第33回日本臨床細胞学会九州連合会学会(沖縄)スライドカンファレンス
投票受付期間:2017/06/07~2017/07/14
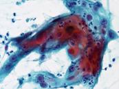
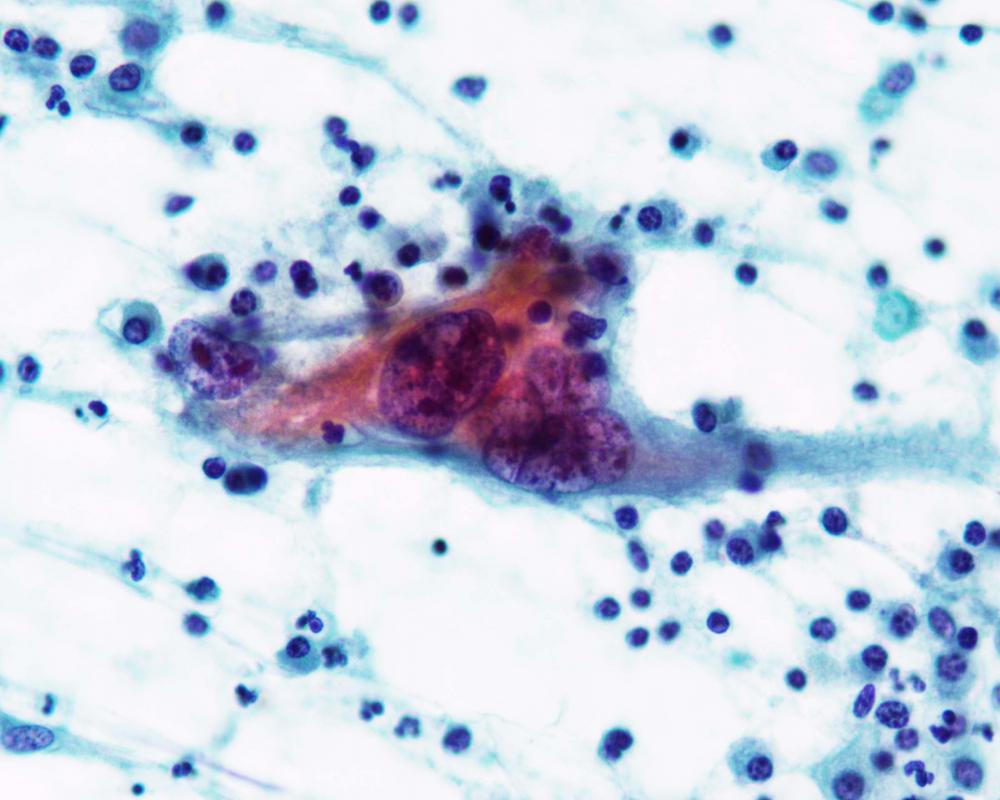
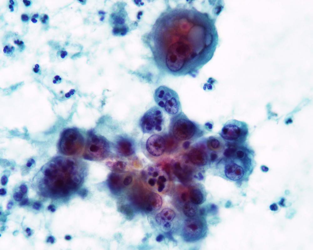
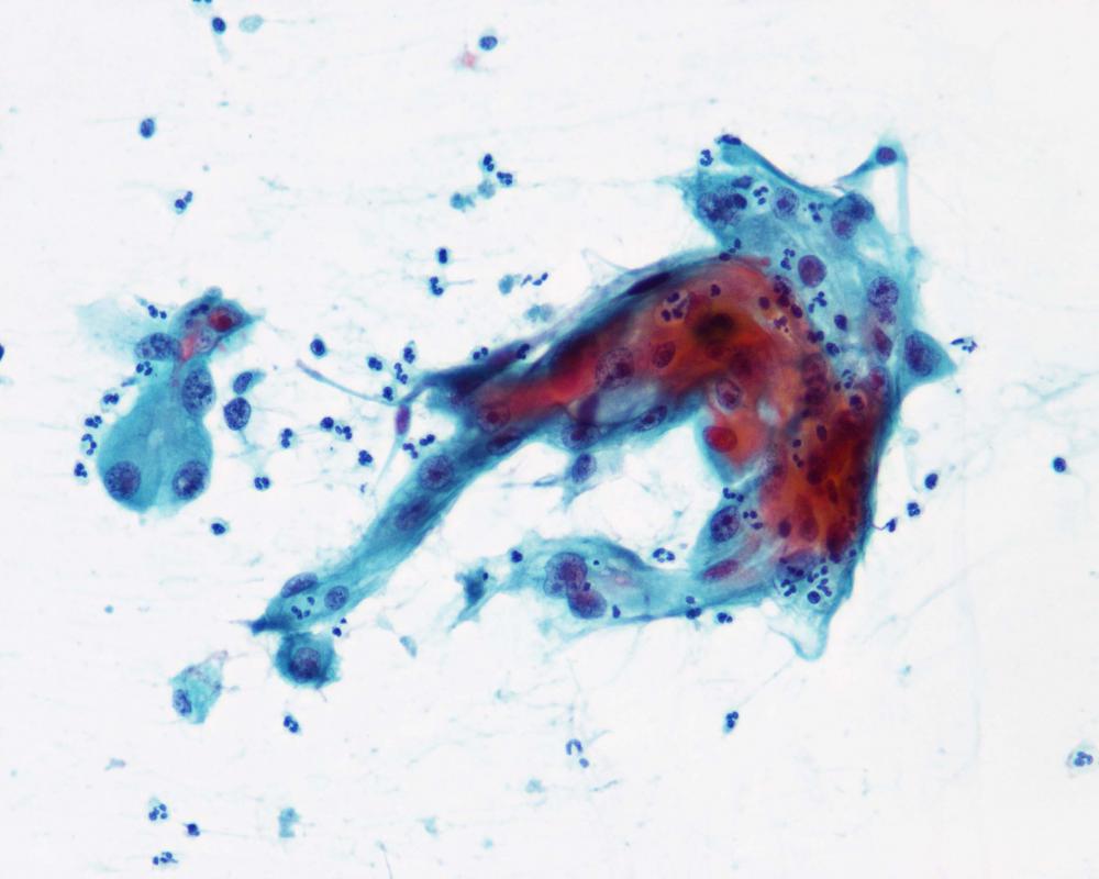
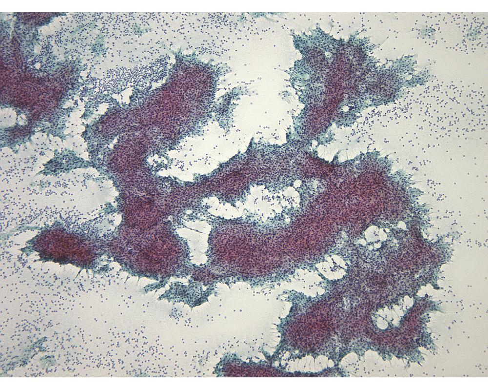
第33回日本臨床細胞学会九州連合会学会(沖縄)スライドカンファレンス症例 1
種別:婦人科
出題:鹿児島大学病院 病理部・病理診断科 平木 翼 先生
| 年齢 | 50歳代 | 性別 | 女性 |
|---|---|---|---|
| 採取部位 | 子宮頸部 | 採取方法 | サーベックスブラシ |
| 検体処理法 |
臨床所見
子宮がん検診時の頸部細胞診にて ASC-US と判定され、前医を受診された。ハイリスク HPV 陽性、コルポ生検にて SCC と診断され、精査加療目的にて当院を紹介受診された。
| 正解 | 2.扁平上皮癌 |
|---|
▼選択肢及び投票結果
| 1.高度異形成 | 19件 | (13.7%) | |
|---|---|---|---|
| 2.扁平上皮癌 | 28件 | (20.1%) | |
| 3.すりガラス細胞癌 | 56件 | (40.3%) | |
| 4.淡明細胞腺癌 | 30件 | (21.6%) | |
| 5.腎細胞癌の転移 | 6件 | (4.3%) | |
| 投票総数 | 139件 | (100%) |
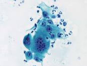
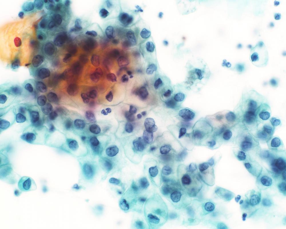
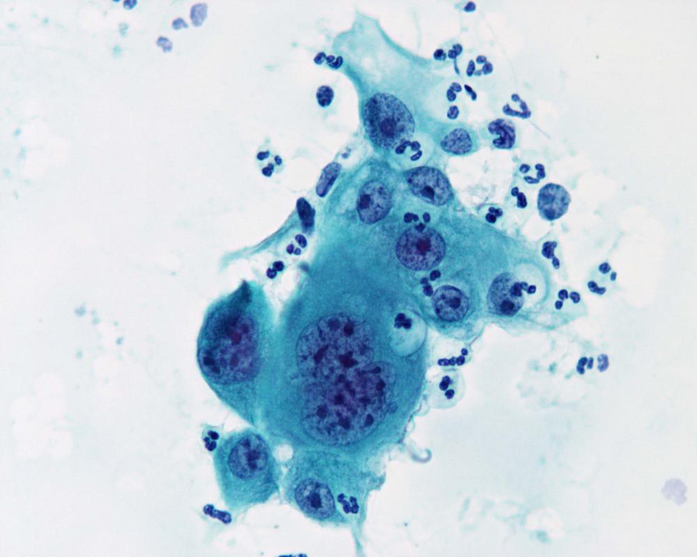
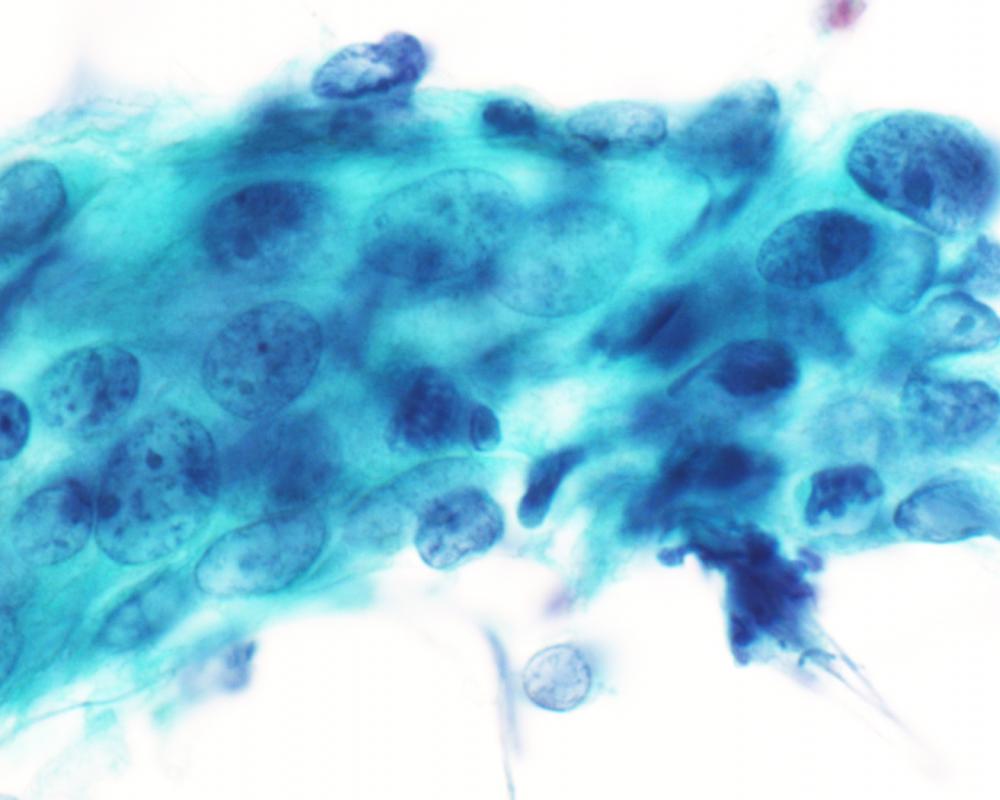
第33回日本臨床細胞学会九州連合会学会(沖縄)スライドカンファレンス症例 2
種別:呼吸器
出題:佐賀医療センター好生館 病理部 坂井 真一 先生/森 大輔 先生
| 年齢 | 30歳代 | 性別 | 男性 |
|---|---|---|---|
| 採取部位 | 肺 | 採取方法 | 肺捺印細胞診 |
| 検体処理法 |
臨床所見
喫煙歴なし。2016年11月他施設より風邪と診断されたが、発熱や食欲不振、体重減、呼吸困難がみられたため、当館受診。レントゲンで右上葉に腫瘤影をみとめ、肺癌が疑われ手術が施行された。
| 正解 | 4.多形癌 |
|---|
▼選択肢及び投票結果
| 1.扁平上皮癌 | 6件 | (4.3%) | |
|---|---|---|---|
| 2.巨細胞癌 | 50件 | (36.0%) | |
| 3.腺癌 | 3件 | (2.2%) | |
| 4.多形癌 | 78件 | (56.1%) | |
| 5.悪性中皮腫 | 2件 | (1.4%) | |
| 投票総数 | 139件 | (100%) |
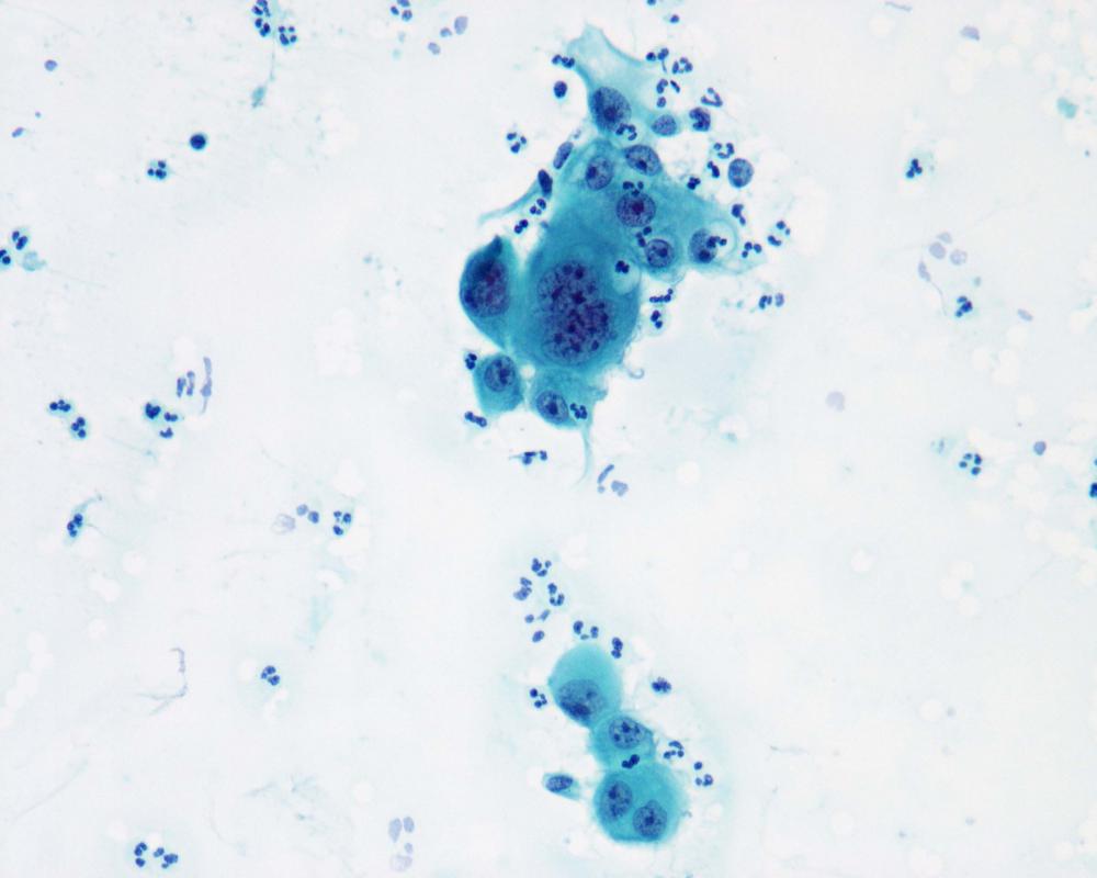
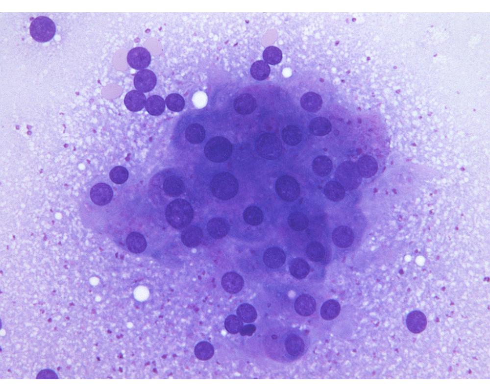
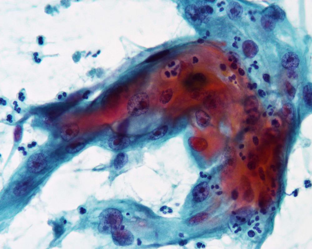
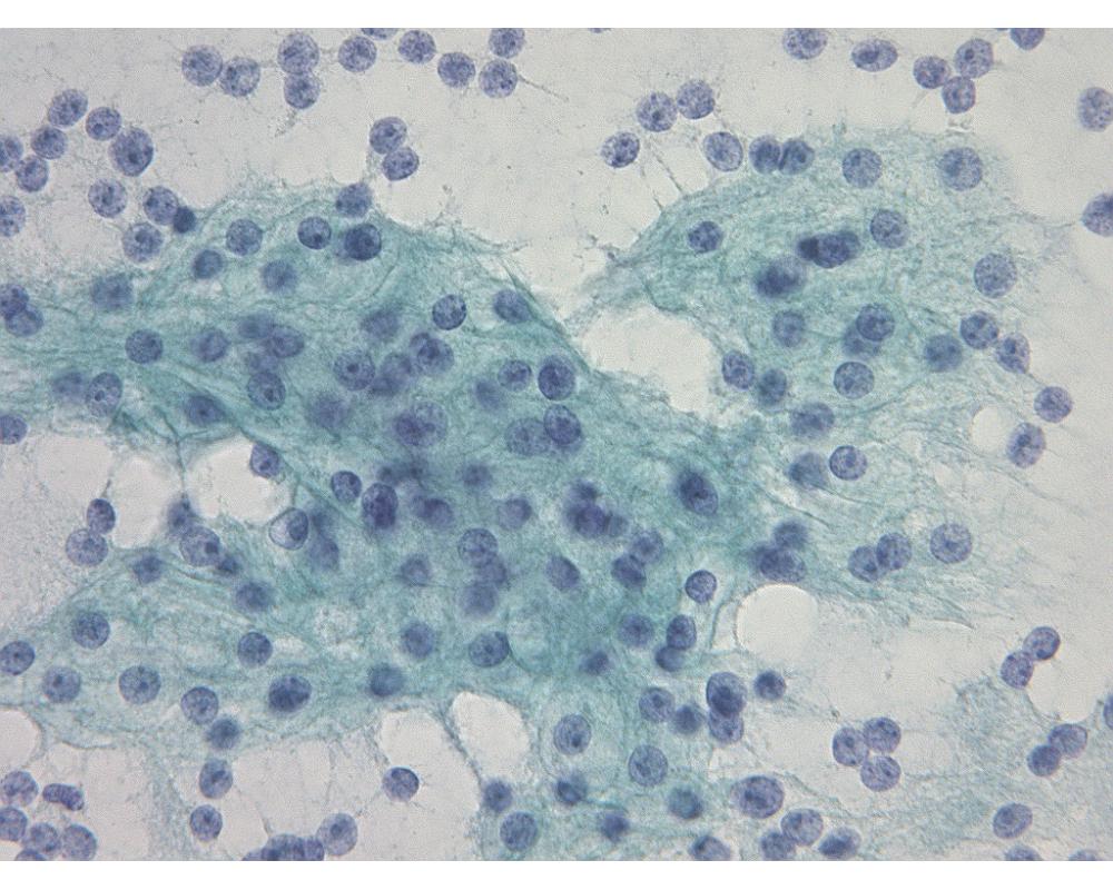
第33回日本臨床細胞学会九州連合会学会(沖縄)スライドカンファレンス症例 3
種別:泌尿器
出題:大分大学医学部 診断病理学講座 西田 陽登 先生
| 年齢 | 60代 | 性別 | 男性 |
|---|---|---|---|
| 採取部位 | 尿 | 採取方法 | 自然尿 |
| 検体処理法 |
臨床所見
既往歴:胆嚢摘出術後
現病歴:前医にて尿潜血と膀胱壁肥厚を指摘され紹介受診となった。膀胱鏡検査にて、左側壁から頂部にかけて広基性腫瘤が認められた。
| 正解 | 2.尿路上皮癌(リンパ腫様型/形質細胞様型) |
|---|
▼選択肢及び投票結果
| 1.尿路上皮癌(high-grade) | 26件 | (18.7%) | |
|---|---|---|---|
| 2.尿路上皮癌(リンパ腫様型/形質細胞様型) | 105件 | (75.5%) | |
| 3.尿膜管癌 | 5件 | (3.6%) | |
| 4.小細胞癌 | 0件 | (0.0%) | |
| 5.悪性リンパ腫 | 3件 | (2.2%) | |
| 投票総数 | 139件 | (100%) |
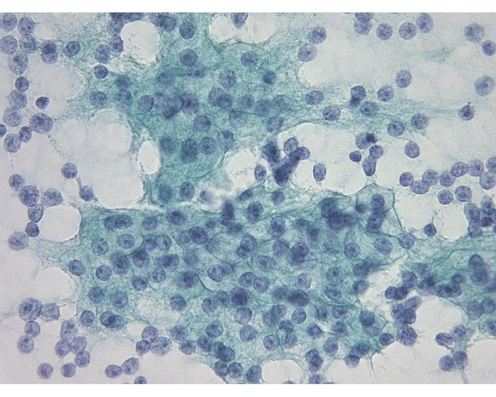
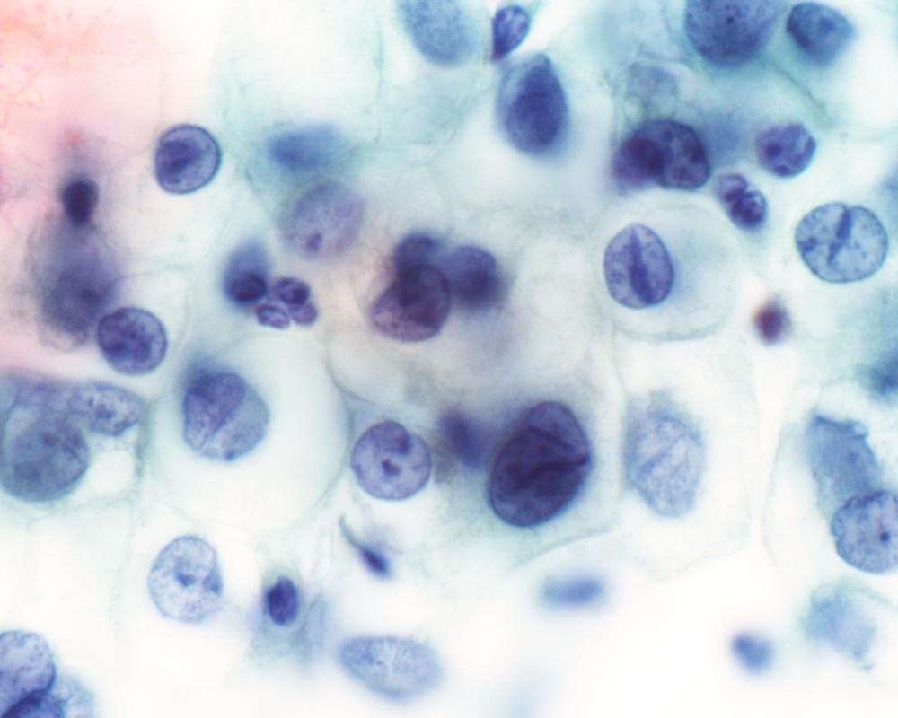
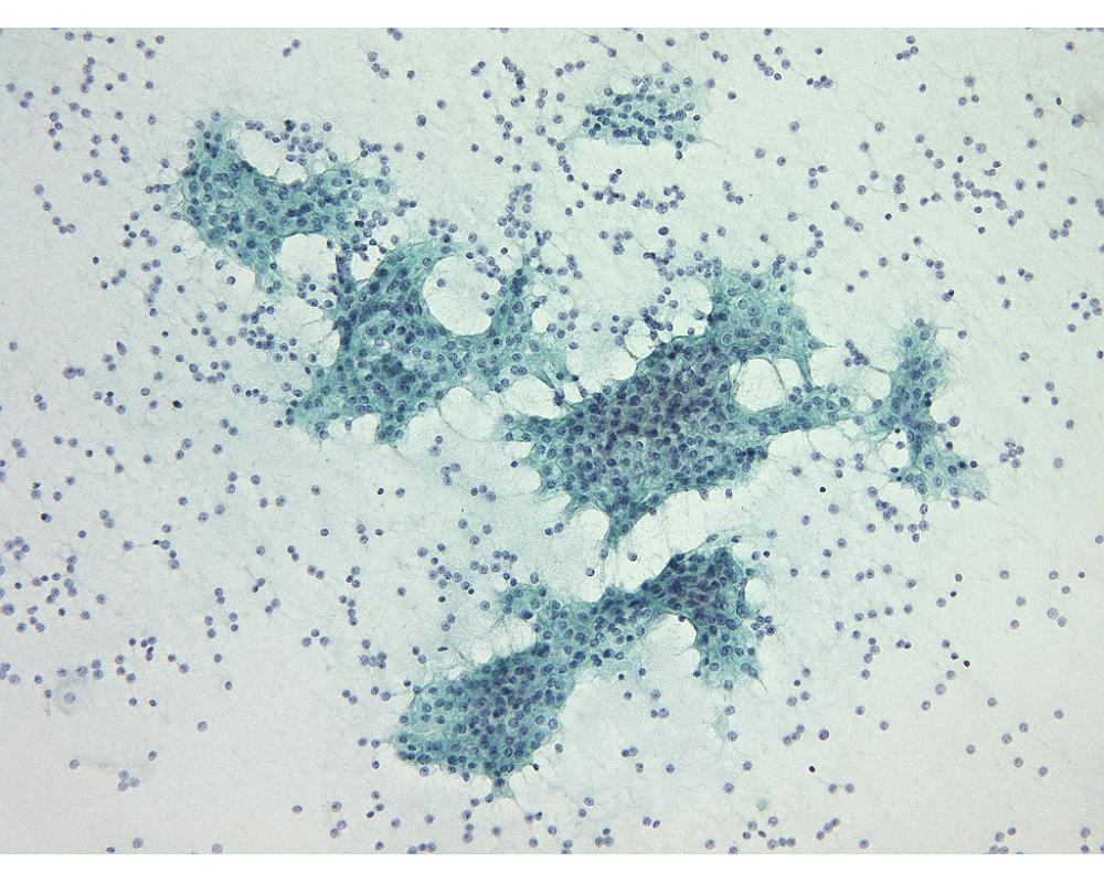
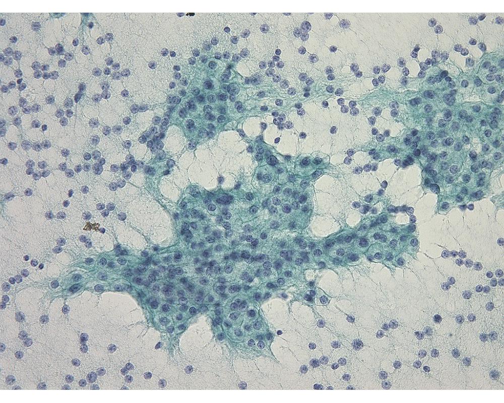
第33回日本臨床細胞学会九州連合会学会(沖縄)スライドカンファレンス症例 4
種別:消化器・口腔
出題:九州大学病理診断科・病理部 山元 英崇 先生
| 年齢 | 58歳 | 性別 | 女性 |
|---|---|---|---|
| 採取部位 | 耳下腺 | 採取方法 | 穿刺吸引細胞診 |
| 検体処理法 |
臨床所見
左耳下部に腫瘤を自覚し、来院。画像検査にて径2cmの充実性腫瘤あり。FNACの後、左耳下腺浅葉切除が施行された。
| 正解 | 2.腺房細胞癌 |
|---|
▼選択肢及び投票結果
| 1.ワルチン腫瘍 | 18件 | (12.9%) | |
|---|---|---|---|
| 2.腺房細胞癌 | 57件 | (41.0%) | |
| 3.分泌癌(乳腺相似分泌癌) | 23件 | (16.5%) | |
| 4.オンコサイトーマ | 37件 | (26.6%) | |
| 5.正常唾液腺組織 | 4件 | (2.9%) | |
| 投票総数 | 139件 | (100%) |
第33回日本臨床細胞学会九州連合会学会(沖縄)スライドカンファレンス症例 5
種別:消化器・口腔
出題:1福岡歯科大学・再生医学研究センター、2総合歯科学、3病態構造学 大野 純先生1、瀬野恵衣先生2、橋本修一先生3
| 年齢 | 60歳代 | 性別 | 男性 |
|---|---|---|---|
| 採取部位 | 右側上顎口蓋歯肉 | 採取方法 | 擦過細胞診 |
| 検体処理法 | LBC法 |
臨床所見
右側上顎臼歯部口蓋粘膜に点状白色病変および一部びらんを認める。自覚症状および接触痛はなく、周囲には硬結も認めない。同部より擦過細胞診を行い、細胞診検査後、生検を施行した。
| 正解 | 3.上皮内癌 (SIN3) |
|---|
▼選択肢及び投票結果
| 1.上皮過形成症(過角化症を伴う) | 8件 | (5.8%) | |
|---|---|---|---|
| 2.中等度上皮異形成症(SIN2) | 16件 | (11.5%) | |
| 3.上皮内癌 (SIN3) | 14件 | (10.1%) | |
| 4.疣贅性癌 | 30件 | (21.6%) | |
| 5.扁平上皮癌 | 71件 | (51.1%) | |
| 投票総数 | 139件 | (100%) |


































