第34回日本臨床細胞学会九州連合会学会(長崎)スライドカンファレンス
投票受付期間:2018/06/26~2018/07/20
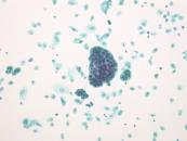
第34回日本臨床細胞学会九州連合会学会(長崎)スライドカンファレンス症例1
種別:婦人科
出題:鹿児島市立病院病理診断科 島尾 義也 先生
| 年齢 | 47歳 | 性別 | 女性 |
|---|---|---|---|
| 採取部位 | 子宮内膜 | 採取方法 | 吸引チューブ |
| 検体処理法 | 従来法 |
臨床所見
既往歴:特記すべきことなし
現病歴:2か月前から持続する性器出血を主訴に近医を受診。画像にて内膜肥厚を指摘され、当院産婦人科受診し内膜細胞診が施行された。
| 正解 | 1.子宮内膜腺間質破綻 |
|---|
▼選択肢及び投票結果
| 1.子宮内膜腺間質破綻 | 43件 | (44.3%) | |
|---|---|---|---|
| 2.子宮内膜異型増殖症 | 26件 | (26.8%) | |
| 3.類内膜癌 | 22件 | (22.7%) | |
| 4.子宮内膜間質肉腫 | 1件 | (1.0%) | |
| 5.漿液性癌 | 5件 | (5.2%) | |
| 投票総数 | 97件 | (100%) |
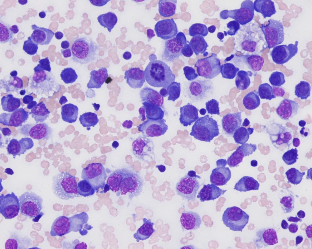
第34回日本臨床細胞学会九州連合会学会(長崎)スライドカンファレンス症例2
種別:呼吸器
出題:熊本大学医学部附属病院病理部 安里 嗣晴 先生
| 年齢 | 83歳 | 性別 | 男性 |
|---|---|---|---|
| 採取部位 | 左肺上葉 | 採取方法 | 経皮的肺穿刺 |
| 検体処理法 | 従来法 |
臨床所見
既往歴: 慢性B細胞性リンパ腫/白血病疑い
現病歴: 上記疾患でフォロー中に左肺上葉の結節性病変を指摘され、経皮的肺穿刺施行された。
| 正解 | 4.悪性黒色腫 |
|---|
▼選択肢及び投票結果
| 1.腺癌 | 5件 | (5.2%) | |
|---|---|---|---|
| 2.扁平上皮癌 | 1件 | (1.0%) | |
| 3.硬化性血管腫 | 6件 | (6.2%) | |
| 4.悪性黒色腫 | 78件 | (80.4%) | |
| 5.転移性肺癌 | 7件 | (7.2%) | |
| 投票総数 | 97件 | (100%) |
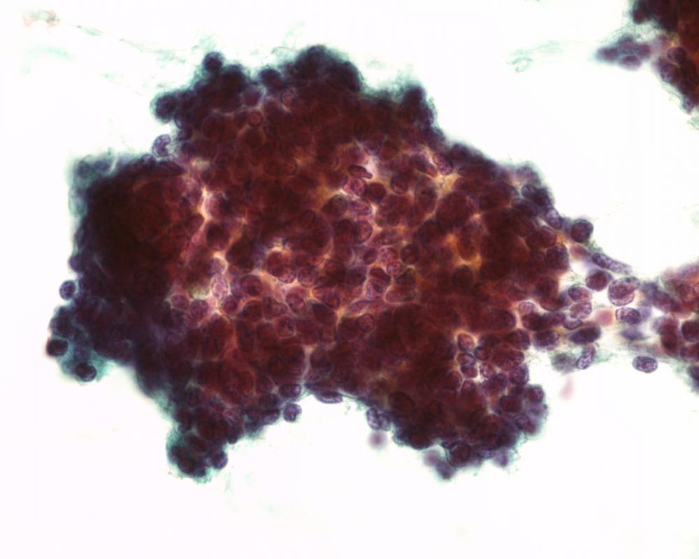
第34回日本臨床細胞学会九州連合会学会(長崎)スライドカンファレンス症例3
種別:泌尿器
出題:社会医療法人白十字会白十字病院 臨床検査科 大谷 博 先生
| 年齢 | 83歳 | 性別 | 男性 |
|---|---|---|---|
| 採取部位 | 左上部尿路 | 採取方法 | 左分腎尿 |
| 検体処理法 | LBC法(サイトリッチレッド, BD) |
臨床所見
既往歴:特記すべきことなし
現病歴:3か月前より肉眼的血尿が出現した。膀胱鏡にて膀胱後壁に径6 mmの単発性乳頭状腫瘍がみられたが,自然尿細胞診は陰性と診断された。CTにて左水腎症があり,下部尿管腫瘍が疑われたため左分腎尿が採取された。
| 正解 | 3.低異型度尿路上皮癌 |
|---|
▼選択肢及び投票結果
| 1.尿路結石症 | 7件 | (7.2%) | |
|---|---|---|---|
| 2.内反性尿路上皮乳頭腫 | 40件 | (41.2%) | |
| 3.低異型度尿路上皮癌 | 39件 | (40.2%) | |
| 4.高異型度尿路上皮癌 | 1件 | (1.0%) | |
| 5.微小乳頭型浸潤性尿路上皮癌 | 10件 | (10.3%) | |
| 投票総数 | 97件 | (100%) |
第34回日本臨床細胞学会九州連合会学会(長崎)スライドカンファレンス症例4
種別:甲状腺
出題:野口病院 丸田 淳子 先生
| 年齢 | 89歳 | 性別 | 女性 |
|---|---|---|---|
| 採取部位 | 甲状腺右葉腫瘤 | 採取方法 | 穿刺吸引 |
| 検体処理法 | 従来法 |
臨床所見
既往歴:甲状腺機能亢進症(46才,放射線療法後)
現病歴:頚部違和感を自覚,症状改善がないため、当院受診
| 正解 | 4.低分化癌 |
|---|
▼選択肢及び投票結果
| 1.乳頭癌 | 11件 | (11.3%) | |
|---|---|---|---|
| 2.濾胞性腫瘍 | 40件 | (41.2%) | |
| 3.髄様癌 | 22件 | (22.7%) | |
| 4.低分化癌 | 21件 | (21.6%) | |
| 5.悪性リンパ腫 | 3件 | (3.1%) | |
| 投票総数 | 97件 | (100%) |
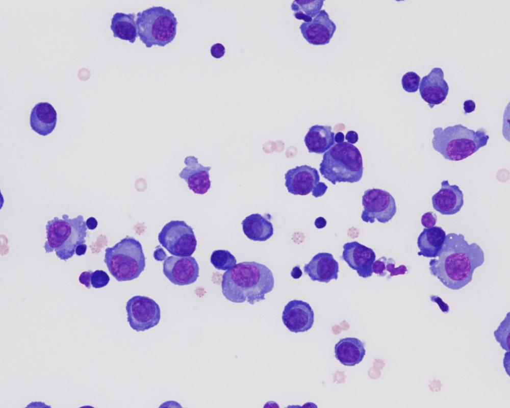
第34回日本臨床細胞学会九州連合会学会(長崎)スライドカンファレンス症例5
種別:体腔液
出題:琉球大学医学部附属病院 松本 裕文 先生
| 年齢 | 77歳 | 性別 | 男性 |
|---|---|---|---|
| 採取部位 | 胸水 | 採取方法 | 穿刺吸引法 |
| 検体処理法 |
臨床所見
既往歴:気管支喘息
現病歴:1カ月持続する咳嗽,息切れを主訴に精査目的で来院.右下肺野の透過性低下,両側胸水貯留,縦隔から鎖骨上窩にかけてリンパ節腫大を認めた。
| 正解 | 3.悪性リンパ腫 |
|---|
▼選択肢及び投票結果
| 1.腺癌 | 35件 | (36.1%) | |
|---|---|---|---|
| 2.悪性中皮腫 | 11件 | (11.3%) | |
| 3.悪性リンパ腫 | 45件 | (46.4%) | |
| 4.反応性中皮細胞 | 6件 | (6.2%) | |
| 5.扁平上皮癌 | 0件 | (0.0%) | |
| 投票総数 | 97件 | (100%) |






























