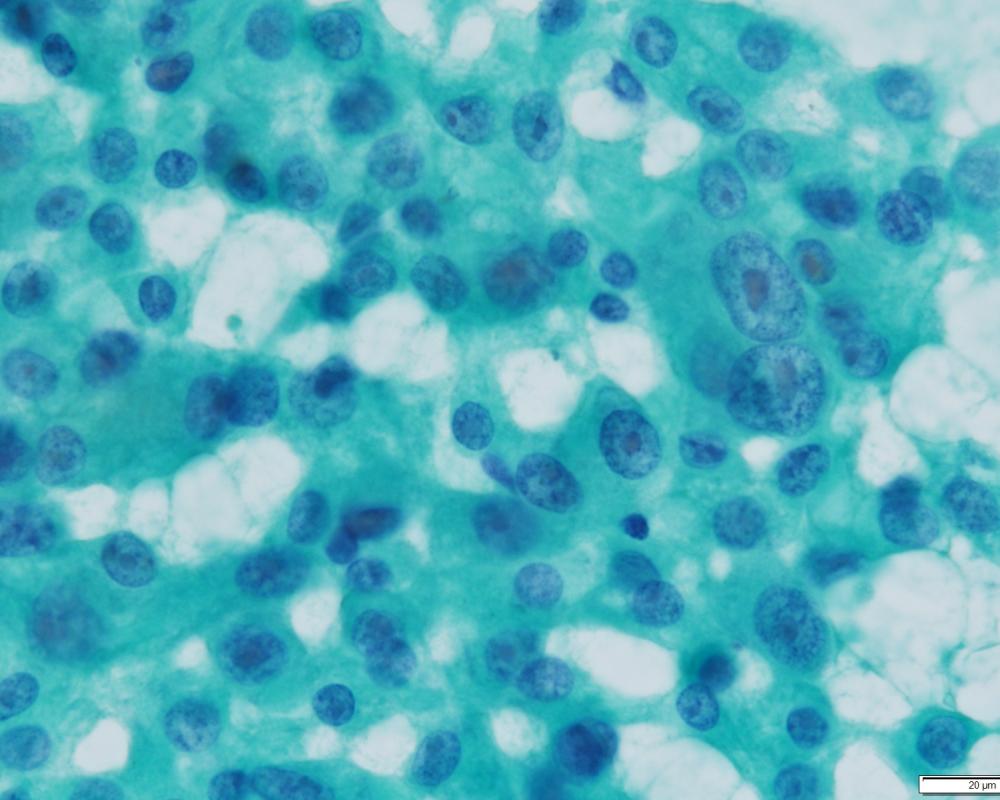
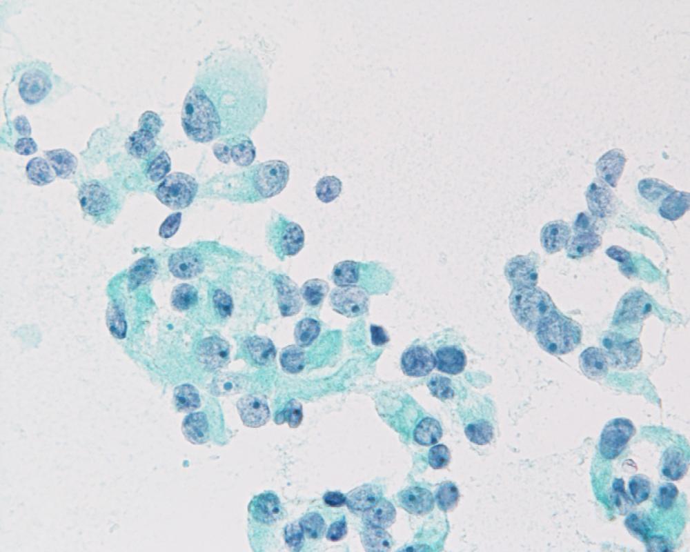
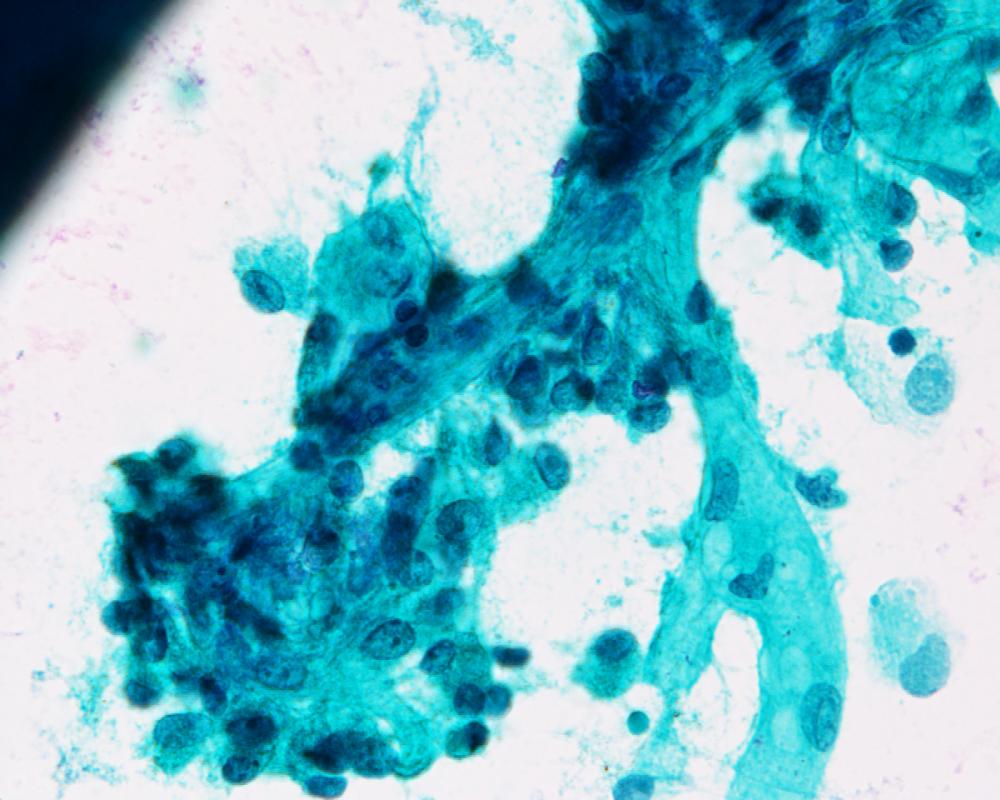
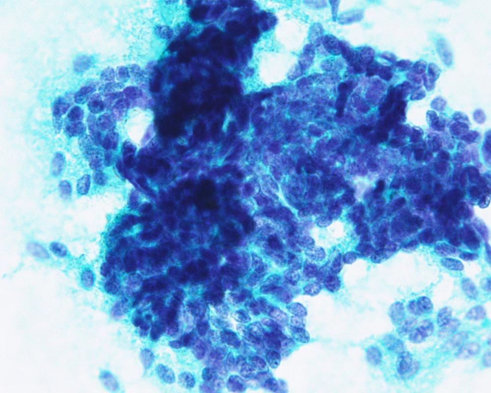
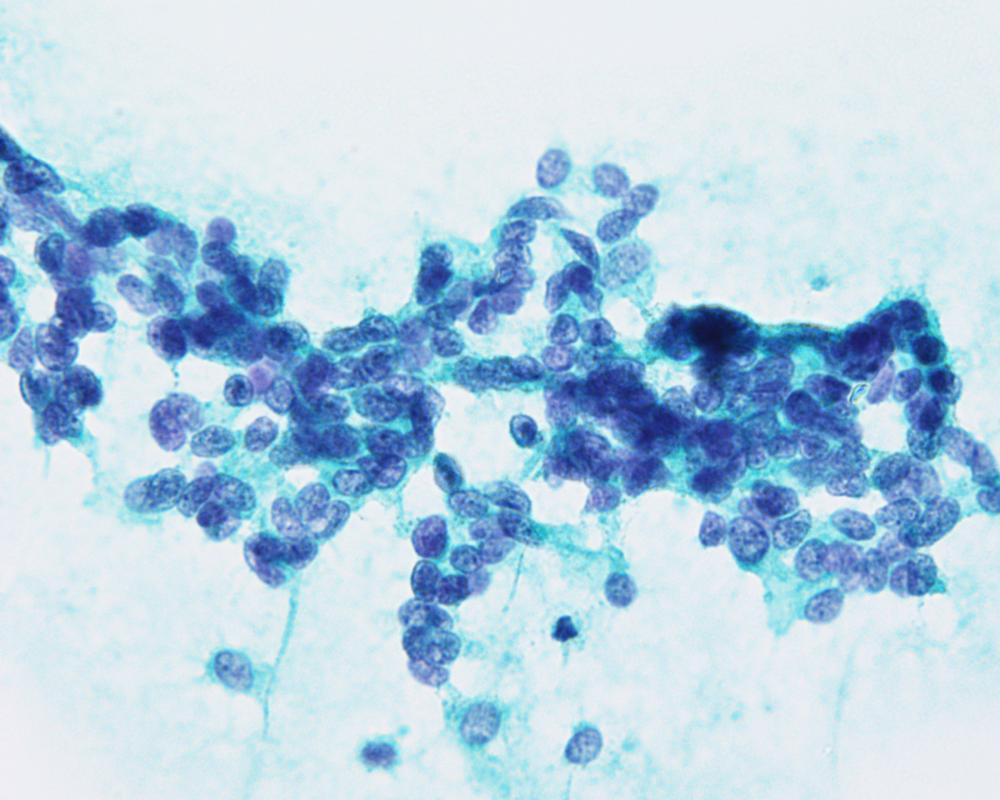
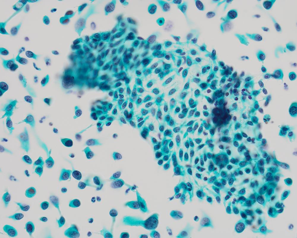
第39回日本臨床細胞学会九州連合会学会(鹿児島)スライドカンファレンス症例2
種別:呼吸器
出題:松岡 優毅 長崎大学病院病理診断科・病理部
| 年齢 | 60代 | 性別 | 男性 |
|---|---|---|---|
| 採取部位 | 気管支 | 採取方法 | 擦過 |
| 検体処理法 | 直接塗抹,Papanicolaou 染色 |
臨床所見
既往歴:B型肝炎,肝硬変,肝臓細胞癌術後(20年前)
家族歴:特記無し
喫煙歴:あり(18歳から45歳まで 20本/日)
現病歴:健診の胸部X線写真にて右下肺野に不整形結節影が指摘された.CEA高値(66.6ng/mL)も認められ,精査加療目的に当院紹介となった.
| 正解 | 3.肺腺癌 |
|---|
▼選択肢及び投票結果
| 1.肝細胞癌転移・再発 | 3件 | (2.8%) | |
|---|---|---|---|
| 2.粘表皮癌 | 52件 | (49.1%) | |
| 3.肺腺癌 | 13件 | (12.3%) | |
| 4.杯細胞過形成 | 5件 | (4.7%) | |
| 5.浸潤性粘液性腺癌 | 33件 | (31.1%) | |
| 投票総数 | 106件 | (100%) |
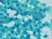
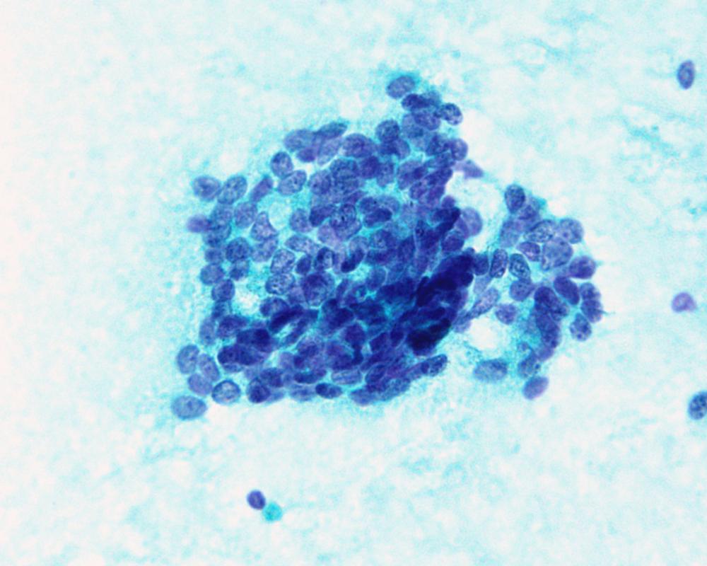
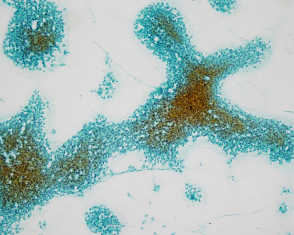
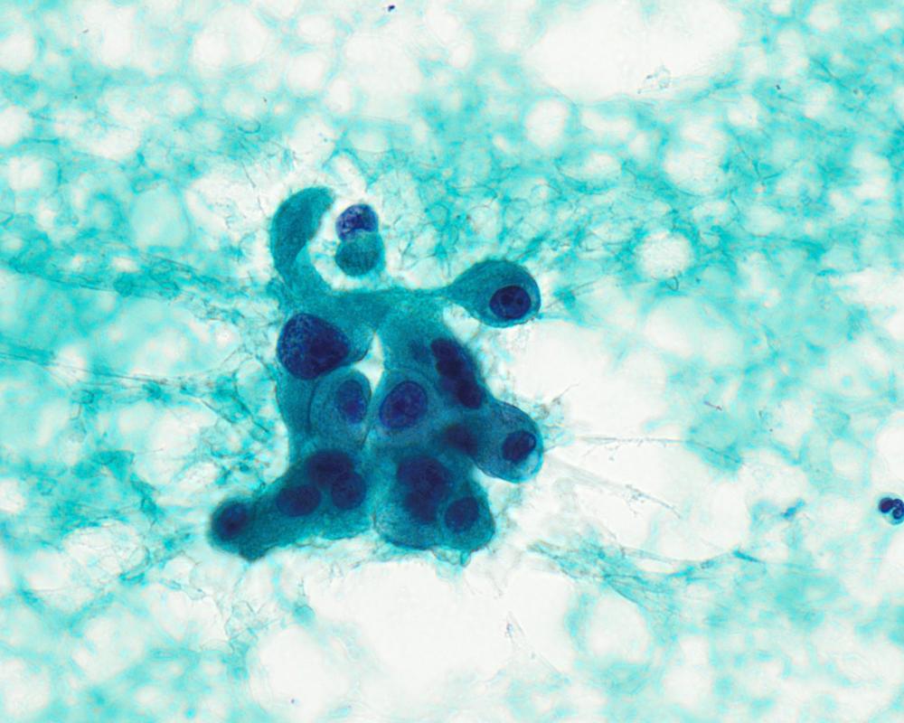
第39回日本臨床細胞学会九州連合会学会(鹿児島)スライドカンファレンス症例3
種別:消化器・口腔
出題:谷川 雅彦 久留米大学医学部病理学講座
| 年齢 | 70代 | 性別 | 女性 |
|---|---|---|---|
| 採取部位 | 膵頭部 | 採取方法 | EUS-FNA |
| 検体処理法 | 従来法とLBC法の併用 |
臨床所見
[既往歴]虫垂炎
[現病歴]胸部X線異常に対する精査中に、PETで膵頭部腫瘤に集積がみられた。造影CT検査では、約2cmの腫瘍性病変を認めた。精査目的にEUS-FNAが行われた。
| 正解 | 4.充実性偽乳頭状腫瘍 |
|---|
▼選択肢及び投票結果
| 1.膵腺癌 | 9件 | (8.5%) | |
|---|---|---|---|
| 2.腺房細胞癌 | 30件 | (28.3%) | |
| 3.神経内分泌腫瘍 | 18件 | (17.0%) | |
| 4.充実性偽乳頭状腫瘍 | 44件 | (41.5%) | |
| 5.膵管内乳頭状粘液性腫瘍 | 5件 | (4.7%) | |
| 投票総数 | 106件 | (100%) |
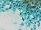
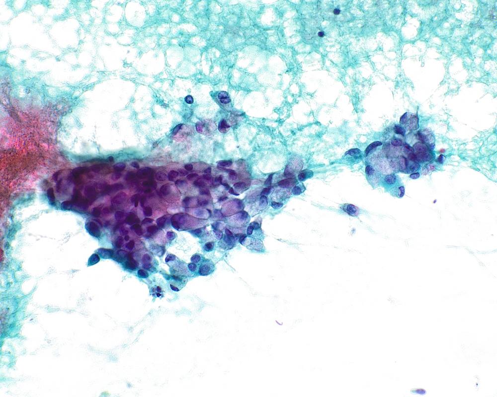
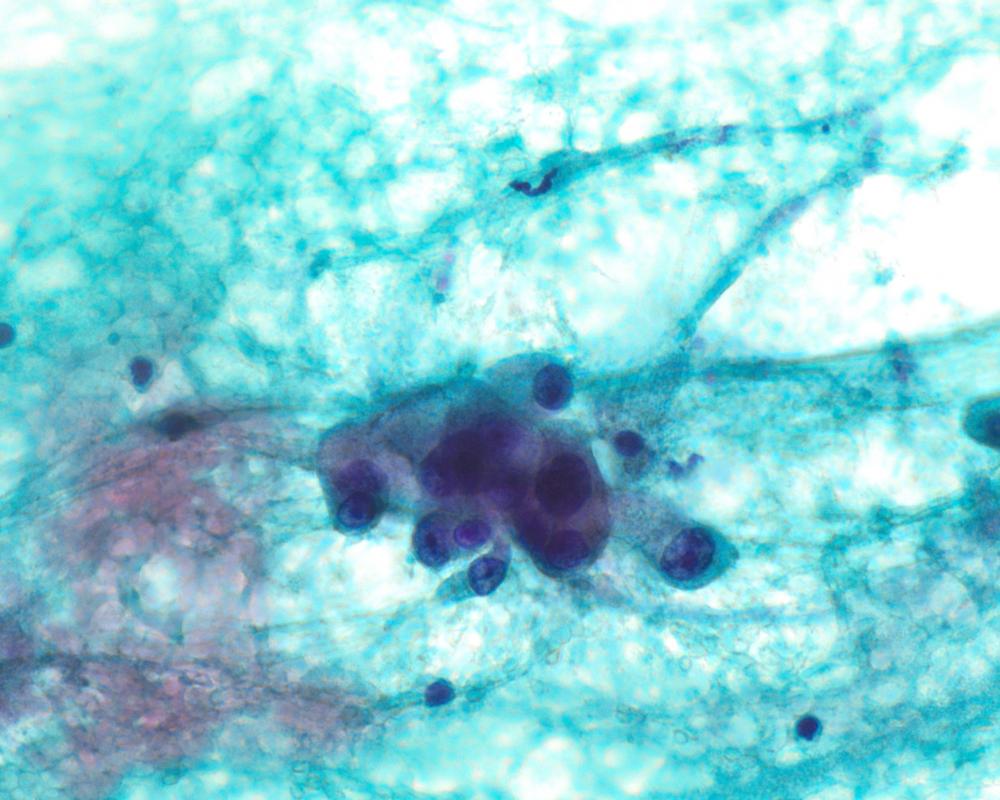
第39回日本臨床細胞学会九州連合会学会(鹿児島)スライドカンファレンス症例4
種別:甲状腺
出題:丸田 淳子 野口病院病理診断科
| 年齢 | 70代 | 性別 | 女性 |
|---|---|---|---|
| 採取部位 | 甲状腺 | 採取方法 | 穿刺吸引 |
| 検体処理法 | 合わせ法,Papanicolaou染色 |
臨床所見
既往歴
リンパ腫(びまん性大細胞型B細胞リンパ腫)
化学療法にて寛解
現病歴
前医のPET/CTで甲状腺左葉に集積があり,頸部超音波検査にて2つの結節を描出。
両結節の細胞診は「検体不適正」、悪性が否定できず精査目的のため当院紹介。
受診時に穿刺吸引細胞診が施行された。
| 正解 | 2.髄様癌 |
|---|
▼選択肢及び投票結果
| 1.乳頭癌 | 16件 | (15.1%) | |
|---|---|---|---|
| 2.髄様癌 | 37件 | (34.9%) | |
| 3.低分化癌 | 23件 | (21.7%) | |
| 4.副甲状腺腫瘍 | 7件 | (6.6%) | |
| 5.甲状腺内胸腺癌 | 23件 | (21.7%) | |
| 投票総数 | 106件 | (100%) |
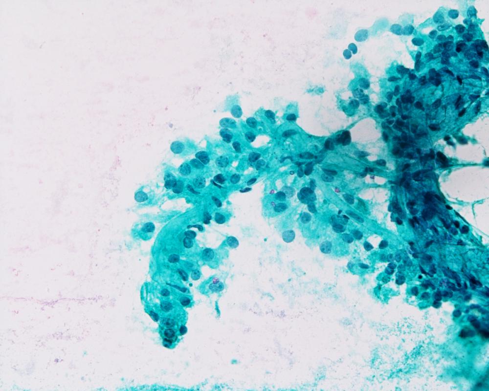
第39回日本臨床細胞学会九州連合会学会(鹿児島)スライドカンファレンス症例5
種別:消化器・口腔
出題:前川 和也 宮崎県立宮崎病院病理診断科
| 年齢 | 79歳 | 性別 | 男性 |
|---|---|---|---|
| 採取部位 | 左顎下腺 | 採取方法 | 穿刺吸引 |
| 検体処理法 | スメア,LBC.Papanicolaou染色、Giemsa染色 |
臨床所見
既往歴 :高血圧、痔核、鼠径ヘルニア、帯状疱疹
現病歴 :1ヶ月前から顎下部の腫瘤を自覚するようになり、前医受診。CTで左顎下腺内及び頚部に2.0x1.5cm大の不均一な造影効果を示す腫瘤が認められ、左顎下腺癌が疑われた。左顎下腺腫瘍から穿刺吸引細胞診が施行された。
| 正解 | 3.唾液腺導管癌 |
|---|
▼選択肢及び投票結果
| 1.分泌癌 | 12件 | (11.3%) | |
|---|---|---|---|
| 2.腺房細胞癌 | 22件 | (20.8%) | |
| 3.唾液腺導管癌 | 33件 | (31.1%) | |
| 4.高悪性度粘表皮癌 | 7件 | (6.6%) | |
| 5.オンコサイトーマ | 32件 | (30.2%) | |
| 投票総数 | 106件 | (100%) |




































