第40回日本臨床細胞学会九州連合会学会(大分)スライドカンファレンス
投票受付期間:2025/05/27~2025/07/25
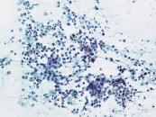
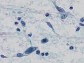
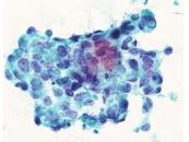
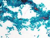
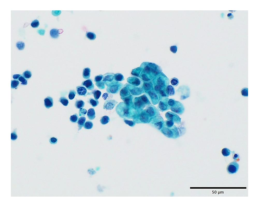
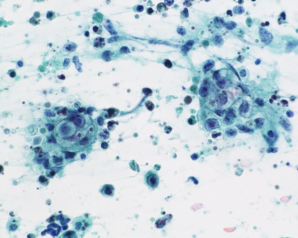
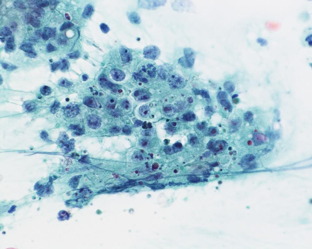
第40回日本臨床細胞学会九州連合会学会(大分)スライドカンファレンス症例1
種別:婦人科
出題:橋口 真理子 佐賀大学医学部病因病態科学講座
| 年齢 | 10代 | 性別 | 女性 |
|---|---|---|---|
| 採取部位 | 右卵巣腫瘍 | 採取方法 | 捺印細胞診 |
| 検体処理法 |
臨床所見
既往歴 特になし
妊娠出産歴 未経妊未経産
現病歴 手術の2か月前頃から腹部膨満感を自覚し近医受診。腹部エコーで骨盤内に17㎝大の充実性腫瘤を指摘され当院受診。右側卵巣腫瘍の診断で手術が施行された。右付属器切除術が行われ、術中迅速に提出された。右卵巣は20㎝程度に腫大し、割面は黄白色調で充実性腫瘤であった。捺印細胞診を採取した。
術前の採血では、hCG329mIU/ml (1.0 以下)、AFP3.3ng/ml(0~7.0)、CA125 92 U/ml (0-35)、LDH 2772U/L (124-222)であった。
| 正解 | 2.Dysgerminoma |
|---|
▼選択肢及び投票結果
| 1.Yolk sac tumor | 17件 | (16.2%) | |
|---|---|---|---|
| 2.Dysgerminoma | 77件 | (73.3%) | |
| 3.Granulosa cell tumor | 2件 | (1.9%) | |
| 4.Clear cell carcinoma | 7件 | (6.7%) | |
| 5.Neuroendocrine carcinoma | 2件 | (1.9%) | |
| 投票総数 | 105件 | (100%) |
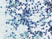
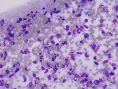
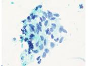
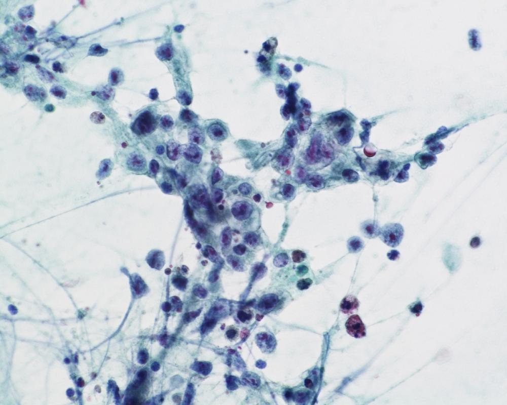
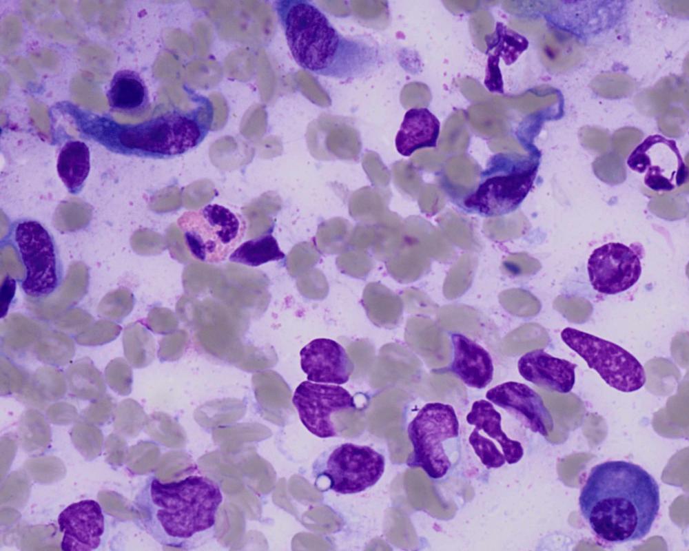
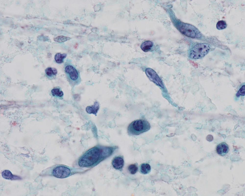
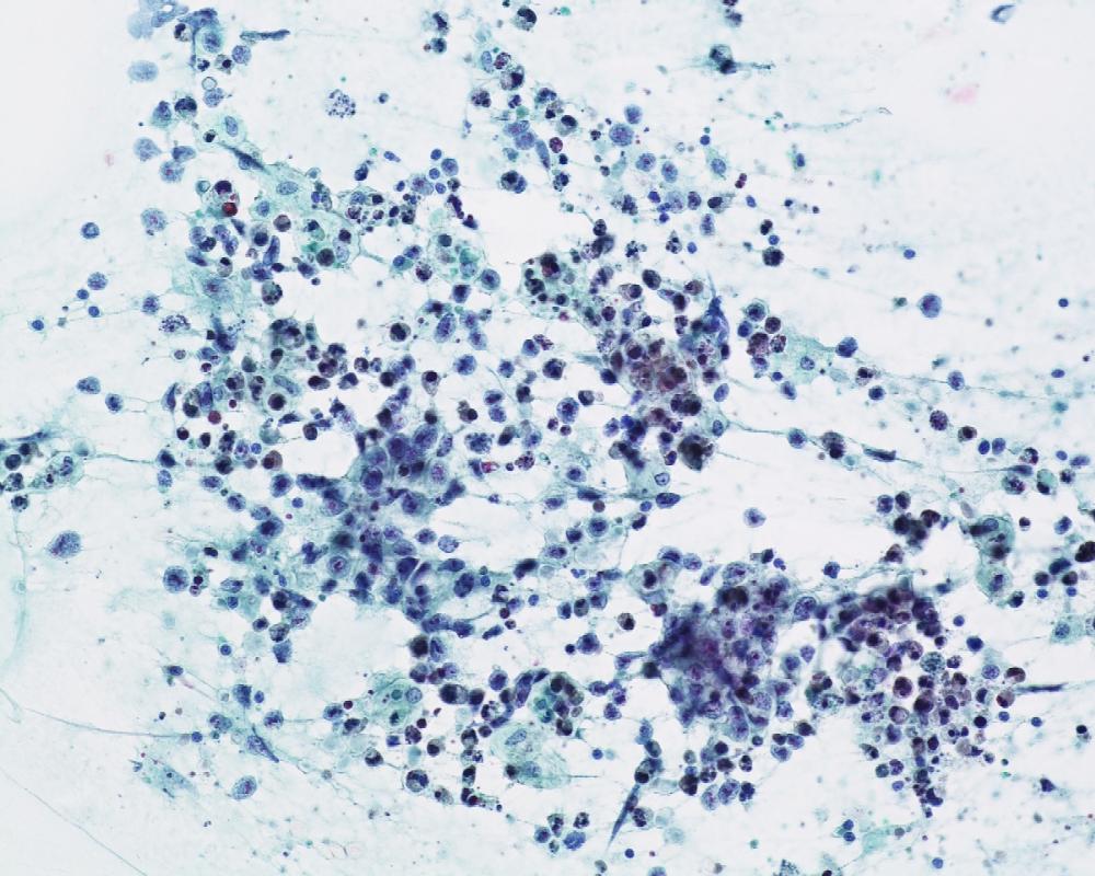
第40回日本臨床細胞学会九州連合会学会(大分)スライドカンファレンス症例2
種別:呼吸器
出題:今村 彰吾 独立行政法人国立病院機構九州がんセンター
| 年齢 | 50歳代 | 性別 | 女性 |
|---|---|---|---|
| 採取部位 | 気管支 | 採取方法 | 気管支鏡下生検捺印 |
| 検体処理法 |
臨床所見
既往歴 右頬粘膜癌(7年前)および肺転移(8年前)、歯肉癌(2か月前)
現病歴 右頬粘膜癌に対してニボルマブ投与中、PET-CTにて左気管支内に異常集積を指摘され、精査目的で当科紹介受診となった。
| 正解 | 5.間葉系腫瘍 |
|---|
▼選択肢及び投票結果
| 1.扁平上皮化生細胞 | 4件 | (3.8%) | |
|---|---|---|---|
| 2.扁平上皮癌 | 6件 | (5.7%) | |
| 3.腺癌 | 0件 | (0.0%) | |
| 4.非小細胞癌(肉腫様癌) | 35件 | (33.3%) | |
| 5.間葉系腫瘍 | 60件 | (57.1%) | |
| 投票総数 | 105件 | (100%) |
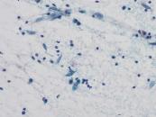
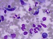
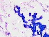
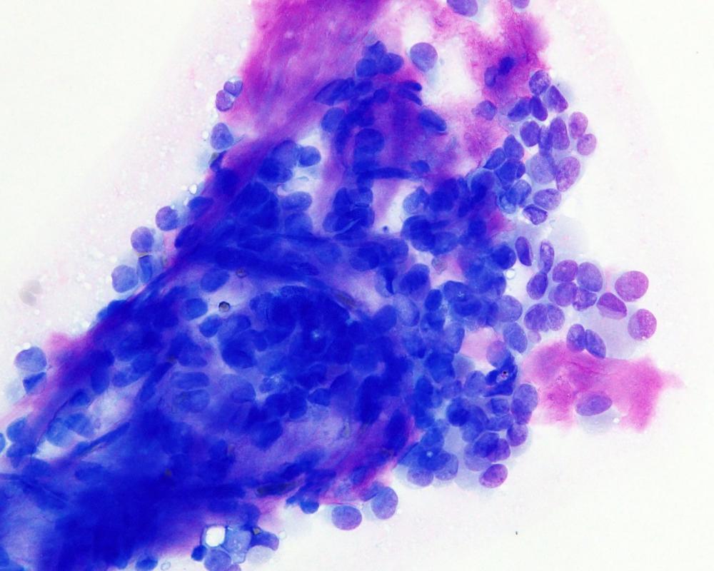
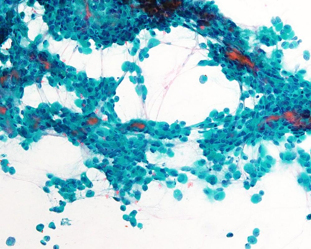
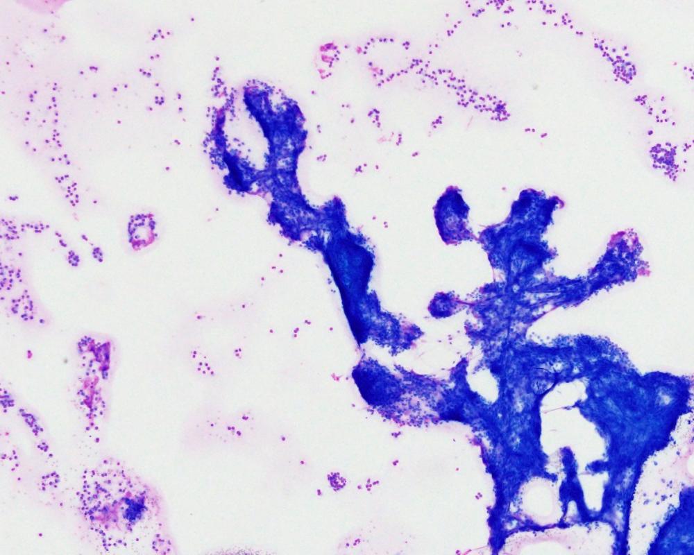
第40回日本臨床細胞学会九州連合会学会(大分)スライドカンファレンス症例3
種別:泌尿器
出題:橋向 圭介 熊本大学病院病理部
| 年齢 | 70代 | 性別 | 男性 |
|---|---|---|---|
| 採取部位 | 分腎尿 | 採取方法 | カテーテル |
| 検体処理法 | 2回遠心法(YM式液状検体固定液) |
臨床所見
既往歴:胸椎多発性骨髄腫治療中
現病歴:2021年より胸椎多発性骨髄腫の化学療法中であり、治験前スクリーニングの単純CT検査にて左尿管軟部影を指摘。同時期に腰痛、水腎症が出現し、精査目的のため分腎尿が提出された。
| 正解 | 5.形質細胞腫 |
|---|
▼選択肢及び投票結果
| 1.ウイルス感染細胞 | 21件 | (20.0%) | |
|---|---|---|---|
| 2.低異型度尿路上皮癌 | 8件 | (7.6%) | |
| 3.高異型度尿路上皮癌 | 30件 | (28.6%) | |
| 4.小細胞癌 | 3件 | (2.9%) | |
| 5.形質細胞腫 | 43件 | (41.0%) | |
| 投票総数 | 105件 | (100%) |
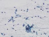
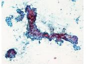
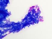
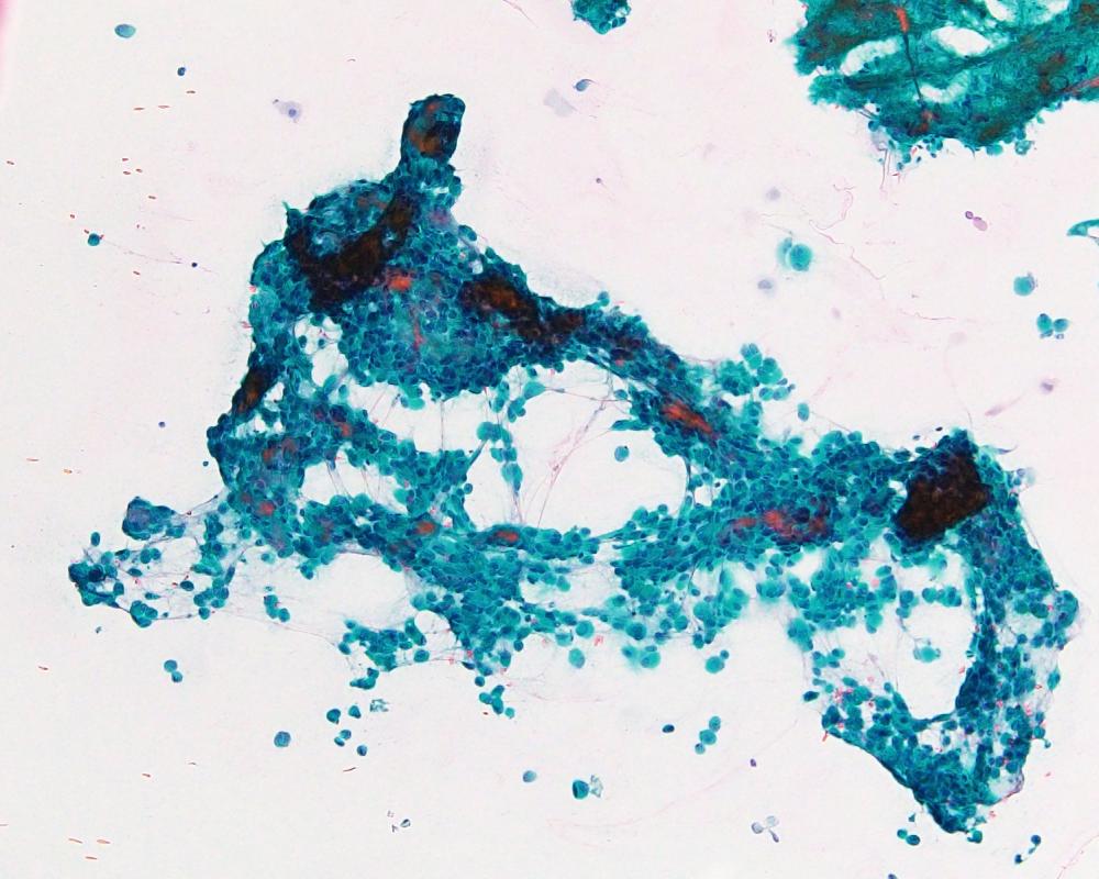
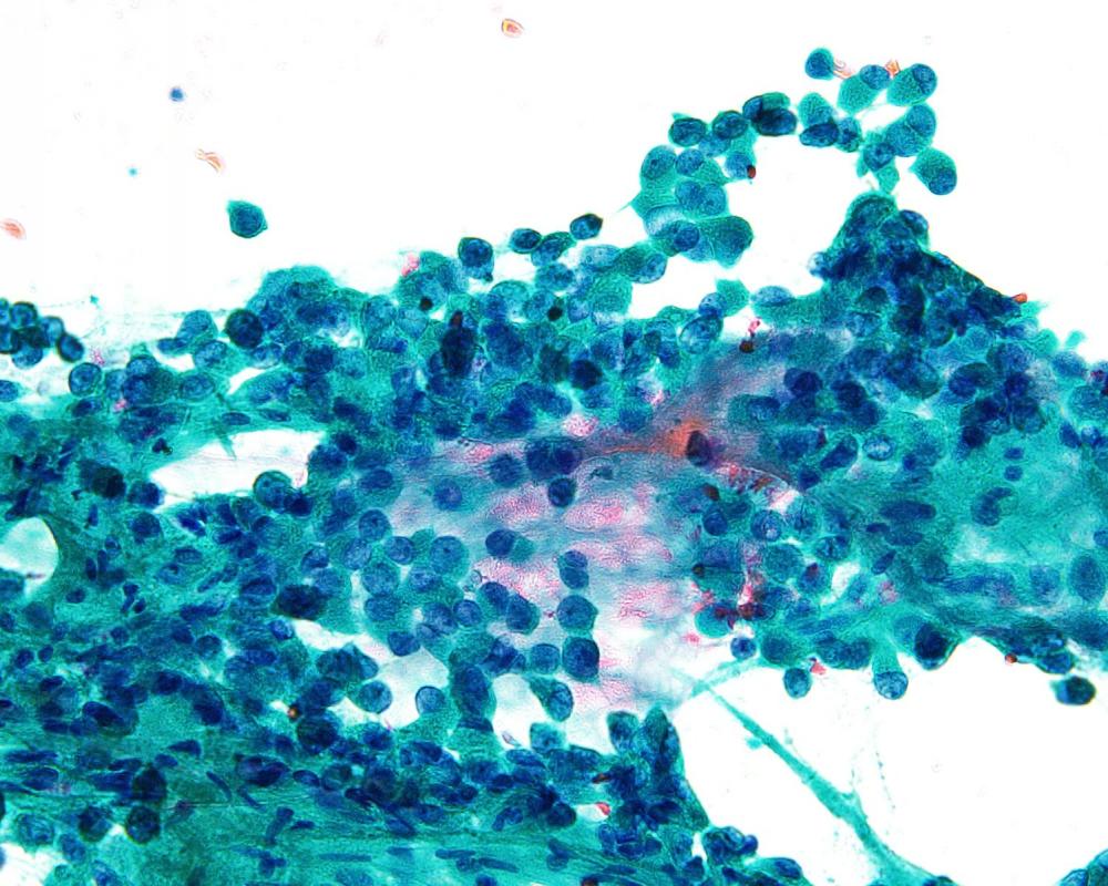
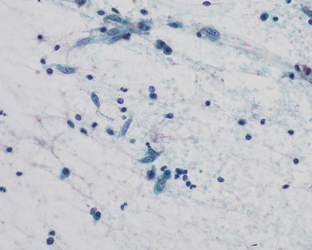
第40回日本臨床細胞学会九州連合会学会(大分)スライドカンファレンス症例4
種別:甲状腺
出題:松岡 優毅1、中島 正洋1,2 1長崎大学病院 病理診断科・病理部、2長崎大学原爆後障害医療研究所 腫瘍・診断病理学研究分野
| 年齢 | 80代 | 性別 | 女性 |
|---|---|---|---|
| 採取部位 | 甲状腺 | 採取方法 | 穿刺吸引細胞診 |
| 検体処理法 | ふきつけ |
臨床所見
既往歴・家族歴: なし
現病歴: 3か月前に7cm大の嚢胞性病変が指摘され穿刺吸引細胞診(Class III).増大、嗄声が確認され、再度穿刺吸引細胞診が施行された。なお、CT上では甲状腺から外方向性発育を示していた。採血データはThyroglobulinが84.3ng/mL(正常35.0以下)で、TSH、free T4、抗Tg抗体、抗TPO抗体は正常範囲内であった。
| 正解 | 4.Teratocarcinosarcoma |
|---|
▼選択肢及び投票結果
| 1.Adenomatous goiter | 10件 | (9.5%) | |
|---|---|---|---|
| 2.Papillary carcinoma | 27件 | (25.7%) | |
| 3.Intrathyroid thymic carcinoma | 48件 | (45.7%) | |
| 4.Teratocarcinosarcoma | 15件 | (14.3%) | |
| 5.Follicular neoplasm | 5件 | (4.8%) | |
| 投票総数 | 105件 | (100%) |
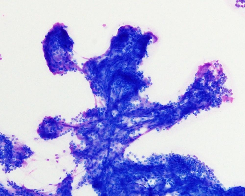
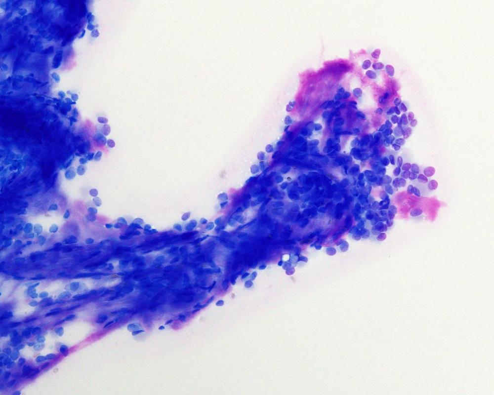
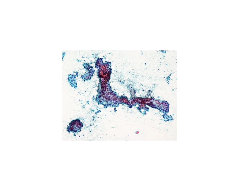
第40回日本臨床細胞学会九州連合会学会(大分)スライドカンファレンス症例5
種別:消化器・口腔
出題:中園 裕一、松尾 貴弘、後藤 優加 独立行政法人国立病院機構別府医療センター
| 年齢 | 40代 | 性別 | 女性 |
|---|---|---|---|
| 採取部位 | 膵 | 採取方法 | 穿刺吸引細胞診 |
| 検体処理法 | 従来法 |
臨床所見
既往歴:特記事項なし
現病歴:発熱、肝酵素上昇(伝染性単核球症疑い)の精査で施行された各種画像検査(腹部エコー、CT、MRI)にて膵頭部に10mm大の病変が描出された。精査のため、同部に対しEUS-FNAによる検体採取が施行された。
| 正解 | 4.Solid pseudopapillary neoplasm |
|---|
▼選択肢及び投票結果
| 1.Invasive ductal carcinoma | 2件 | (1.9%) | |
|---|---|---|---|
| 2.Acinar cell carcinoma | 10件 | (9.5%) | |
| 3.Neuroendocrine neoplasm | 8件 | (7.6%) | |
| 4.Solid pseudopapillary neoplasm | 73件 | (69.5%) | |
| 5.Intraductal tubulopapillary neoplasm | 12件 | (11.4%) | |
| 投票総数 | 105件 | (100%) |





































