第32回日本臨床細胞学会九州連合会学会病理細胞診断セミナー(スライドカンファレンス)
投票受付期間:2016/05/30~2016/07/22
第32回日本臨床細胞学会九州連合会学会病理細胞診断セミナー(スライドカンファレンス)症例 1
種別:婦人科
出題:宮崎大学医学部附属病院病理診断科 佐藤 勇一郎 先生
| 年齢 | 50歳代 | 性別 | 女性 |
|---|---|---|---|
| 採取部位 | 子宮内膜 | 採取方法 | サイトピック |
| 検体処理法 | LBC、シンプレップ法 |
臨床所見
既往歴:なし
妊娠歴:6経妊3経産
現病歴:1年前閉経。2か月前より少量の不整性器出血。
近医受診し、細胞診異常を認めたため、当院紹介受診。
超音波検査、MRIでは子宮筋腫以外は異常なし。
| 正解 | 4.漿液性腺癌 |
|---|
▼選択肢及び投票結果
| 1.異常なし | 1件 | (2.2%) | |
|---|---|---|---|
| 2.子宮内膜増殖症 | 11件 | (24.4%) | |
| 3.類内膜腺癌 | 20件 | (44.4%) | |
| 4.漿液性腺癌 | 12件 | (26.7%) | |
| 5.明細胞腺癌 | 1件 | (2.2%) | |
| 投票総数 | 45件 | (100%) |
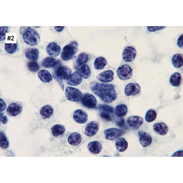
第32回日本臨床細胞学会九州連合会学会病理細胞診断セミナー(スライドカンファレンス)症例 2
種別:呼吸器
出題:鹿児島市立病院病理診断科 末吉 和宣 先生
| 年齢 | 83歳 | 性別 | 女性 |
|---|---|---|---|
| 採取部位 | 左肺下葉 | 採取方法 | 気管支擦過 |
| 検体処理法 |
臨床所見
3ヶ月前に右上腕骨の強い疼痛を訴え、2ヶ月前には腰背部痛を訴え、来院。
画像的に右上腕骨、第5腰椎の転移性骨腫瘍を疑い、また胸部CTにて左肺下葉(S8)を中心にして腫瘍陰影認めた。
標本は、同部位からの気管支擦過細胞標本である。
| 正解 | 2.浸潤性粘液癌 |
|---|
▼選択肢及び投票結果
| 1.杯細胞増生 | 5件 | (11.1%) | |
|---|---|---|---|
| 2.浸潤性粘液癌 | 32件 | (71.1%) | |
| 3.大腸癌転移 | 5件 | (11.1%) | |
| 4.乳頭腫 | 0件 | (0.0%) | |
| 5.粘表皮癌 | 3件 | (6.7%) | |
| 投票総数 | 45件 | (100%) |
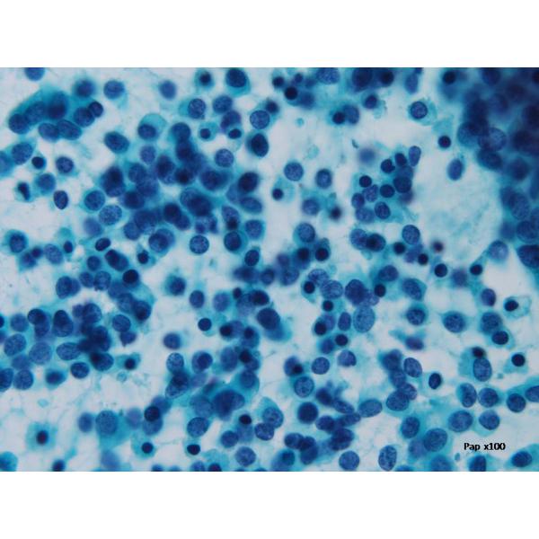
第32回日本臨床細胞学会九州連合会学会病理細胞診断セミナー(スライドカンファレンス)症例 3
種別:消化器・口腔
出題:大分赤十字病院 米増 博俊 先生
| 年齢 | 40歳代 | 性別 | 男性 |
|---|---|---|---|
| 採取部位 | 膵頭部 | 採取方法 | EUS-FNA(22G針) |
| 検体処理法 |
臨床所見
既往歴 特記事項なし
現病歴 近医健診CTにて23mm大の膵頭部腫瘤を指摘され、精査加療目的にて当院紹介受診。
膵頭部腫瘤に対しEUS-FNAが施行された。
| 正解 | 3.Neuroendocrine tumor, G1 or G2 (NET) |
|---|
▼選択肢及び投票結果
| 1.悪性リンパ腫 | 0件 | (0.0%) | |
|---|---|---|---|
| 2.Solid-pseudopapillary neoplasm (SPN) | 7件 | (15.6%) | |
| 3.Neuroendocrine tumor, G1 or G2 (NET) | 29件 | (64.4%) | |
| 4.Neuroendocrine carcinoma (NEC) | 5件 | (11.1%) | |
| 5.腺房細胞癌 | 4件 | (8.9%) | |
| 投票総数 | 45件 | (100%) |
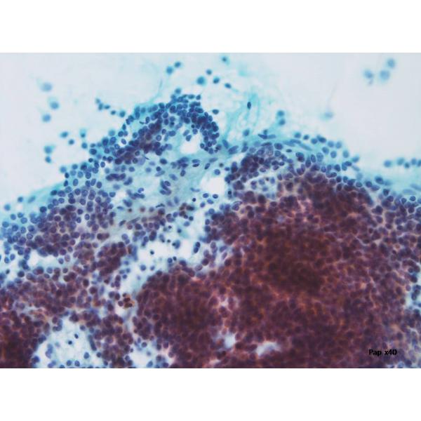
第32回日本臨床細胞学会九州連合会学会病理細胞診断セミナー(スライドカンファレンス)症例 4
種別:甲状腺
出題:独立行政法人国立病院機構長崎医療センター病理診断科 伊東 正博 先生
| 年齢 | 70歳代 | 性別 | 男性 |
|---|---|---|---|
| 採取部位 | 甲状腺 | 採取方法 | 穿刺吸引細胞診 |
| 検体処理法 |
臨床所見
現病歴:右肺下葉に約3㎝径の結節影あり、肺癌が疑われTBLBが施行された。術前検査で甲状腺右葉に約1㎝径の結節と頚部リンパ節に腫大が発見され、FNAが施行された。
右肺下葉と甲状腺右葉の切除術が二期的に施行された。
| 正解 | 3.髄様癌 |
|---|
▼選択肢及び投票結果
| 1.濾胞性腫瘍 | 5件 | (11.1%) | |
|---|---|---|---|
| 2.乳頭癌 | 1件 | (2.2%) | |
| 3.髄様癌 | 33件 | (73.3%) | |
| 4.未分化癌 | 5件 | (11.1%) | |
| 5.悪性リンパ腫 | 1件 | (2.2%) | |
| 投票総数 | 45件 | (100%) |
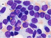
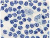
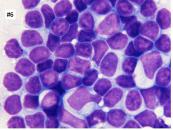
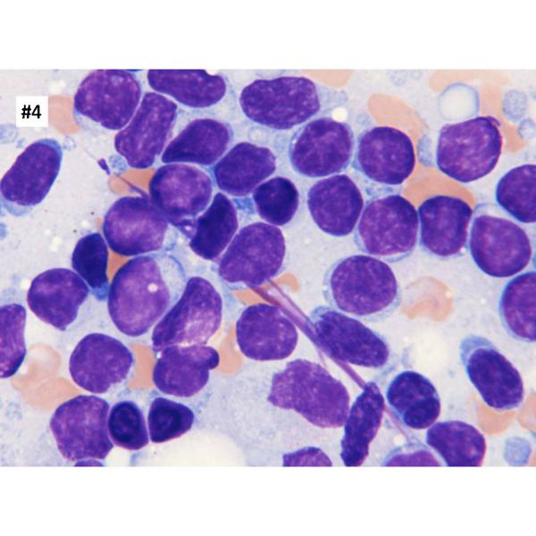
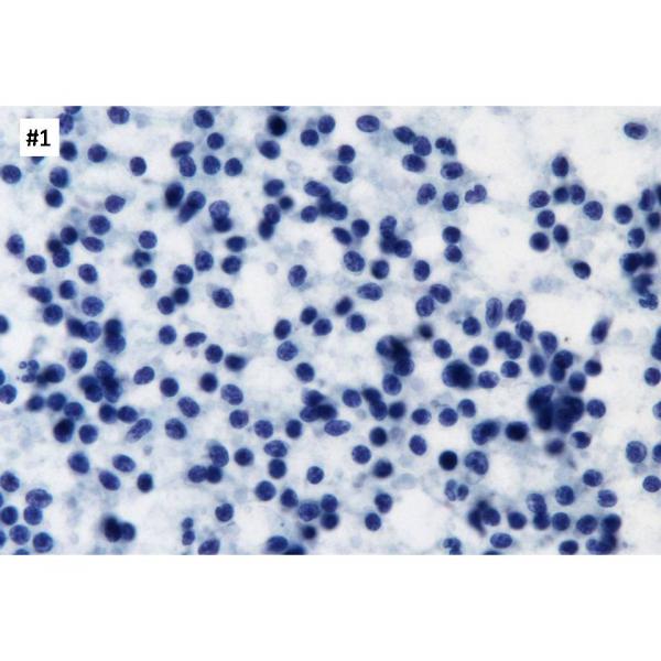
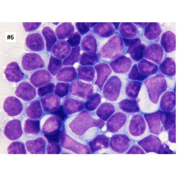
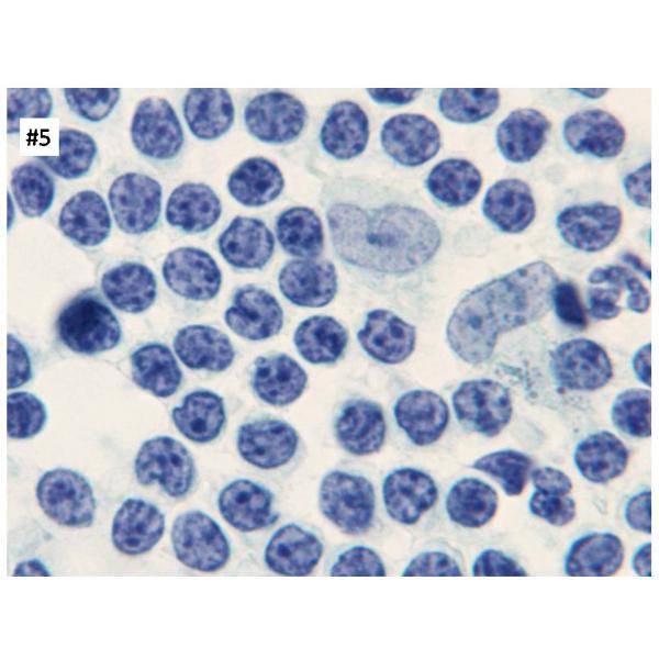
第32回日本臨床細胞学会九州連合会学会病理細胞診断セミナー(スライドカンファレンス)症例 5
種別:その他
出題:福岡大学医学部病理学講座 竹下 盛重 先生
| 年齢 | 50代 | 性別 | 女性 |
|---|---|---|---|
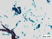
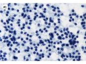
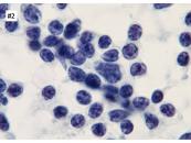
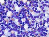
| 採取部位 | 左鼠径リンパ節 | 採取方法 | 穿刺吸引細胞診(#1-4)と捺印細胞診(#5,6) |
| 検体処理法 |
臨床所見
両下肢の有痛性紅斑と微熱、関節痛を主訴に当院皮膚科受診。結節性紅斑と診断され、ステロイド投与を開始。しかしステロイド減量すると症状の再燃を認め、膠原病内科で関節リウマチと診断。MTX使用するも症状の改善はない。画像検査で、左総~内・外腸骨動脈周囲と左鼠径リンパ節の腫脹と同部位にFDG集積を認めた。左鼠径リンパ節の穿刺吸引細胞診を行った。血液検査は、WBC 16600 (Neut 90%, Eosino 0%, Lym 5.0%, Aty-lymp 0%), LDH 187, sIL2-R 1069, HTLV-1は陰性。リンパ節生検がなされた。リンパ節のフローサイトでは、CD3: 29.7%, CD4: 76.0%, CD8: 4.2%, CD10: 1.0%, CD20: 22.4%, κ-鎖: 13.4%, λ-鎖: 11.0%, CD25: 6.6%, CD56: 0.6%であった。
穿刺吸引細胞診(#1-4)と捺印細胞診(#5,6)のpapanicolaou染色、Giemsa染色を示す。
| 正解 | 5.末梢性T細胞リンパ腫 |
|---|
▼選択肢及び投票結果
| 1.慢性ウイルス感染症 | 8件 | (17.8%) | |
|---|---|---|---|
| 2.Hodgkinリンパ腫 | 0件 | (0.0%) | |
| 3.慢性リンパ球性白血病 | 4件 | (8.9%) | |
| 4.濾胞性リンパ腫 | 8件 | (17.8%) | |
| 5.末梢性T細胞リンパ腫 | 25件 | (55.6%) | |
| 投票総数 | 45件 | (100%) |































