第35回日本臨床細胞学会九州連合会学会(宮崎)スライドカンファレンス
投票受付期間:2019/05/29~2019/07/19
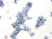
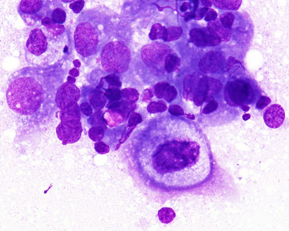
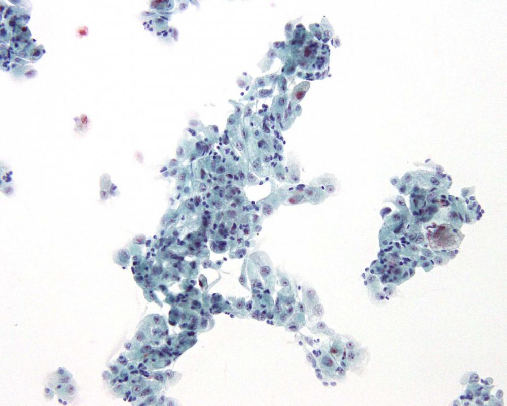
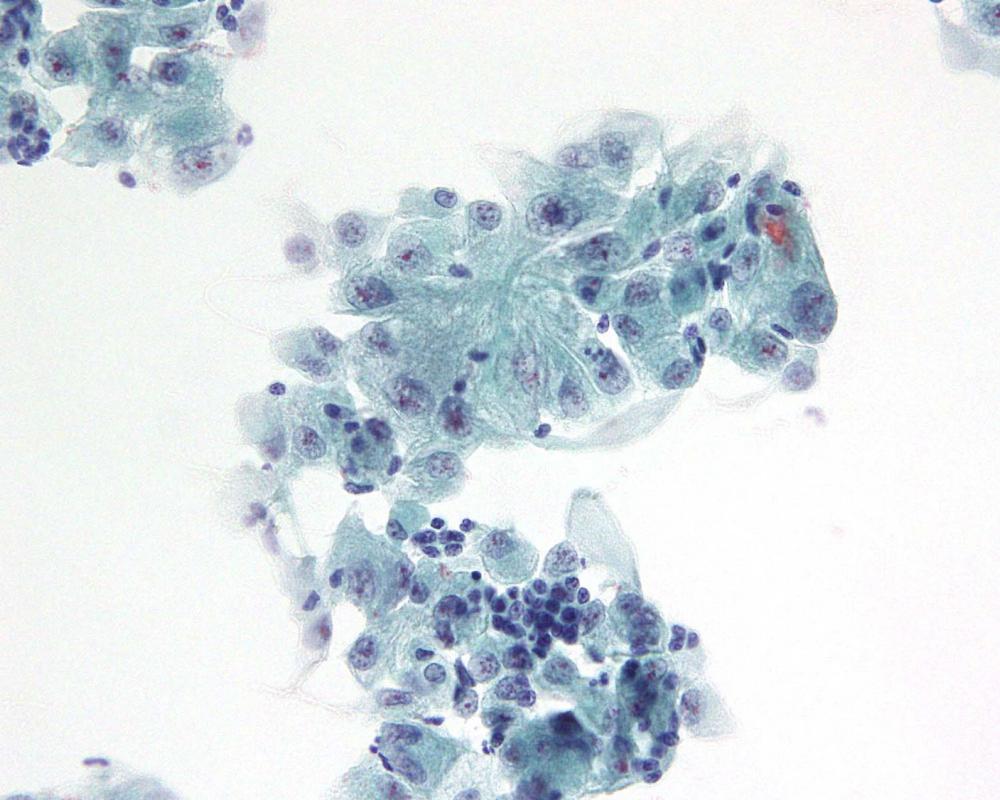
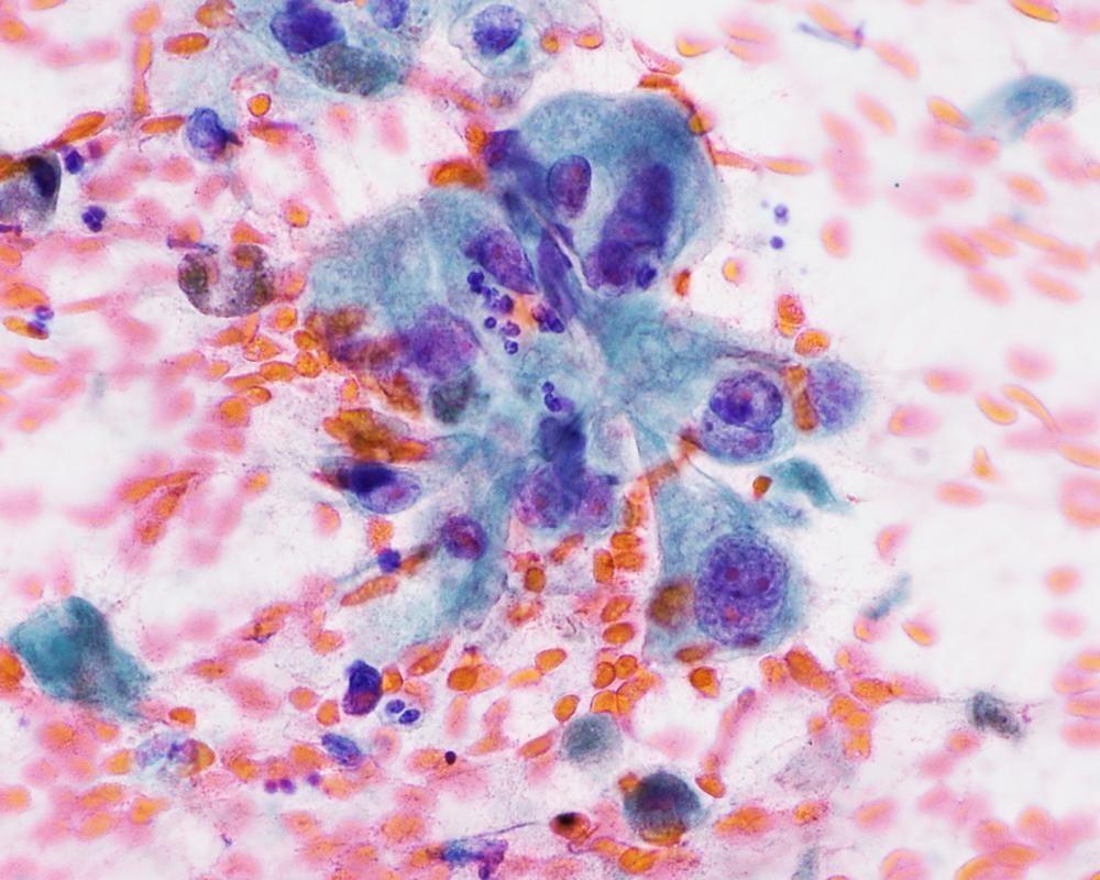
第35回日本臨床細胞学会九州連合会学会(宮崎)スライドカンファレンス症例1
種別:泌尿器
出題:長崎大学大学院医歯薬学総合研究科 病理学 林 洋子 先生
| 年齢 | 60歳代 | 性別 | 男性 |
|---|---|---|---|
| 採取部位 | 尿 | 採取方法 | 自然尿 |
| 検体処理法 | 直接塗抹 |
臨床所見
既 往 歴:高血圧、高尿酸血症、PSA高値(9.17ng/ml)
現 病 歴:夜間頻尿にて受診。MRI検査にて、膀胱内腔へ突出する腫瘍が見られた。前立腺癌の尿道浸潤もしくは膀胱腫瘍が疑われた。
| 正解 | 4.膀胱原発腺癌 |
|---|
▼選択肢及び投票結果
| 1.尿細管上皮 | 10件 | (10.3%) | |
|---|---|---|---|
| 2.低異型度尿路上皮癌 | 4件 | (4.1%) | |
| 3.高異型度尿路上皮癌 | 4件 | (4.1%) | |
| 4.膀胱原発腺癌 | 20件 | (20.6%) | |
| 5.前立腺癌 | 59件 | (60.8%) | |
| 投票総数 | 97件 | (100%) |
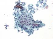
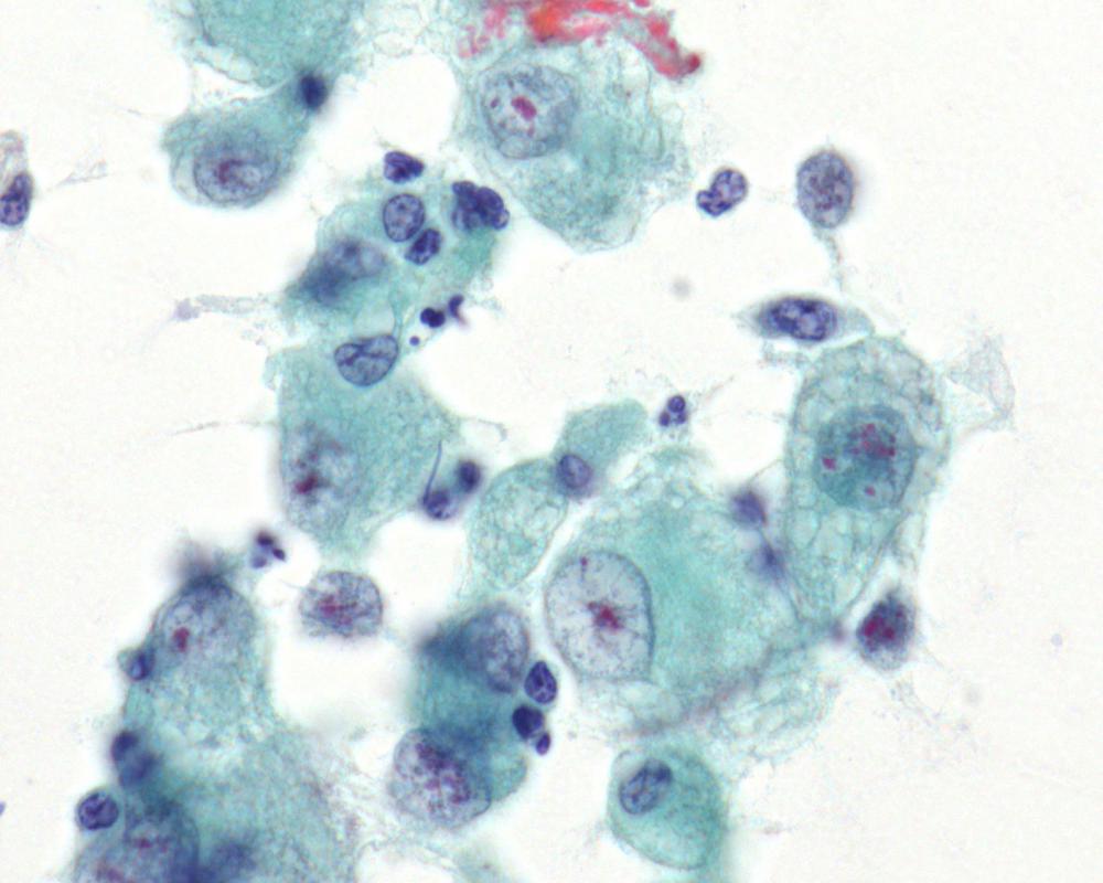
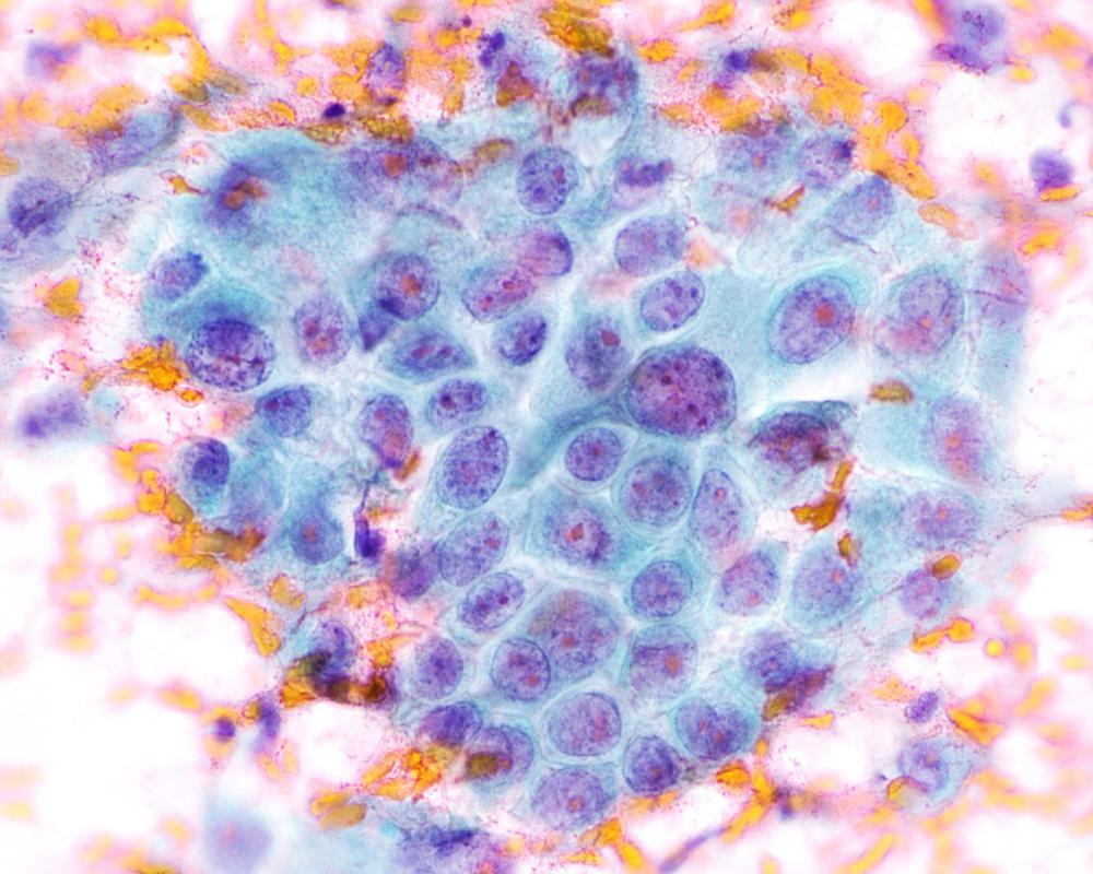
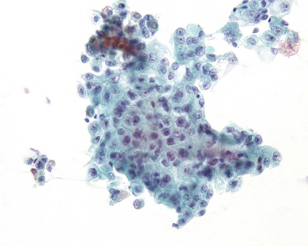
第35回日本臨床細胞学会九州連合会学会(宮崎)スライドカンファレンス症例2
種別:消化器・口腔
出題:佐賀大学医学部 病因病態科学講座 臨床病態病理学分野 力武 美保子 先生
| 年齢 | 60歳代 | 性別 | 女性 |
|---|---|---|---|
| 採取部位 | 肝内胆管(B5) | 採取方法 | ENBDチューブより採取した胆汁 |
| 検体処理法 |
臨床所見
既 往 歴:6年前に進行大腸癌に対し、右半結腸切除術後。
現 病 歴:大腸癌の術後フォロー中に肝内胆管(B5,B4)の拡張を認めた。精査目的にERCPが行われ、B5にENBDチューブが留置された。
| 正解 | 3.腺癌(大腸癌の転移) |
|---|
▼選択肢及び投票結果
| 1.肝内結石症 | 1件 | (1.0%) | |
|---|---|---|---|
| 2.腺癌(胆管細胞癌) | 36件 | (37.1%) | |
| 3.腺癌(大腸癌の転移) | 37件 | (38.1%) | |
| 4.IPNB | 5件 | (5.2%) | |
| 5.腺扁平上皮癌 | 18件 | (18.6%) | |
| 投票総数 | 97件 | (100%) |
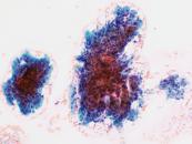
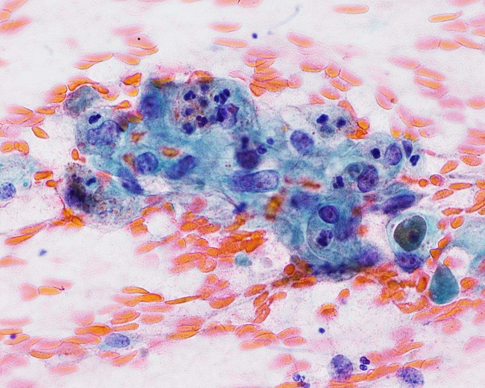
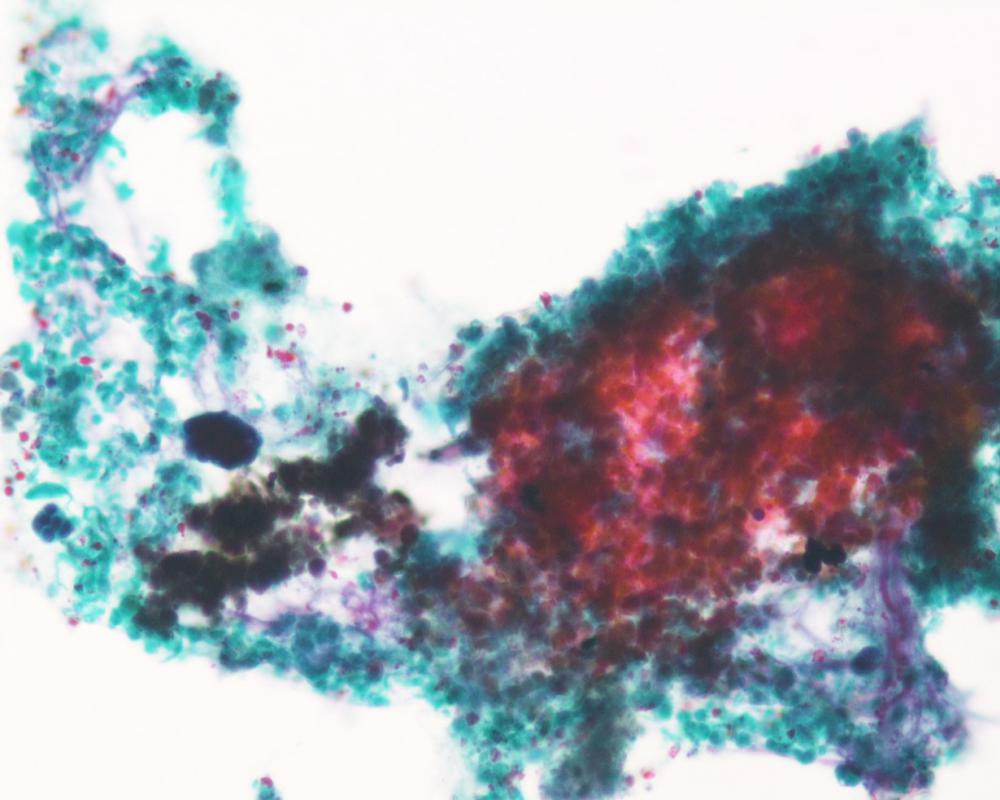
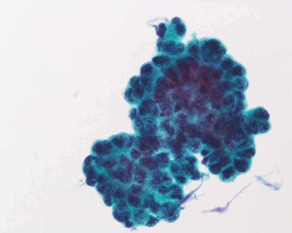
第35回日本臨床細胞学会九州連合会学会(宮崎)スライドカンファレンス症例3
種別:呼吸器
出題:福岡大学病院 病理部・病理診断科 濵﨑 慎 先生
| 年齢 | 80歳代 | 性別 | 男性 |
|---|---|---|---|
| 採取部位 | 左肺下葉 | 採取方法 | 腫瘍捺印細胞診 |
| 検体処理法 |
臨床所見
既 往 歴:労作性狭心症(バイパス術後)、高血圧症、高脂血症
生 活 歴:喫煙40本/日×49年
現 病 歴:労作性狭心症(バイパス術後)のフォロー中に貧血を指摘、精査中に左肺下葉に腫瘤を認め、確定診断目的で切除の方針となった。
| 正解 | 2.腺癌 |
|---|
▼選択肢及び投票結果
| 1.扁平上皮癌 | 8件 | (8.2%) | |
|---|---|---|---|
| 2.腺癌 | 39件 | (40.2%) | |
| 3.大細胞神経内分泌癌 | 27件 | (27.8%) | |
| 4.悪性胸膜中皮腫 | 6件 | (6.2%) | |
| 5.悪性黒色腫 | 17件 | (17.5%) | |
| 投票総数 | 97件 | (100%) |
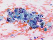
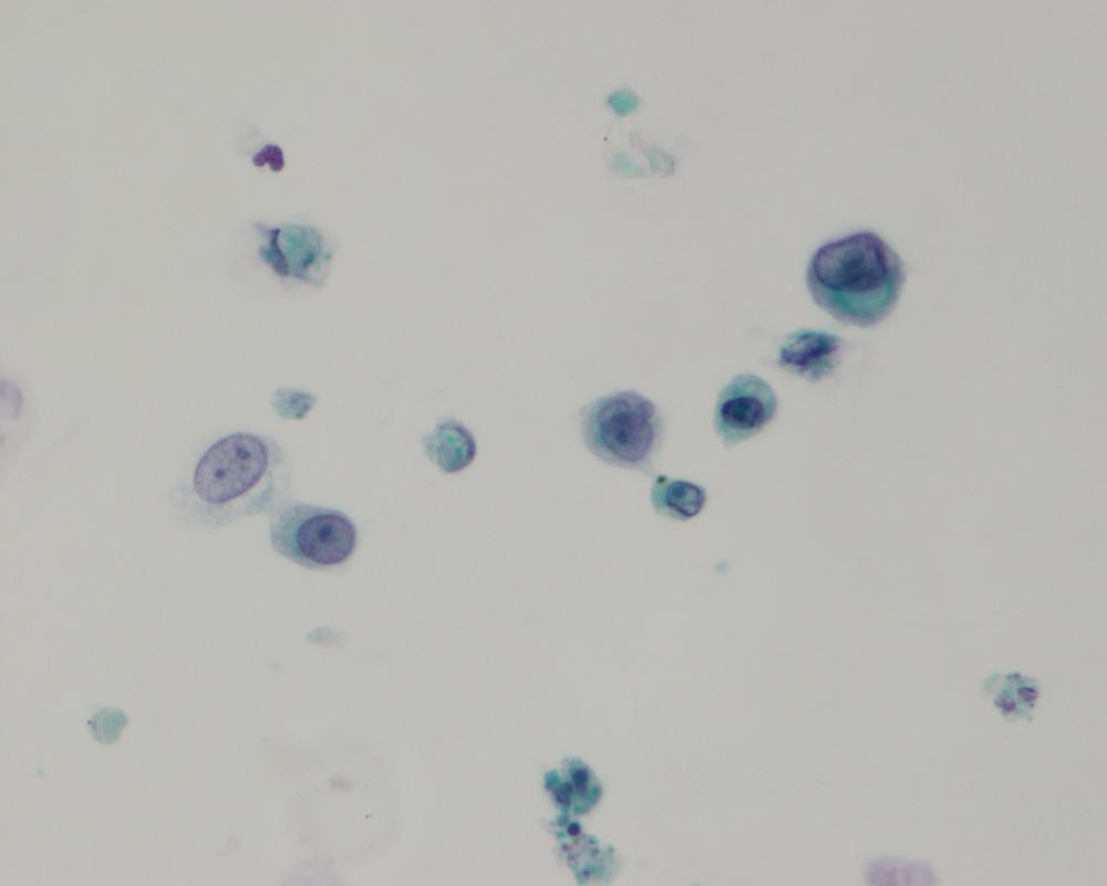
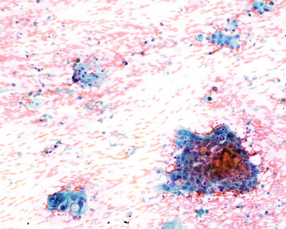
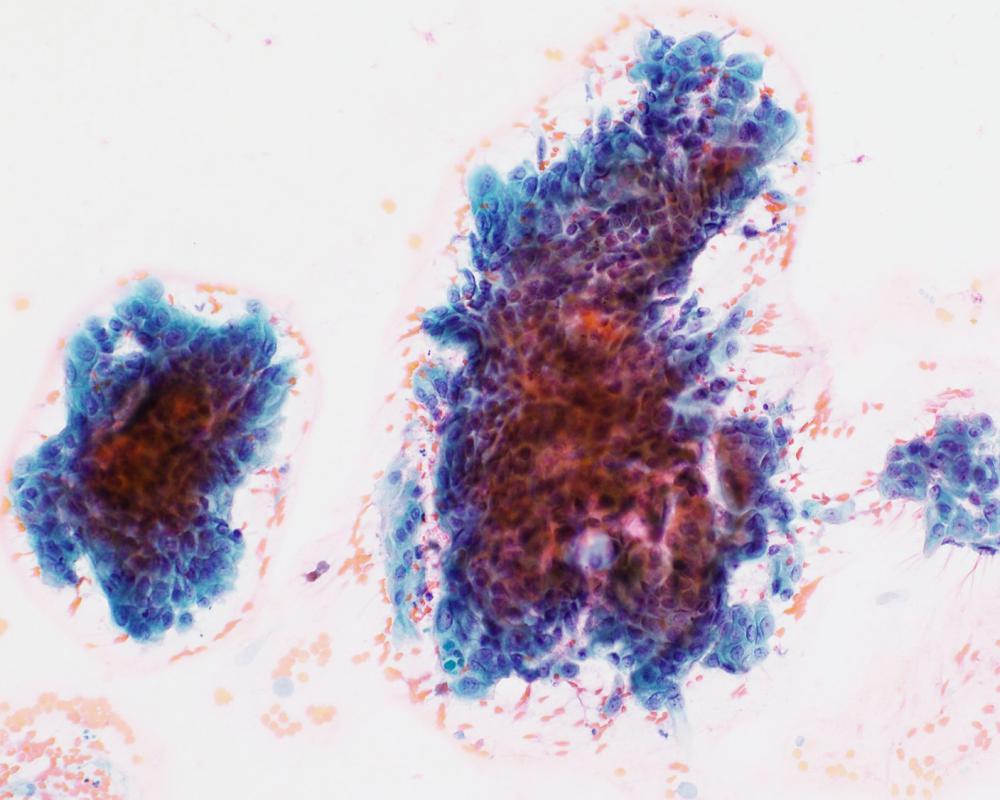
第35回日本臨床細胞学会九州連合会学会(宮崎)スライドカンファレンス症例4
種別:婦人科
出題:熊本大学病院 病理診断科・病理部 佐野直樹 先生
| 年齢 | 60歳代 | 性別 | 女性 |
|---|---|---|---|
| 採取部位 | 子宮頸部 | 採取方法 | 擦過 |
| 検体処理法 | 従来法 |
臨床所見
既 往 歴:糖尿病、脂質異常症
現 病 歴:4年前に帯下の増加を自覚し受診し、子宮頸部細胞診でNILMの判定。今回、下腹部痛を主訴に受診し、腟鏡診では病変は不明瞭だったが、双合診で子宮頸部全体に硬結あり。
| 正解 | 5.胃型粘液性癌 |
|---|
▼選択肢及び投票結果
| 1.化生細胞および修復細胞 | 3件 | (3.1%) | |
|---|---|---|---|
| 2.重層性粘液産生上皮内病変(SMILE) | 38件 | (39.2%) | |
| 3.通常型腺癌 | 10件 | (10.3%) | |
| 4.明細胞癌 | 26件 | (26.8%) | |
| 5.胃型粘液性癌 | 20件 | (20.6%) | |
| 投票総数 | 97件 | (100%) |
第35回日本臨床細胞学会九州連合会学会(宮崎)スライドカンファレンス症例5
種別:乳腺
出題:鹿児島大学医歯学総合研究科 病理学分野 北薗育美 先生
| 年齢 | 40歳代 | 性別 | 女性 |
|---|---|---|---|
| 採取部位 | 乳腺、左、C領域 | 採取方法 | 乳腺穿刺吸引 |
| 検体処理法 |
臨床所見
既 往 歴:2型糖尿病
現 病 歴:約5ケ月前に発熱、左乳房痛があり、乳腺炎と診断された。抗生剤投与で軽快したが、胸背部痛、腰痛、微熱が続いていた。精査のためのCT画像で、左乳腺外側に不整な造影効果が認められ、乳癌が疑われた。エコーでは、左C領域に6×5㎝大の低エコー域を認めた。同部位より、穿刺吸引細胞診および吸引式組織生検(VAB)が行われた。
| 正解 | 5.混合型浸潤性小葉癌 |
|---|
▼選択肢及び投票結果
| 1.管状癌 | 2件 | (2.1%) | |
|---|---|---|---|
| 2.硬化性腺症 | 3件 | (3.1%) | |
| 3.浸潤性小葉癌 | 18件 | (18.6%) | |
| 4.浸潤性乳管癌 | 17件 | (17.5%) | |
| 5.混合型浸潤性小葉癌 | 57件 | (58.8%) | |
| 投票総数 | 97件 | (100%) |


































