第31回日本臨床細胞学会九州連合会学会スライドカンファレンス
投票受付期間:2015/06/09~2015/07/26
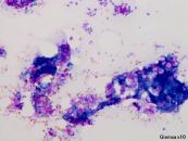
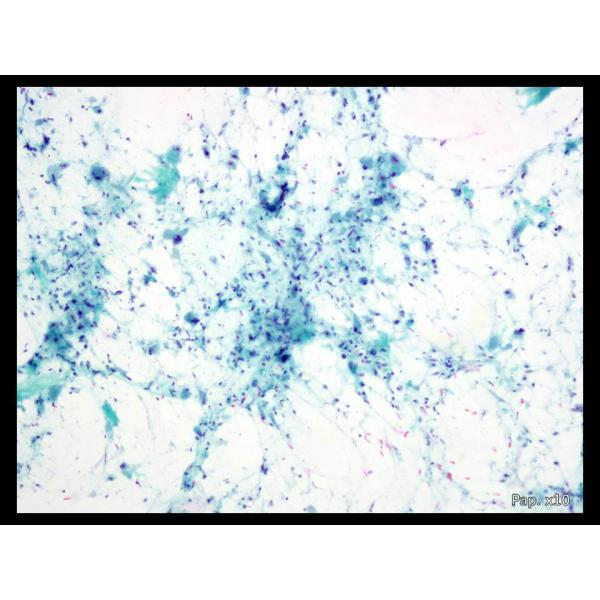
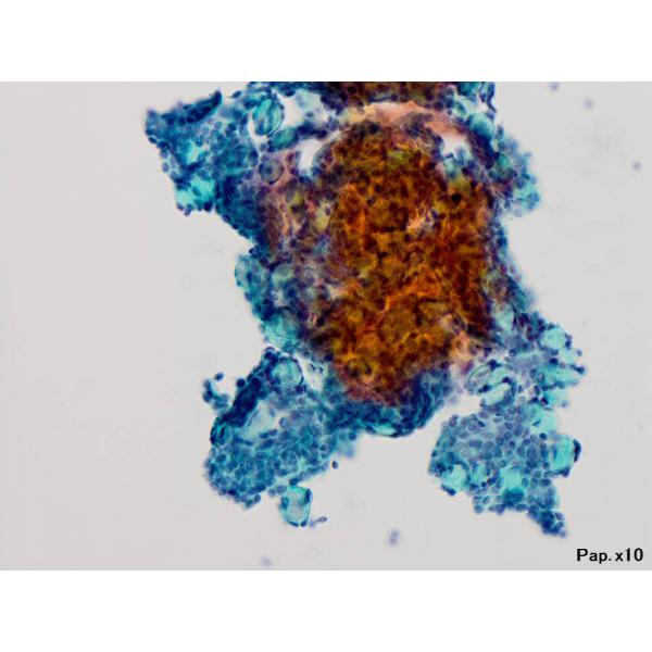
第31回日本臨床細胞学会九州連合会学会スライドカンファレンス症例 1
種別:婦人科
出題:くまもと森都総合病院 病理診断科 有馬 信之 先生
| 年齢 | 50歳代後半 | 性別 | 女性 |
|---|---|---|---|
| 採取部位 | 子宮体部内膜 | 採取方法 | 擦過細胞診 |
| 検体処理法 |
臨床所見
既往歴:
3年前に左乳癌に対して乳房部分切除術(T1N0M0 stage 1)。術後はタモキシフェンを服用中。
現病歴:
2経妊2経産。10年前に閉経。不正性器出血が出現し、産婦人科を受診。超音波検査で子宮内膜
の肥厚を指摘され、子宮体部内膜擦過細胞診が行われた。
| 正解 | 4.明細胞腺癌 |
|---|
▼選択肢及び投票結果
| 1.粘液性腺癌 | 2件 | (1.4%) | |
|---|---|---|---|
| 2.類内膜腺癌 | 6件 | (4.3%) | |
| 3.漿液性腺癌 | 13件 | (9.4%) | |
| 4.明細胞腺癌 | 115件 | (83.3%) | |
| 5.乳癌の転移 | 2件 | (1.4%) | |
| 投票総数 | 138件 | (100%) |
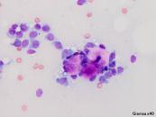
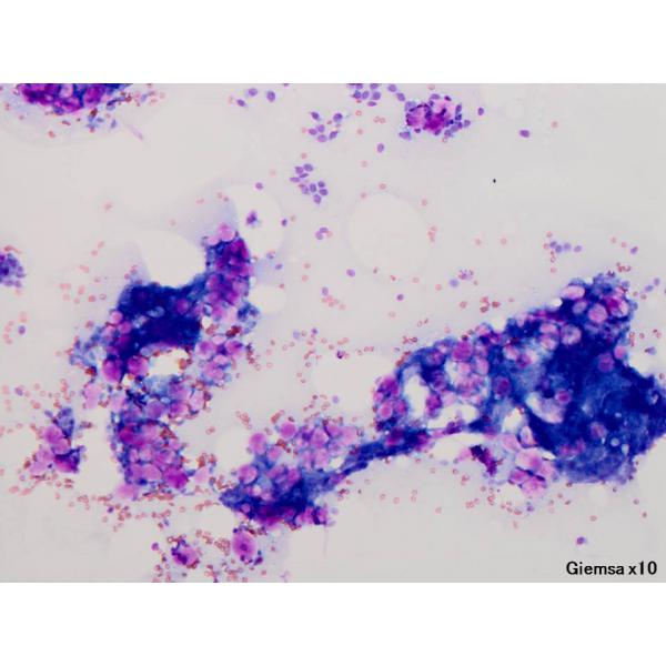
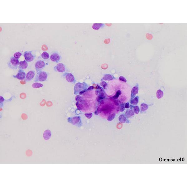
第31回日本臨床細胞学会九州連合会学会スライドカンファレンス症例 2
種別:呼吸器
出題:長崎大学病院 病理診断科 木下 直江 先生
| 年齢 | 70歳代 | 性別 | 男性 |
|---|---|---|---|
| 採取部位 | 肺 | 採取方法 | 肺胞洗浄液 |
| 検体処理法 |
臨床所見
既往歴:
造船業に従事し40年以上のアスベスト暴露歴あり。
20歳から40歳まで20本/日の喫煙歴あり。
5ヶ月前より労作時呼吸困難と湿性咳嗽あり。1ヶ月前にX線検査で右胸水貯留あり。CT検査で右中葉の結節影あり。
現病歴:
前医で上記所見を認め精査目的で当院内科へ紹介入院となった。
| 正解 | 3.上皮型中皮腫 |
|---|
▼選択肢及び投票結果
| 1.腺癌 | 42件 | (30.4%) | |
|---|---|---|---|
| 2.大細胞癌 | 8件 | (5.8%) | |
| 3.上皮型中皮腫 | 33件 | (23.9%) | |
| 4.反応性肺胞上皮 | 53件 | (38.4%) | |
| 5.悪性黒色腫 | 2件 | (1.4%) | |
| 投票総数 | 138件 | (100%) |
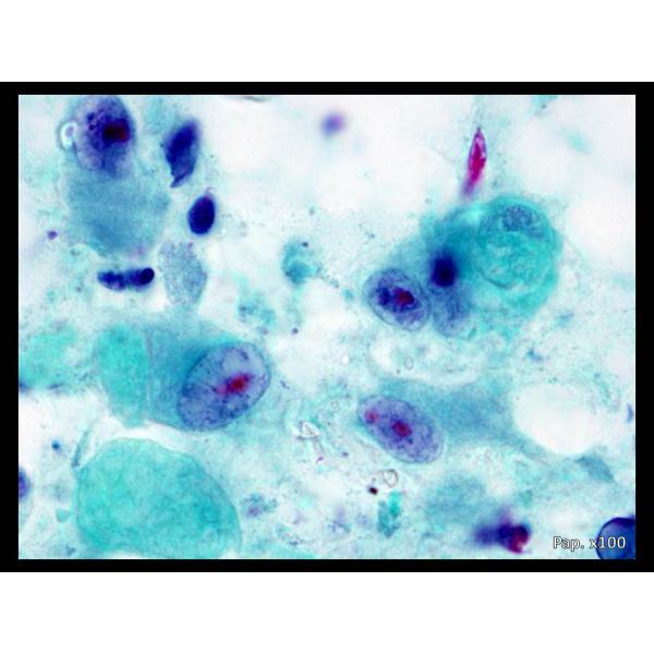
第31回日本臨床細胞学会九州連合会学会スライドカンファレンス症例 3
種別:泌尿器
出題:製鉄記念八幡病院 病理診断科 下釜 達朗 先生
| 年齢 | 60歳代 | 性別 | 男性 |
|---|---|---|---|
| 採取部位 | 尿 | 採取方法 | 自然尿 |
| 検体処理法 | LBC, SurePath |
臨床所見
既往歴:
アルコール依存症
現病歴:
アルコール依存症で精査中に左水腎症を指摘された。その際に、自然尿細胞診が提出された。
| 正解 | 2.低異型度乳頭状尿路上皮癌 |
|---|
▼選択肢及び投票結果
| 1.結石(反応性異型尿路上皮細胞) | 62件 | (44.9%) | |
|---|---|---|---|
| 2.低異型度乳頭状尿路上皮癌 | 51件 | (37.0%) | |
| 3.高異型度乳頭状尿路上皮癌 | 15件 | (10.9%) | |
| 4.腺癌 | 2件 | (1.4%) | |
| 5.扁平上皮癌 | 8件 | (5.8%) | |
| 投票総数 | 138件 | (100%) |
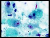
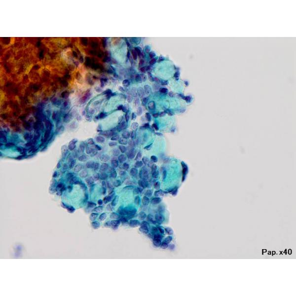
第31回日本臨床細胞学会九州連合会学会スライドカンファレンス症例 4
種別:乳腺
出題:県立宮崎病院 病理診断科 島尾 義也 先生
| 年齢 | 40歳代 | 性別 | 女性 |
|---|---|---|---|
| 採取部位 | 乳腺 | 採取方法 | 穿刺吸引 |
| 検体処理法 |
臨床所見
既往歴:
なし
現病歴:
検診にて、左乳腺外側下方に腫瘤を触知され、超音波診断にて境界明瞭粗造、後方エコーやや減弱する低エコー腫瘤を認めたため、当院外科を紹介受診された。
画像上、悪性を否定できず穿刺吸引細胞診を行った。
| 正解 | 4.Collagenous spherulosisを伴う乳管上皮増殖性病変 |
|---|
▼選択肢及び投票結果
| 1.腺様嚢胞癌 | 40件 | (29.0%) | |
|---|---|---|---|
| 2.非浸潤性乳管癌 | 2件 | (1.4%) | |
| 3.乳頭腺管癌 | 1件 | (0.7%) | |
| 4.Collagenous spherulosisを伴う乳管上皮増殖性病変 | 85件 | (61.6%) | |
| 5.基質産生癌 | 10件 | (7.2%) | |
| 投票総数 | 138件 | (100%) |
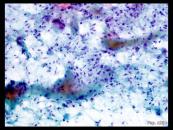
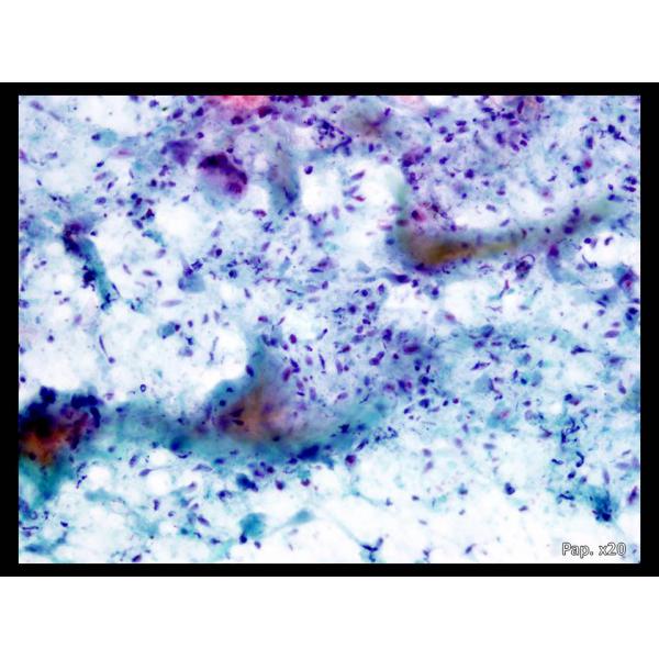
第31回日本臨床細胞学会九州連合会学会スライドカンファレンス症例 5
種別:その他
出題:大分大学医学部 診断病理学講座 西田 陽登 先生
| 年齢 | 70代 | 性別 | 男性 |
|---|---|---|---|
| 採取部位 | 背部の軟部組織 | 採取方法 | 捺印細胞診 |
| 検体処理法 |
臨床所見
既往歴:
特記事項なし
現病歴:
約2週間前,背部腫瘤に気づき,気になるため腫瘍切除術が施行された。
| 正解 | 1.増殖性筋膜炎 |
|---|
▼選択肢及び投票結果
| 1.増殖性筋膜炎 | 38件 | (27.5%) | |
|---|---|---|---|
| 2.神経節神経腫 | 6件 | (4.3%) | |
| 3.平滑筋肉腫 | 5件 | (3.6%) | |
| 4.脂肪肉腫 | 12件 | (8.7%) | |
| 5.悪性線維性組織球腫 | 77件 | (55.8%) | |
| 投票総数 | 138件 | (100%) |

























